Dán sứ veneer đang trở thành xu hướng thẩm mỹ nha khoa được nhiều người lựa chọn nhờ khả năng cải thiện nụ cười nhanh chóng và tự nhiên. Chỉ với một lớp sứ mỏng, phương pháp này giúp che khuyết điểm răng xỉn màu, mẻ hoặc lệch nhẹ mà không cần mài nhiều. Cùng tìm hiểu chi tiết quy trình, ưu điểm và cách chăm sóc sau khi dán sứ Veneer trong bài viết sau nhé.
Tổng Quan Về Dán Răng Sứ Veneer
| Yếu tố | Chi tiết |
| Định nghĩa | Mặt dán sứ Veneer là một lớp sứ siêu mỏng (0.2-0.6mm) được chế tác riêng để dán cố định vào mặt ngoài của răng nhằm cải thiện thẩm mỹ. |
| Mục đích chính | Thay đổi màu sắc, hình dáng, kích thước và che đi các khuyết điểm nhỏ trên bề mặt răng. |
| Mức độ mài răng | Tối thiểu hoặc không mài, là phương pháp bảo tồn mô răng thật tối đa. |
| Thời gian thực hiện | Nhanh chóng, trung bình từ 2-3 buổi hẹn. |
| Độ bền | 10-15 năm hoặc lâu hơn nếu được chăm sóc đúng cách. (Nguồn: Cleveland Clinic) |
| Vật liệu phổ biến | Sứ thủy tinh (Emax, Lisi), Zirconia. |
Dán răng sứ veneer là gì?

Dán sứ Veneer là lớp sứ mỏng nhằm che đi khuyết điểm răng
Dán sứ Veneer là một lớp sứ rất mỏng, thường dày từ 0.2 đến 0.6 mm, được chế tác theo hình dáng và màu sắc mong muốn. Lớp sứ này được dán cố định lên bề mặt ngoài của răng nhằm che đi các khuyết điểm như răng ố vàng, sứt mẻ nhẹ, hoặc khe thưa nhỏ, mang lại một nụ cười trắng sáng và đều đẹp.
Hãy tưởng tượng mặt dán sứ Veneer như một chiếc “mặt nạ” siêu mỏng, hoàn hảo được thiết kế riêng cho từng chiếc răng của bạn.
Theo định nghĩa từ Cleveland Clinic, đây là một kỹ thuật nha khoa thẩm mỹ bảo tồn, giúp cải thiện đáng kể diện mạo nụ cười mà ít xâm lấn đến cấu trúc răng thật nhất. Thay vì phải mài nhỏ toàn bộ răng như khi bọc sứ, phương pháp dán răng sứ này chỉ cần sửa soạn một lớp rất mỏng ở bề mặt ngoài của men răng.
Ưu và nhược điểm của dán sứ

