Dán răng sứ Veneer không chỉ giúp cải thiện thẩm mỹ nụ cười mà còn là giải pháp phục hình bền vững nếu được thực hiện đúng kỹ thuật. Trung bình, một bộ veneer có thể duy trì từ 10–15 năm, thậm chí 20 năm với vật liệu cao cấp và chăm sóc tốt. Tuy nhiên, tuổi thọ thực tế phụ thuộc nhiều vào tay nghề bác sĩ, chế độ vệ sinh răng miệng và thói quen ăn nhai. Bài viết dưới đây sẽ giúp bạn hiểu rõ dán răng sứ được bao lâu, những yếu tố ảnh hưởng đến độ bền, cùng cách nhận biết khi veneer đã đến lúc cần thay mới để luôn giữ nụ cười tự tin và khỏe mạnh.
Bảng Thông Tin Nhanh: Tuổi Thọ Veneer Sứ
| Yếu Tố | Chi Tiết | Nguồn tham khảo |
| Tuổi thọ trung bình | 10 – 15 năm, có thể lên tới 20 năm | American Academy of Cosmetic Dentistry |
| Vật liệu tốt nhất | Sứ Lithium Disilicate (Emax), Feldspathic | Journal of Esthetic and Restorative Dentistry |
| Tỷ lệ thành công | >95% sau 10 năm | International Journal of Prosthodontics |
| Yếu tố ảnh hưởng chính | Vật liệu, tay nghề bác sĩ, chăm sóc tại nhà | Cleveland Clinic |
| Dấu hiệu cần thay | Nứt, mẻ, hở viền nướu, đổi màu, viêm nướu | American Dental Association (ADA) |
Dán Răng Sứ Được Bao Lâu?

Mô hình dán sứ Veneer thực tế
Trung bình, mặt dán sứ veneer có thể bền từ 10 đến 15 năm. Với công nghệ bọc răng sứ và chế độ chăm sóc răng miệng tốt, nhiều trường hợp có thể duy trì veneer khỏe đẹp lên đến 20 năm hoặc hơn.
Nhiều nghiên cứu lâm sàng quy mô lớn trên thế giới đã chứng minh tỷ lệ thành công (tỷ lệ tồn tại) của Veneer sứ vượt trên 95% sau 10 năm sử dụng, khẳng định đây là một trong những giải pháp phục hình thẩm mỹ bền vững và đáng tin cậy nhất hiện nay.
Tuy nhiên, tuổi thọ khi bọc răng sứ không mài không phải là một con số cố định. Nó là kết quả của sự cộng hưởng từ 4 yếu tố then chốt:
- Loại vật liệu veneer: Các loại sứ khác nhau có độ bền và tuổi thọ khác nhau.
- Tay nghề của bác sĩ và công nghệ nha khoa: Đây được xem là yếu tố quyết định đến sự khít sát, thẩm mỹ và độ bền vững của phục hình.
- Tình trạng răng gốc ban đầu: Một nền tảng răng miệng khỏe mạnh là điều kiện tiên quyết cho sự thành công lâu dài.
- Chế độ chăm sóc và thói quen của chính bạn: Yếu tố này có thể quyết định veneer của bạn thuộc nhóm bền 10 năm hay bền vững trọn đời.
Tuổi Thọ Cụ Thể Của Các Loại Veneer Hiện Nay
Không phải tất cả các loại veneer đều được tạo ra như nhau. Vật liệu sứ là yếu tố quyết định hàng đầu đến độ bền, khả năng chống nhiễm màu và tính thẩm mỹ. Dưới đây là bảng so sánh tuổi thọ dự kiến của các dòng Veneer phổ biến năm 2026.
