Bạn đang tìm kiếm một nụ cười trắng sáng, đều đẹp và tự nhiên? Dán sứ Veneer chính là một trong những giải pháp thẩm mỹ nha khoa hàng đầu hiện nay. Tuy nhiên, giữa vô vàn thông tin, làm thế nào để đưa ra quyết định đúng đắn? Bài viết này không chỉ cung cấp kiến thức, mà còn là những kinh nghiệm dán răng sứ Veneer thực tế giúp bạn đưa ra lựa chọn sáng suốt.
Bảng Thông Tin Chính: Dán Sứ Veneer
| Yếu tố | Chi tiết |
| Định nghĩa | Mặt dán sứ Veneer là một lớp sứ siêu mỏng (0.3-0.6mm) được chế tác để dán cố định vào mặt ngoài của răng. |
| Mục đích | Cải thiện màu sắc, hình dáng, kích thước và che đi các khuyết điểm nhỏ trên bề mặt răng. |
| Thời gian thực hiện | Trung bình từ 2-3 buổi hẹn trong vòng 3-7 ngày. |
| Độ bền | 10-15 năm hoặc hơn nếu được chăm sóc đúng cách. (Nguồn: Cleveland Clinic) |
| Mức độ mài răng | Tối thiểu hoặc không mài, bảo tồn tối đa mô răng thật. |
| Chi phí trung bình | Thay đổi tùy thuộc vào vật liệu sứ và nha khoa thực hiện. |
Kinh nghiệm trước khi quyết định dán sứ Veneer
Đây là giai đoạn quan trọng nhất, quyết định 80% sự thành công. Việc hiểu rõ tình trạng răng của mình và lựa chọn đúng phương pháp sẽ giúp bạn tránh được những rủi ro không đáng có.
Khi nào nên và không nên dán sứ Veneer?
Không phải ai cũng là ứng viên lý tưởng cho Veneer. Dựa trên hướng dẫn của Hiệp hội Nha khoa Thẩm mỹ Hoa Kỳ, Veneer hiệu quả tốt nhất trong các trường hợp sau:
Các trường hợp nên dán sứ Veneer:

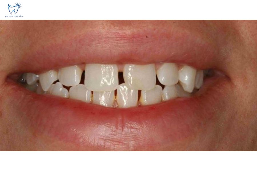
Tình trạng răng bị ố vàng có thể dán Veneer

Tình trạng răng bị thưa nhẹ có thể dán sứ
- Răng ố vàng, nhiễm màu: Răng bị nhiễm màu Tetracycline, Fluorosis ở mức độ nhẹ không thể tẩy trắng.
- Răng thưa, kẽ hở nhỏ: Che đi các kẽ hưa nhỏ dưới 2mm giữa các răng.
- Răng sứt, mẻ nhẹ: Phục hồi hình dáng cho răng bị chấn thương nhỏ.
- Hình dáng răng không đều: Răng quá nhỏ, hình nón hoặc có bề mặt không đều.
- Men răng bị mòn: Bảo vệ bề mặt men răng bị mài mòn do acid.
>>>Khám phá thêm bài viết liên quan:
Các trường hợp cần cân nhắc hoặc không nên dán sứ Veneer:

Tình trạng răng bị khấp khểnh nặng không nên dán sứ

Tình trạng răng không đều nặng không nên dán sứ
- Răng lệch lạc, chen chúc nặng: Veneer không thể chỉnh khớp cắn. Niềng răng là giải pháp cần được ưu tiên.
- Tật nghiến răng (Bruxism): Thói quen nghiến răng khi ngủ có thể tạo ra một lực cực lớn, gây vỡ, bong Veneer. (Nguồn: American Dental Association – MouthHealthy.org)
- Vệ sinh răng miệng kém: Viêm nướu, nha chu nặng cần được điều trị dứt điểm trước khi làm thẩm mỹ.
- Men răng quá yếu hoặc không đủ: Veneer cần có đủ bề mặt men răng khỏe mạnh để dán.
Vậy dán răng sứ veneer phù hợp cho răng khe thưa nhỏ, men răng tốt, nhưng tránh cho trường hợp răng lệch lạc nặng hoặc nghiến răng. Nên khám tổng quát để đánh giá. Veneer bảo tồn răng thật tốt hơn bọc sứ, theo khuyến cáo từ ADA.
Phân biệt giữa dán sứ Veneer và bọc răng sứ