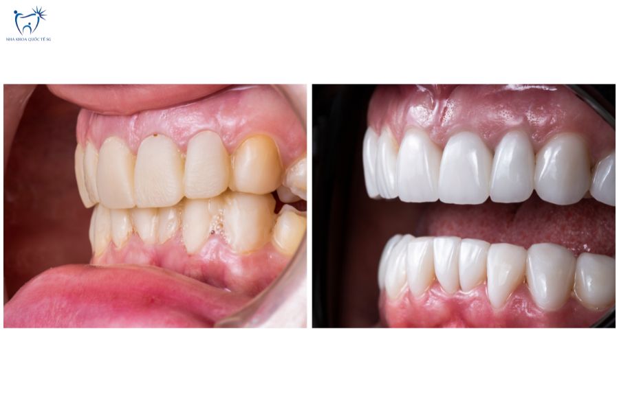
Kết quả trước và sau khi dán sứ Veneer
Mọi phương pháp nha khoa đều có hai mặt. Hiểu rõ ưu và nhược điểm sẽ giúp bạn có một kỳ vọng thực tế hơn.
Ưu điểm
- Thẩm mỹ vượt trội: Veneer có độ trong, màu sắc và khả năng phản quang tự nhiên như men răng thật, mang lại vẻ đẹp tinh tế mà khó có phương pháp nào sánh bằng.
- Bảo tồn tối đa mô răng thật: Đây là ưu điểm lớn nhất. Với độ dày siêu mỏng, lượng men răng cần mài đi là không đáng kể, giúp bảo vệ sức khỏe của răng gốc.
- Tương thích sinh học cao: Vật liệu toàn sứ hoàn toàn lành tính với các mô mềm trong miệng, không gây kích ứng hay đen viền nướu theo thời gian. (Nguồn: American Academy of Periodontology – Perio.org).
- Bền màu với thời gian: Bề mặt của sứ cao cấp có khả năng chống bám màu rất tốt, giúp bạn duy trì nụ cười trắng sáng dài lâu mà không lo bị ố vàng do thực phẩm.
- Thời gian thực hiện nhanh chóng: Chỉ sau khoảng 2-3 buổi hẹn, bạn đã có thể sở hữu một nụ cười hoàn toàn mới.
Nhược điểm
- Chi phí cao: So với trám răng thẩm mỹ, dán sứ mặt răng có chi phí đầu tư ban đầu cao hơn đáng kể.
- Có thể bị sứt mẻ hoặc bong vỡ: Veneer mỏng hơn mão sứ nên độ chịu lực sẽ kém hơn. Các thói quen xấu như cắn vật cứng, nghiến răng có thể làm hỏng Veneer.
- Không thay đổi được màu sau khi gắn: Màu sắc của Veneer được quyết định cuối cùng trước khi gắn cố định và không thể tẩy trắng hay làm sáng hơn được nữa.
So sánh dán Veneer và bọc răng sứ
Đây là hai phương pháp phục hình thẩm mỹ phổ biến nhất và cũng dễ gây nhầm lẫn nhất.
| Tiêu chí | Dán sứ Veneer | Bọc răng sứ |
| Mức độ mài răng | Rất ít (0.2 – 0.6 mm) ở mặt ngoài. | Mài nhiều (1.5 – 2.0 mm) ở tất cả các mặt. |
| Mục đích chính | Cải thiện thẩm mỹ (màu sắc, hình dáng). | Phục hình chức năng và thẩm mỹ. |
| Chỉ định | Răng tương đối khỏe mạnh, chỉ có khuyết điểm bề mặt. | Răng bị tổn thương nặng, sâu lớn, đã chữa tủy. |
| Độ bền chịu lực | Cao. | Rất cao. |
| Bảo tồn mô răng | Tối đa. | Ít hơn. |
| Tuổi thọ | 10-15 năm. | 15-20 năm hoặc hơn. |
Ai là ứng viên lý tưởng để dán sứ Veneer?

Nụ cười sau khi dán răng sứ Veneer
Không phải ai cũng phù hợp với phương pháp dán răng sứ này. Việc thăm khám và tư vấn với bác sĩ chuyên môn là cực kỳ quan trọng.
Các trường hợp nên dán sứ Veneer
- Răng bị ố vàng, nhiễm màu: Do kháng sinh, thực phẩm mà phương pháp tẩy trắng không hiệu quả.
- Răng bị sứt, mẻ ở mức độ nhẹ: Phục hồi lại hình dáng ban đầu.
- Khe thưa nhỏ giữa các răng: Đóng các khe thưa nhỏ dưới 2mm.
- Hình dáng răng không đều: Răng quá nhỏ, hình nón, hoặc men răng bị mòn nhẹ.
- Răng lệch lạc ở mức độ rất nhẹ.
Các trường hợp không nên dán sứ Veneer
- Răng lệch lạc, chen chúc nặng, sai khớp cắn nghiêm trọng: Cần phải niềng răng để điều chỉnh.
- Mắc tật nghiến răng nặng: Cần điều trị tật nghiến răng trước khi thực hiện.
- Bệnh nha chu tiến triển: Viêm nướu nặng, tụt nướu cần được điều trị ổn định.
- Răng bị sâu hoặc vỡ lớn: Không còn đủ cấu trúc men răng khỏe mạnh để dán Veneer, cần phải bọc răng sứ.
- Vệ sinh răng miệng kém: Nguy cơ sâu răng và viêm nướu cao.
Quy trình dán sứ Veneer chuẩn y khoa