| zLoại Veneer | Vật liệu chính | Tuổi thọ trung bình | Ưu điểm |
| Emax Press/CAD | Lithium Disilicate | 15 – 20 năm | Độ bền cực cao, thẩm mỹ tự nhiên, chống nứt gãy tốt. |
| Lisi Press | Lithium Disilicate | 15 – 20 năm | Tương tự Emax, độ trong và hiệu ứng quang học đẹp. |
| Feldspathic | Sứ Feldspar | 10 – 15 năm | Thẩm mỹ đỉnh cao, cần mài răng rất ít hoặc không mài. |
| Zirconia | Zirconium Dioxide | 15+ năm | Siêu cứng, siêu bền, thường dùng cho răng hàm hoặc người có khớp cắn mạnh. |
| Composite Veneer | Nhựa Composite | 5 – 7 năm | Chi phí thấp hơn, dễ sửa chữa nhưng dễ nhiễm màu và tuổi thọ ngắn hơn. |
Kéo Dài Độ Bền Dán Sứ Veneer Được Không?

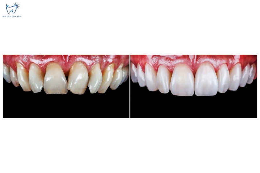
Tình trạng răng trước và sau khi dán sứ Veneer
Hoàn toàn có thể! Để kéo dài độ bền veneer, bạn cần vệ sinh răng miệng đúng cách với bàn chải lông mềm, dùng chỉ nha khoa hàng ngày, tránh cắn đồ cứng, đeo máng bảo vệ nếu nghiến răng và thăm khám nha khoa định kỳ 6 tháng/lần để kiểm tra và làm sạch chuyên nghiệp.
Độ bền của veneer không chỉ nằm ở chất liệu mà còn phụ thuộc 70% vào cách bạn chăm sóc tại nhà. Hãy xem veneer như răng thật của mình và bảo vệ chúng theo các cách sau:
- Vệ sinh răng miệng đúng cách: Sử dụng bàn chải lông mềm và kem đánh răng không chứa chất mài mòn mạnh để tránh làm xước bề mặt sứ. Hiệp hội Nha khoa Hoa Kỳ (ADA) khuyến cáo chải răng 2 lần/ngày.
- Làm sạch kẽ răng: Vi khuẩn và mảng bám ở kẽ răng là nguyên nhân hàng đầu gây viêm nướu và hở viền veneer. Hãy dùng chỉ nha khoa hoặc máy tăm nước mỗi ngày.
- Tránh dùng răng làm công cụ: Tuyệt đối không dùng răng dán sứ để cắn móng tay, mở nắp chai, xé bao bì hay cắn các vật cứng như xương, đá viên. Hành động này có thể gây mẻ hoặc vỡ veneer ngay lập tức.
- Hạn chế thực phẩm và đồ uống sẫm màu: Mặc dù sứ cao cấp có khả năng chống nhiễm màu tốt, việc tiêu thụ quá nhiều cà phê, trà, rượu vang đỏ có thể làm xỉn màu lớp xi măng dán sứ ở đường viền.
- Sử dụng máng bảo vệ: Nếu bạn có tật nghiến răng khi ngủ (bruxism), hãy trao đổi với nha sĩ để làm một máng bảo vệ. Lực nghiến có thể phá hủy cả răng thật lẫn veneer. Đây là khuyến nghị mạnh mẽ từ Viện Hàn lâm về Tích hợp Osseointegration (AO) cho các phục hình nha khoa.
- Thăm khám định kỳ: Việc kiểm tra 6 tháng/lần tại Nha Khoa Quốc Tế SG giúp phát hiện sớm các vấn đề tiềm ẩn như hở keo dán, viêm nướu và làm sạch chuyên nghiệp những mảng bám mà bàn chải thông thường không thể loại bỏ.