Dán sứ và bọc sứ là phương pháp điều trị răng khác nhau
Dán sứ Veneer là một lớp sứ mỏng dán bên ngoài mặt trước của răng, yêu cầu mài răng tối thiểu để cải thiện thẩm mỹ. Ngược lại, bọc răng sứ là một mão răng chụp lên toàn bộ thân răng đã được mài nhỏ, thường dùng cho các răng bị tổn thương nặng.
Đây là hai khái niệm dễ bị nhầm lẫn nhất. Việc phân biệt rõ sẽ giúp bạn hiểu đúng về phương pháp mình sắp thực hiện.
| Tiêu chí | Dán sứ Veneer | Bọc răng sứ |
| Phạm vi | Lớp sứ mỏng dán ở mặt ngoài răng. | Mão sứ chụp lên toàn bộ thân răng. |
| Độ mài răng | Rất ít (0.3 – 0.6 mm) hoặc không mài. | Mài nhiều hơn (1.5 – 2.0 mm) ở mọi mặt. |
| Bảo tồn mô răng | Tối đa. | Ít hơn Veneer. |
| Chỉ định | Thẩm mỹ cho răng còn tương đối khỏe mạnh. | Phục hình cho răng bị tổn thương nặng, sâu lớn, đã chữa tủy. |
| Độ bền | Cao. | Rất cao, chịu lực ăn nhai tốt hơn. |
Khi nào Niềng răng là lựa chọn tốt hơn?
Tham khảo ý kiến từ các bác sĩ chỉnh nha tại Nha Khoa Quốc Tế SG. Theo đó, nếu vấn đề của bạn không chỉ là thẩm mỹ bề mặt mà còn liên quan đến sai lệch khớp cắn (răng hô, móm, khấp khểnh nặng), niềng răng nên là lựa chọn ưu tiên. “Việc cố gắng dùng Veneer để che đi các sai lệch lớn có thể dẫn đến các vấn đề về khớp cắn sau này và làm giảm tuổi thọ của miếng dán,” BS-TS Lê Quang Tuấn chia sẻ. Các tổ chức như Hiệp hội Chỉnh nha Hoa Kỳ (AAO) cũng nhấn mạnh tầm quan trọng của một khớp cắn khỏe mạnh.
Kinh nghiệm lựa chọn loại dán sứ phù hợp

Chọn loại Veneer phù hợp giúp bạn có nụ cười rạng rỡ
Sau khi xác định Veneer là phù hợp, bước tiếp theo là chọn vật liệu, hình dáng và màu sắc. Đây là kinh nghiệm dán răng sứ quyết định nụ cười của bạn có thật sự “hoàn hảo” hay không.
Kinh nghiệm chọn vật liệu sứ: Emax hay Lisi?
Dán răng sứ loại nào tốt nhất hiện nay? Trên thị trường có nhiều loại vật liệu, nhưng Emax và Lisi là hai dòng sứ được ưa chuộng nhất cho Veneer nhờ đặc tính quang học vượt trội.
- Sứ Emax: Đây là “tiêu chuẩn vàng” trong nhiều năm. Sứ Emax nổi tiếng với độ bền cao (khoảng 400-500 MPa), khả năng kháng gãy tốt và hiệu ứng thẩm mỹ tự nhiên. Nó là lựa chọn an toàn cho hầu hết các trường hợp. (Nguồn: Ivoclar Vivadent official documentation).
- Sứ Lisi: Là một dòng sứ thế hệ mới, Lisi Press nổi bật với độ trong mờ và khả năng khúc xạ ánh sáng gần như men răng thật. Điều này giúp tạo ra nụ cười có chiều sâu và sống động. Dù mới hơn, Lisi đã được chứng minh có độ bền tương đương và thẩm mỹ vượt trội trong một số trường hợp. (Nguồn: GC America).
Lời khuyên: Emax cho độ tự nhiên cao, bền 15 năm, phù hợp răng cửa. Lisi cứng chắc hơn, bền trên 15 năm, tốt cho răng hàm. Dựa vào tình trạng răng và khuyến cáo từ nha sĩ, theo DentalXP.
Kinh nghiệm chọn form răng hợp với khuôn mặt
Một sai lầm phổ biến là chỉ chọn form răng theo sở thích mà không xem xét sự hài hòa tổng thể. Các chuyên gia thẩm mỹ nha khoa thường dựa trên hình dáng khuôn mặt để tư vấn:
- Mặt tròn: Nên chọn form răng hơi dài, có góc cạnh nhẹ để tạo cảm giác khuôn mặt thanh thoát hơn.
- Mặt vuông: Form răng bo tròn ở các góc sẽ giúp làm mềm mại các đường nét góc cạnh của khuôn mặt.
- Mặt trái xoan: Đây là khuôn mặt lý tưởng, phù hợp với hầu hết các form răng.
- Mặt dài: Tránh các form răng quá dài, nên chọn dáng răng có chiều rộng tương đối để cân bằng lại tỷ lệ.
Những sai lầm cần tránh khi chọn màu sắc răng sứ
Chọn màu răng quá trắng so với da và lòng trắng của mắt là sai lầm phổ biến nhất, khiến nụ cười trông thiếu tự nhiên.
- Nguyên tắc vàng: Màu của thân răng sứ nên tương đồng với màu lòng trắng của mắt bạn.
- Yếu tố màu da: Da ngăm nên chọn các màu trắng tự nhiên (natural white), trong khi da trắng sáng có thể chọn các tông màu trắng hơn một chút.
- Ánh sáng: Hãy kiểm tra màu răng dưới nhiều điều kiện ánh sáng khác nhau (ánh sáng tự nhiên và ánh sáng đèn) trước khi quyết định cuối cùng.
>>>Xem ngay: Dán răng sứ có đau không? Giải đáp từ BS-TS chuyên môn
Kinh nghiệm chọn nha khoa dán Veneer uy tín