Quy trình dán sứ chuẩn quốc tế
Một quy trình dán sứ răng tại Nha Khoa Quốc Tế SG chỉ tốn 24 giờ:
- Buổi 1: Thăm khám, tư vấn và thiết kế nụ cười: Bác sĩ sẽ khám tổng quát, chụp phim X-quang, tư vấn về hình dáng, màu sắc. Công nghệ Digital Smile Design có thể được sử dụng để bạn xem trước kết quả.
- Buổi 2: Sửa soạn răng và lấy dấu: Bác sĩ sẽ gây tê và mài một lớp rất mỏng trên bề mặt răng. Sau đó, dấu răng được lấy bằng máy quét kỹ thuật số 3D và bạn sẽ được gắn răng tạm.
- Buổi 3: Gắn Veneer cố định: Bác sĩ tháo răng tạm, thử miếng dán răng sứ Veneer thật lên răng, kiểm tra độ khít sát, khớp cắn và màu sắc. Nếu mọi thứ hoàn hảo, Veneer sẽ được gắn cố định bằng vật liệu dán dính nha khoa chuyên dụng và chiếu đèn quang trùng hợp.
Bảng giá dán răng sứ Veneer mới nhất
Sau đây là bảng giá mặt dán sứ Veneer tại Nha khoa Quốc Tế SG mới nhất 2025 mà bạn có thể tham khảo:
| Dòng Sứ | Giá Tham Khảo (VNĐ/răng) | Giá Combo 16 răng (VNĐ) |
| Veneer Emax | 4.500.000 | 67.500.000 |
| Veneer Emax Press | 5.500.000 | 82.500.000 |
| Veneer Lisi Press | 6.500.000 | 97.500.000 |
| Veneer Lisi Ultra thin | 7.500.000 | 112.500.000 |
Chăm sóc răng sứ Veneer đúng cách

Chăm sóc răng sau khi dán sứ là bước quan trọng để bảo vệ răng
Để răng dán sứ bền đẹp, bạn cần chăm sóc như răng thật. Theo khuyến nghị từ Hiệp hội Nha khoa Hoa Kỳ (ADA – MouthHealthy.org):
- Chải răng 2 lần/ngày bằng bàn chải lông mềm.
- Sử dụng chỉ nha khoa hoặc máy tăm nước ít nhất 1 lần/ngày.
- Tránh dùng răng cửa cắn, xé đồ ăn cứng hoặc các vật cứng.
- Hạn chế thực phẩm và đồ uống có màu sẫm nếu muốn duy trì màu sắc lâu dài.
- Thăm khám nha sĩ định kỳ 6 tháng/lần để kiểm tra và làm sạch chuyên nghiệp.
Câu hỏi thường gặp
Veneer có cần mài răng không?
Trong nhiều trường hợp, dán sứ veneer yêu cầu mài một lớp mỏng trên bề mặt răng (khoảng 0.3-0.5mm) để tạo độ bám cho veneer. Tuy nhiên, có một số trường hợp có thể dán veneer mà không cần mài răng.
Veneer có bền không?
Veneer có độ bền khá cao, có thể kéo dài từ 10 đến 15 năm hoặc hơn nếu được chăm sóc đúng cách.
Veneer có bong, vỡ không?
Mặc dù có độ bền cao, veneer vẫn có thể bị bong hoặc vỡ nếu chịu lực tác động mạnh.
Veneer có gây hôi miệng hay không?
Nếu được thực hiện đúng kỹ thuật và chăm sóc răng miệng tốt, veneer sẽ không gây hôi miệng.
Làm veneer có đau không?
Quá trình dán veneer thường không gây đau đớn nhiều. Bác sĩ có thể sử dụng thuốc tê để giảm cảm giác khó chịu.
Có thể thay veneer khi đã làm rồi không?
Có, có thể thay veneer khi đã làm rồi. Tuy nhiên, cần có sự tư vấn của bác sĩ để đảm bảo an toàn và hiệu quả.
Khi Veneer hỏng thì phải làm gì?
Khi veneer hỏng, bạn cần đến gặp bác sĩ để được kiểm tra và có phương án xử lý phù hợp.
Dán sứ Veneer có tẩy trắng được không?
Không, các phương pháp tẩy trắng răng chỉ có tác dụng trên men răng thật, không có tác dụng trên vật liệu sứ. Màu sắc của Veneer là vĩnh viễn sau khi được gắn