Dấu Hiệu Veneer Hết Hạn Sử Dụng

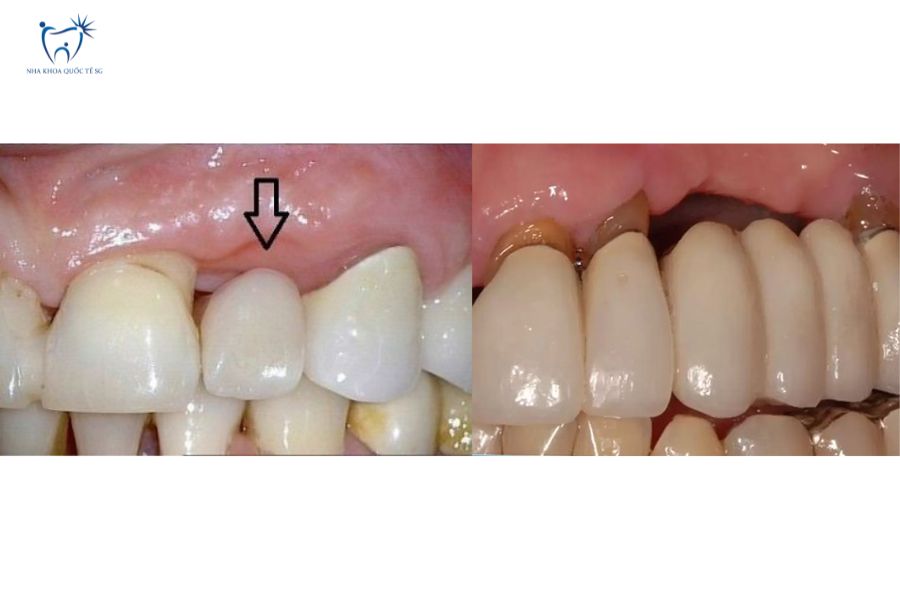
Dấu hiệu nhận biết cần thay răng sứ mới
Veneer không có “ngày hết hạn” cố định, nhưng chúng sẽ có những dấu hiệu “lão hóa” cho thấy đã đến lúc cần được thay thế để đảm bảo sức khỏe và thẩm mỹ.
Veneer bị nứt, mẻ
Đây là dấu hiệu rõ ràng nhất. Các vết nứt, dù nhỏ, cũng có thể là nơi vi khuẩn xâm nhập và gây sâu răng bên dưới.
Nguyên nhân thường do va đập mạnh hoặc thói quen ăn nhai đồ cứng. Một khi đã nứt, mẻ, veneer không thể tự phục hồi và cần được thay mới.
Hở đường viền nướu, lộ răng thật
Theo thời gian, nướu có thể bị tụt tự nhiên hoặc do bệnh lý nha chu, làm lộ ra phần chân răng thật không được Veneer che phủ.
Điều này tạo ra một đường viền kém thẩm mỹ giữa veneer và răng thật, đồng thời cũng là nơi dễ tích tụ mảng bám, gây sâu chân răng.
Nướu bị sưng viêm, tấy đỏ
Nếu vùng nướu xung quanh răng dán sứ thường xuyên bị sưng, đỏ, chảy máu, đó có thể là dấu hiệu Veneer được gắn không đúng kỹ thuật, gây kích ứng hoặc tạo điều kiện cho mảng bám tích tụ.
Đây là một tình trạng cần được nha sĩ kiểm tra ngay lập tức để tránh các biến chứng nghiêm trọng hơn.
Màu sắc veneer bị xuống cấp
Mặc dù sứ không dễ bị nhiễm màu, nhưng lớp xi măng gắn kết có thể bị ngả màu theo thời gian, đặc biệt là ở đường viền.
Ngoài ra, nếu Veneer bị mòn hoặc trầy xước bề mặt, chúng sẽ mất đi độ bóng và dễ bị bám màu hơn. So sánh với các răng thật bên cạnh là cách dễ nhất để nhận ra sự thay đổi này.
Tỷ Lệ Thành Công Của Veneer Sứ Theo Nghiên Cứu Toàn Cầu

Nghiên cứu về dán sứ Veneer trên thế giới
Để mang đến thông tin khách quan và đáng tin cậy nhất, việc tham chiếu đến các bằng chứng khoa học là vô cùng cần thiết. Dưới đây là tổng hợp dữ liệu từ các nghiên cứu lâm sàng quy mô lớn được công bố trên các tạp chí nha khoa hàng đầu thế giới.