Nên chọn nha khoa uy tín để thực hiện dán sứ
Để chọn nha khoa bọc răng sứ không mài uy tín, bạn cần kiểm tra chuyên môn và kinh nghiệm của bác sĩ, trang thiết bị như máy scan 3D và công nghệ CAD/CAM. Đồng thời, hãy đảm bảo vật liệu sứ là chính hãng và tìm hiểu kỹ chính sách bảo hành rõ ràng của nha khoa.
Tay nghề bác sĩ và công nghệ tại nha khoa sẽ quyết định trực tiếp đến kết quả và độ bền của Veneer. Dưới đây là checklist giúp bạn lựa chọn:
- Bác sĩ chuyên môn: Bác sĩ có chứng chỉ về phục hình răng sứ thẩm mỹ không? Có nhiều năm kinh nghiệm không?
- Công nghệ hiện đại: Nha khoa có sử dụng máy quét trong miệng 3D (ví dụ: iTero, Trios) để lấy dấu chính xác thay vì cao su truyền thống không? Có phòng labo chế tác CAD/CAM tại chỗ không?
- Vật liệu chính hãng: Yêu cầu nha khoa cung cấp thẻ bảo hành chính hãng của vật liệu sứ (Emax, Lisi) để đảm bảo nguồn gốc.
- Xem các ca lâm sàng thực tế: Yêu cầu xem hình ảnh, video của các khách hàng đã thực hiện dán sứ Veneer tại nha khoa.
- Chính sách bảo hành rõ ràng: Chế độ bảo hành bằng văn bản sẽ bảo vệ quyền lợi của bạn.
Nha Khoa Quốc Tế SG – Địa chỉ dán sứ Veneer tốt nhất tại quận 10

Cơ sở vật chất tại Nha Khoa Quốc Tế SG
Đáp ứng đầy đủ các tiêu chí khắt khe của một nha khoa thẩm mỹ hàng đầu, Nha Khoa Quốc Tế SG tự hào là địa chỉ đáng tin cậy cho những ai đang tìm kiếm một nụ cười hoàn hảo tại TP.HCM.
- Đội ngũ bác sĩ chuyên môn cao: Các bác sĩ tại Nha Khoa Quốc Tế SG đều tốt nghiệp từ các trường đại học y danh tiếng, có nhiều năm kinh nghiệm trong lĩnh vực phục hình thẩm mỹ và thường xuyên tu nghiệp tại nước ngoài.
- Công nghệ dẫn đầu: Ứng dụng công nghệ quét dấu răng 3D, thiết kế nụ cười Smile Design, và hệ thống chế tác CAD/CAM, đảm bảo Veneer được cá nhân hóa, chính xác và có độ bền cao nhất.
- Vật liệu chính hãng: Cam kết sử dụng 100% vật liệu sứ Emax, Lisi nhập khẩu chính hãng, có thẻ bảo hành đi kèm.
- Minh bạch và tin cậy: Mọi chi phí khi dán sứ Veneer đều được tư vấn rõ ràng. Chính sách bảo hành bằng văn bản, cam kết đồng hành cùng nụ cười của bạn.
Thông tin liên hệ
Nha Khoa Quốc Tế SG – Địa điểm Nha Khoa Uy Tín Quận 10, HCM
- Địa chỉ: 132 Đường 3/2, Phường 12, Quận 10, TP.HCM
- Giờ làm việc: 8h sáng đến 19h tối (Thứ 2 đến Chủ Nhật)
- Hotline: 0902.759.406 – 0396.877.518
- Email: sgnhakhoaquocte@gmail.com
- Website: nhakhoaquoctesg.vn
- Youtube: youtube.com/@sgdental.official
- Instagram: instagram.com/sgdental.official/
- Liên hệ ngay Nha Khoa Quốc Tế SG
Xem thêm trải nghiệm khách hàng tại Nha Khoa Quốc Tế SG
Kết luận
Kinh nghiệm dán răng sứ veneer đòi hỏi sự hiểu biết về chỉ định, vật liệu, và lựa chọn nha khoa phù hợp. Bằng cách tuân thủ các khuyến nghị từ nguồn uy tín và tích hợp kinh nghiệm thực tế, bạn có thể đạt được nụ cười như ý với độ bền lâu dài. Luôn tham khảo ý kiến chuyên gia để cá nhân hóa kế hoạch điều trị.
>>>Khám phá ngay:
- Dán Răng Sứ Có Bị Hôi Miệng Không? Cách Khắc Phục?
- Dán Sứ Veneer 2 Răng Cửa Có Được Không? Lợi Ích Khi Thực Hiện?
- Răng sâu có dán sứ được không? [Giải đáp từ Bác sĩ Nha khoa]