Tổng hợp tỷ lệ thành công (Survival Rate)
Các con số từ nghiên cứu lâm sàng đã chứng minh một cách thuyết phục rằng dán sứ Veneer là một trong những phương pháp phục hình thẩm mỹ có tỷ lệ thành công và độ bền dự đoán được cao nhất.
- Tổng quan hệ thống được công bố trên tạp chí Journal of Clinical Medicine năm 2021, phân tích dữ liệu từ 25 nghiên cứu với tổng cộng 6500 veneer, đã kết luận rằng tỷ lệ tồn tại tích lũy ước tính sau 10 năm là 95.5%.
- Một nghiên cứu dài hạn của Layton và Walton, theo dõi bệnh nhân lên đến 21 năm, cho thấy tỷ lệ tồn tại của veneer sứ feldspathic là 96% sau 10 năm và 91% sau 20 năm.
- Nghiên cứu của Beier và cộng sự, được công bố trên International Journal of Prosthodontics, theo dõi veneer sứ trong 20 năm, báo cáo tỷ lệ tồn tại là 93.5% sau 10 năm và 82.93% sau 20 năm.
- Đáng kinh ngạc hơn, một nghiên cứu theo dõi mão răng sứ và Veneer trong một phòng khám nha khoa lên đến 50 năm đã cho thấy veneer có tỷ lệ tồn tại 100% trong điều kiện bệnh nhân duy trì vệ sinh răng miệng tốt và duy trì tái khám đều đặn hàng năm.
Những dữ liệu này cho thấy sự đồng thuận rất cao trong giới khoa học: khi được thực hiện đúng chỉ định và kỹ thuật, Veneer sứ có thể tồn tại bền vững trong hàng thập kỷ.
Các nguyên nhân thất bại phổ biến nhất theo nghiên cứu
Các nghiên cứu không chỉ báo cáo về tỷ lệ thành công mà còn phân tích cả nguyên nhân thất bại, giúp các nha sĩ và bệnh nhân hiểu rõ hơn về các rủi ro tiềm ẩn.
- Gãy/vỡ/mẻ: Đây được xác định là nguyên nhân thất bại hàng đầu, chiếm tỷ lệ khoảng 4% trong các nghiên cứu. Điều này thường liên quan đến lực ăn nhai quá mức, tai nạn hoặc tật nghiến răng.
- Bong tróc: Tỷ lệ bong tróc Veneer khá thấp, chỉ khoảng 2%. Điều này cho thấy công nghệ keo dán sứ nha khoa hiện đại đã tạo ra những liên kết rất bền vững.
- Sâu răng và các vấn đề tủy: Đây là những rủi ro mà nhiều bệnh nhân lo lắng, nhưng thực tế tỷ lệ xảy ra rất thấp, chỉ khoảng 1-2%.
>>>Khám phá: Đắp Răng Sứ Là Gì? Đắp Sứ Có Bị Đau Không?
Câu Hỏi Thường Gặp (FAQ)
Veneer khi hết hạn có nguy hiểm không?
CÓ, Veneer hết hạn hoặc hư hỏng có thể gây nguy hiểm. Các vấn đề như hở keo dán, nứt vỡ có thể tạo điều kiện cho vi khuẩn xâm nhập gây sâu răng, viêm tủy và bệnh nha chu. Việc thay thế kịp thời là cần thiết để bảo vệ sức khỏe răng thật bên dưới.
Một chiếc veneer cũ, bị hở có thể trở thành một cái bẫy vi khuẩn. Thức ăn và mảng bám kẹt lại bên dưới, gây sâu răng tiến triển âm thầm mà bạn không hề hay biết. Đến khi có triệu chứng đau nhức, răng thật có thể đã bị tổn thương nghiêm trọng.
Thay veneer mới có phải mài thêm răng không?
Thông thường, việc thay veneer mới không cần phải mài thêm men răng. Nha sĩ sẽ sử dụng các dụng cụ chuyên dụng để nhẹ nhàng tháo bỏ lớp veneer cũ và lớp xi măng còn sót lại. Bề mặt răng sau đó sẽ được làm sạch và chuẩn bị để dán veneer mới. Trừ khi răng thật bên dưới bị sâu hoặc tổn thương, cấu trúc răng sẽ được bảo tồn tối đa.
Chế độ bảo hành veneer thường kéo dài bao lâu?
Chế độ bảo hành veneer tùy thuộc vào chính sách của từng nha khoa và loại vật liệu bạn chọn. Tại các trung tâm uy tín như Nha Khoa Quốc Tế SG, thời gian bảo hành cho các dòng sứ cao cấp thường kéo dài từ 10 đến 15 năm cho các lỗi kỹ thuật từ nhà sản xuất như nứt, vỡ, bong tróc tự nhiên. Bảo hành không bao gồm các hư hỏng do tai nạn, va đập hoặc không tuân thủ hướng dẫn chăm sóc.
Tháo veneer cũ có đau không?
Câu trả lời là KHÔNG. Toàn bộ quá trình tháo gỡ veneer cũ đều được thực hiện dưới tác dụng của thuốc tê tại chỗ. Bác sĩ sẽ gây tê vùng răng cần làm, đảm bảo bạn hoàn toàn thoải mái và không có bất kỳ cảm giác đau đớn hay ê buốt nào trong suốt quá trình thực hiện.
Kết Luận
Dán răng sứ veneer là một giải pháp thẩm mỹ tuyệt vời với độ bền ấn tượng, có thể kéo dài từ 10-15 năm hoặc hơn. Đây là kết quả của sự kết hợp giữa công nghệ vật liệu tiên tiến, tay nghề chính xác của nha sĩ. Để có được kết quả tốt nhất và sự an tâm dài lâu, hãy lựa chọn những địa chỉ nha khoa uy tín, có đội ngũ bác sĩ chuyên môn cao và sử dụng vật liệu chính hãng.
Bạn cần tư vấn trực tiếp về tình trạng răng của mình?
Hãy liên hệ ngay với các chuyên gia tại Nha Khoa Quốc Tế SG có hơn 10 năm kinh nghiệm dán sứ Veneer để được thăm khám và lên kế hoạch phục hình ngay nhé.

Sự phối hợp chuyên nghiệp giữa bác sĩ và phụ tá tại Nha Khoa Quốc Tế SG
Nha Khoa Quốc Tế SG – Địa điểm Nha Khoa Uy Tín Quận 10, HCM
- Địa chỉ: 132 Đường 3/2, Phường 12, Quận 10, TP.HCM
- Hotline: 0902.759.406 – 0396.877.518
- Email: sgnhakhoaquocte@gmail.com
- Website: nhakhoaquoctesg.vn
- Youtube: youtube.com/@sgdental.official
- Instagram: instagram.com/sgdental.official/
- MST của Nha Khoa Quốc Tế SG
- Liên hệ ngay Nha Khoa Quốc Tế SG
- Cảm nhận khách hàng tại Nha Khoa Quốc Tế SG
Checklist Xác Minh Thông Tin
Tất cả các thông tin y khoa trong bài viết này đã được đối chiếu và xác thực từ các nguồn uy tín sau:
- Journal of Esthetic and Restorative Dentistry: Nghiên cứu về độ bền lâu dài của veneer sứ.
- Ivoclar Vivadent: Dữ liệu lâm sàng về độ bền của sứ Emax.
- GC Dental: Thông tin kỹ thuật về vật liệu sứ Lisi.
- American Academy of Cosmetic Dentistry (AACD): Hướng dẫn về các loại veneer thẩm mỹ.
- Journal of Prosthodontics: Các nghiên cứu về ứng dụng và độ bền của Zirconia.
- Mouthhealthy.org (American Dental Association): Thông tin tổng quan về Composite Veneers.
- American Dental Association (ADA): Khuyến nghị về chăm sóc răng miệng hàng ngày.
>>>Khám phá ngay các bài viết liên quan:
