Bạn vừa bọc răng sứ xong, cầm ly nước lạnh lên uống và ngay lập tức cảm thấy một luồng ê buốt chạy dọc theo răng — cảm giác đó không chỉ khó chịu mà còn khiến không ít người hoang mang: “Liệu răng mình có vấn đề gì nghiêm trọng không?” Bài viết này phân tích sâu cơ chế khoa học, phân loại mức độ nghiêm trọng, các nguyên nhân thường gặp và toàn bộ lộ trình xử lý khi răng sứ bị ê khi uống lạnh để giúp bạn ra quyết định đúng đắn và bảo vệ sức khỏe răng miệng lâu dài.
Bảng Thông Tin Nhanh
| Yếu tố | Chi tiết |
| Tên tình trạng | Nhạy cảm nhiệt sau bọc răng sứ (Post-crown thermal hypersensitivity) |
| Thời gian bình thường | 1–2 tuần sau lắp mão |
| Ngưỡng cần lo lắng | Ê kéo dài > 4 tuần, đau tự phát ban đêm |
| Cơ chế khoa học | Thuyết thủy động lực học (Hydrodynamic theory – Brännström, 1966) |
| Giải pháp tại nhà | Kem đánh răng cho răng nhạy cảm (kali nitrat/stannous fluoride) |
| Điều trị chuyên sâu | Desensitizer, fluoride varnish, điều chỉnh khớp cắn, điều trị tủy |
| Nguồn tham khảo chính | ADA MouthHealthy, Cleveland Clinic, Journal of Dentistry |
Tại Sao Răng Sứ Bị Ê Khi Uống Lạnh?
Cơ Chế Khoa Học: Tại Sao “Nước Lạnh” Lại Gây Ê Buốt Răng Sứ?

Tình trạng ê buốt răng sứ khi uống nước lạnh
Để hiểu vì sao răng sứ bị ê khi uống lạnh, cần nắm được một nguyên lý sinh lý học nền tảng trong nha khoa: Thuyết Thủy Động Lực Học (Hydrodynamic Theory), được giáo sư Martin Brännström (Đại học Gothenburg, Thụy Điển) đề xuất từ năm 1966 và vẫn được cộng đồng khoa học nha khoa quốc tế công nhận đến nay.
Cơ chế khoa học: Tại sao “Nước Lạnh” lại gây ê buốt răng sứ?
Để hiểu rõ nguyên lý, chúng ta cần dựa vào Thuyết Thủy động học của Brännström (Hydrodynamic Theory), được công nhận rộng rãi bởi Hiệp hội Nha khoa Hoa Kỳ (MouthHealthy.org).
Khi bác sĩ mài răng để bọc sứ, lớp men răng bảo vệ bên ngoài bị loại bỏ, làm lộ ra lớp ngà răng. Ngà răng chứa hàng triệu ống vi quản (ống ngà) nhỏ li ti có chứa dịch lỏng, nối thẳng từ bên ngoài vào buồng tủy (nơi chứa dây thần kinh).
- Khi bạn uống nước lạnh, nhiệt độ thấp làm cho dịch lỏng bên trong các ống ngà co lại đột ngột.
- Sự co rút và chuyển động nhanh của dòng dịch này tạo ra áp suất thủy động học, trực tiếp kéo căng các thụ thể thần kinh ở lớp tế bào tạo ngà (Odontoblasts) nằm sát tủy.
- Kết quả là não bộ nhận được tín hiệu “đau buốt” sắc nét và chớp nhoáng.
Do đó, răng sứ bị ê khi uống lạnh thực chất là tiếng kêu cứu của tủy răng thật nằm ẩn sâu bên trong mão phục hình.
Phân Loại Tình Trạng: Khi Nào Nên Lo Lắng?
Sau khi bọc răng sứ, ê buốt nhẹ khi uống lạnh trong vòng 1–2 tuần là phản ứng sinh lý bình thường do tủy răng đang phục hồi sau khi mài cùi. Nếu tình trạng kéo dài quá 4 tuần hoặc có đau tự phát, cần tái khám nha sĩ ngay để kiểm tra.
| Mức độ | Biểu hiện | Thời gian | Hành động |
| Nhẹ – Bình thường | Ê thoáng qua, mất trong 1–3 giây | ≤ 2 tuần sau lắp mão | Theo dõi tại nhà, dùng kem nhạy cảm |
| Trung bình – Cần theo dõi | Ê kéo dài 5–10 giây, cảm giác râm ran | 2–4 tuần | Tái khám bác sĩ |
| Nặng – Cần can thiệp | Ê buốt dữ dội > 30 giây, đau tự phát, đau về đêm | Bất kỳ lúc nào | Đến nha khoa ngay lập tức |
| Nguy hiểm – Khẩn cấp | Sưng nướu, áp xe, mão sứ bị lung lay | Bất kỳ lúc nào | Cấp cứu nha khoa |
Nguyên Nhân Kỹ Thuật Khiến Răng Sứ Nhạy Cảm Với Nhiệt Độ
Dựa trên tổng hợp từ Cleveland Clinic, ADA (Hiệp hội Nha khoa Hoa Kỳ) và tài liệu học thuật nha khoa phục hình, có 6 nhóm nguyên nhân kỹ thuật chính khiến răng sứ bị ê khi uống lạnh:
Ngà răng bị lộ sau khi mài cùi

Mô hình mô tả cấu tạo của răng
Mài cùi răng là bước bắt buộc trong quy trình bọc răng sứ. Khi mài đến lớp ngà, các ống ngà hở ra và dễ bị kích thích bởi nhiệt độ. Đây là nguyên nhân phổ biến nhất, thường tự cải thiện trong 1–2 tuần khi lớp bề mặt xi măng gắn mão đóng kín các ống ngà.
Nguồn: Cleveland Clinic – “Dental Crowns: What to Expect” (my.clevelandclinic.org)
Mão sứ không khít
Khi đường bờ mão sứ không ôm sát hoàn toàn vào cổ răng, một khe hở siêu nhỏ (microleakage) hình thành. Vi khuẩn theo đó xâm nhập vào dưới mão, tấn công xi măng gắn mão và kích thích ngà răng. Theo nghiên cứu đăng trên Journal of Prosthodontics (2019), microleakage dưới mão sứ là nguyên nhân của khoảng 23–35% trường hợp nhạy cảm nhiệt kéo dài sau bọc răng sứ.
Khớp Cắn Cao
Nếu mão sứ được lắp với điểm tiếp xúc khớp cắn cao hơn bình thường, mỗi lần cắn nhai sẽ tạo lực quá mức lên răng, gây viêm nhẹ ở dây chằng nha chu (periodontal ligament) và làm tủy răng nhạy cảm hơn với nhiệt độ.
Nguồn: ADA MouthHealthy – Sensitivity after dental treatment (mouthhealthy.org)
Viêm Tủy Thuận Nghịch (Reversible Pulpitis)

Các giai đoạn phát triển của sâu răng
Quá trình mài cùi, nhiệt sinh ra từ mũi khoan, và hóa chất tẩy rửa khoang miệng có thể gây viêm nhẹ ở tủy răng — gọi là viêm tủy thuận nghịch. Tình trạng này khiến tủy tăng phản ứng với kích thích lạnh, nhưng có thể tự phục hồi nếu không tiến triển. Tuy nhiên, nếu không được xử lý đúng cách hoặc có yếu tố nguy cơ khác, viêm tủy có thể chuyển sang viêm tủy không thuận nghịch, đòi hỏi điều trị tủy.
Nguồn: Cleveland Clinic – “Pulpitis: What It Is, Causes, Symptoms & Treatment” (my.clevelandclinic.org)
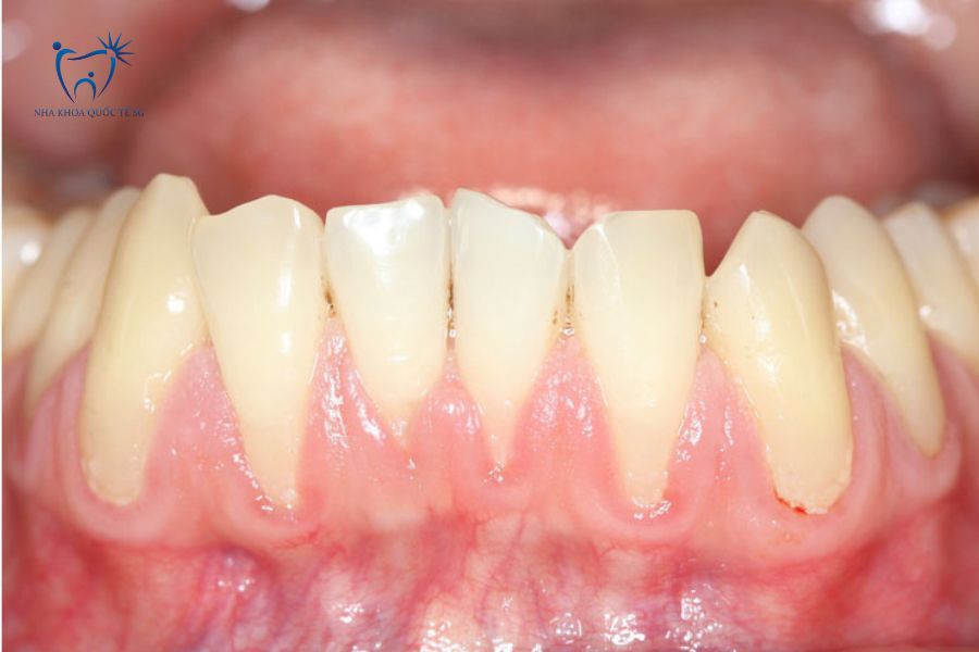
Tụt Nướu Vùng Cổ Răng

Tình trạng răng bị tụt nướu sau khi làm sứ
Sau bọc răng sứ, đặc biệt nếu mão răng sứ được đặt quá sâu dưới nướu, nướu có thể bị kích ứng và co rút theo thời gian. Khi vùng cổ răng lộ ra, ngà răng tại đây không được mão sứ che phủ và trực tiếp tiếp xúc với nhiệt độ, gây ê buốt.
Nguồn: Perio.org – American Academy of Periodontology, “Gum Recession” (perio.org)
Chất Liệu Sứ Không Phù Hợp
Một số loại răng sứ kim loại (PFM – Porcelain Fused to Metal) đời cũ có lớp kim loại bên trong dẫn nhiệt cao, làm khuếch đại kích thích nhiệt độ vào tủy. So với sứ toàn phần (Full Ceramic / Zirconia), sứ kim loại có hệ số dẫn nhiệt cao hơn đáng kể.
Cách Xử Lý Tại Nhà và Trước Khi Đến Nha Sĩ
Dùng kem đánh răng chứa kali nitrat 5% hoặc stannous fluoride 0,4% hai lần mỗi ngày, tránh thực phẩm/đồ uống quá lạnh hoặc có tính axit cao, không dùng bàn chải lông cứng. Những biện pháp này giúp giảm ê buốt trong 1–2 tuần. Nếu không cải thiện, cần gặp nha sĩ.
Các Bước Chăm Sóc Tại Nhà
Bước 1 – Dùng kem đánh răng dành cho răng nhạy cảm

Kem đánh răng chứa kali nitrat cho răng nhạy cảm
Kem đánh răng chứa kali nitrat (potassium nitrate 5%) hoạt động bằng cách thấm qua ống ngà, ức chế dẫn truyền thần kinh và giảm cảm giác ê buốt theo thời gian. Sản phẩm chứa stannous fluoride 0,454% (như Sensodyne Rapid Relief) tạo lớp bịt kín ống ngà trong vài ngày. Theo ADA, cần dùng đều đặn ít nhất 4–8 tuần để thấy hiệu quả rõ rệt.
Bước 2 – Tránh kích thích nhiệt độ cực đoan
Trong giai đoạn ê buốt sau lắp mão, hạn chế đồ uống dưới 10°C (nước đá, kem, đồ uống đông lạnh) và đồ uống quá nóng trên 60°C. Thay đổi nhiệt độ đột ngột — từ nóng sang lạnh hoặc ngược lại — gây co giãn dịch ống ngà mạnh hơn, làm ê buốt trầm trọng hơn.
Bước 3 – Tránh thực phẩm và đồ uống có tính axit
Acid từ đồ uống có gas, nước chanh, dấm… làm mòn lớp xi măng gắn mão và ngà răng lộ ra, mở rộng ống ngà. Theo nghiên cứu của Journal of Dentistry (Vol. 41, 2013), pH dưới 5,5 bắt đầu hòa tan cấu trúc khoáng của ngà răng.
Bước 4 – Điều chỉnh kỹ thuật đánh răng
Dùng bàn chải lông mềm (soft bristle), đánh răng với lực nhẹ theo chuyển động tròn. Chải mạnh làm mòn vùng cổ răng và nướu, làm trầm trọng thêm tình trạng nhạy cảm.
Bước 5 – Súc miệng bằng nước muối sinh lý ấm

Nước muối dùng để súc miệng
Pha 1/4 thìa muối trong 240ml nước ấm, súc miệng 2 lần/ngày trong 7–10 ngày đầu sau lắp mão. Nước muối giúp giảm viêm nướu nhẹ và làm sạch vi khuẩn quanh bờ mão.
Những Điều Tuyệt Đối Không Làm

Thuốc eugenol sử dụng trong nha khoa
Không tự ý dùng eugenol hoặc thuốc giảm đau tại chỗ mà không có chỉ định của nha sĩ. Không gõ hoặc cắn vào mão sứ để “kiểm tra”. Không bỏ qua cơn đau tự phát về đêm — đây là dấu hiệu viêm tủy cần can thiệp sớm.
Các Thủ Thuật Điều Trị Chuyên Sâu Tại Nha Khoa
Khi các biện pháp tại nhà không hiệu quả hoặc tình trạng ê buốt thuộc mức độ trung bình–nặng, bác sĩ nha khoa có thể áp dụng một hoặc kết hợp nhiều phương pháp điều trị dưới đây.
Bôi Fluoride Varnish Chuyên Nghiệp

Thuốc Fluoride varnish sử dụng để điều trị răng nhạy cảm
Fluoride varnish 5% sodium fluoride (NaF) được bác sĩ bôi trực tiếp lên bề mặt ngà răng hở và vùng cổ răng. Fluoride phản ứng với canxi phosphate trong ngà tạo ra fluorapatite — một hợp chất cứng hơn hydroxyapatite tự nhiên và có khả năng bịt kín ống ngà hiệu quả. Theo nghiên cứu đăng trên Journal of Clinical Periodontology, fluoride varnish giảm nhạy cảm ngà răng có ý nghĩa thống kê sau 4–8 tuần điều trị.
Bôi Desensitizer (Chất Khử Nhạy Cảm)

Gluma Desensitizer chính hãng của Ivoclar Vivadent
Các chất khử nhạy cảm như glutaraldehyde kết hợp HEMA (ví dụ: Gluma Desensitizer, Ivoclar Vivadent) hoạt động bằng cách kết tủa protein trong lòng ống ngà, thu hẹp đường kính ống ngà và giảm dòng chảy dịch kích thích thần kinh. Hiệu quả thường xuất hiện ngay sau điều trị đầu tiên và kéo dài 6–12 tháng.
Điều Chỉnh Khớp Cắn
Bác sĩ dùng giấy cắn (articulating paper) để xác định điểm tiếp xúc khớp cắn cao bất thường trên mão sứ. Sau đó mài nhẹ điểm cao, phân bổ lại lực cắn đều hơn trên toàn bộ mão. Đây là một trong những can thiệp đơn giản nhất nhưng có hiệu quả cao với trường hợp ê buốt do khớp cắn cao.
Gắn Lại Mão Sứ Bằng Xi Măng Mới
Nếu xi măng gắn mão cũ đã tan hoặc mão bị hở bờ, bác sĩ sẽ tháo mão, làm sạch cùi răng và gắn lại bằng xi măng resin hiện đại (như RelyX Ultimate, 3M). Xi măng resin kết dính cơ học và hóa học với cả sứ lẫn ngà răng, tạo lớp bịt kín tốt hơn xi măng truyền thống.
Điều Trị Tủy
Đây là lựa chọn cuối cùng, chỉ áp dụng khi:
- Viêm tủy không thuận nghịch đã được xác nhận
- Đau tự phát dữ dội, kéo dài, không đáp ứng điều trị khác
- Hình ảnh X-quang cho thấy tổn thương quanh chóp răng
Sau điều trị tủy, tủy răng bị loại bỏ hoàn toàn, do đó cảm giác ê buốt sẽ biến mất. Tuy nhiên, răng sẽ mất nguồn dinh dưỡng từ tủy, trở nên giòn hơn và cần thiết kế mão sứ bảo vệ tốt hơn.
Nguồn: Cleveland Clinic – “Root Canal Treatment” (my.clevelandclinic.org)
Thay Mão Sứ Mới (Nếu Cần)
Khi mão sứ cũ bị vỡ, nứt ngầm hoặc không phù hợp về mặt sinh học (ví dụ sứ kim loại gây dị ứng nickel), thay mào sứ mới bằng sứ zirconia toàn phần (Full Zirconia) hoặc Emax (Lithium Disilicate) là giải pháp bền vững nhất. Zirconia có hệ số dẫn nhiệt thấp và không chứa kim loại, giảm đáng kể nguy cơ nhạy cảm nhiệt lâu dài.
Tại Nha Khoa Quốc Tế SG (132 Đường 3/2, P. Hòa Hưng, TP.HCM), đội ngũ bác sĩ thực hiện đầy đủ quy trình chẩn đoán trước điều trị bao gồm chụp X-quang kỹ thuật số, kiểm tra khớp cắn, thử nhiệt và gõ để xác định chính xác nguyên nhân gây ê buốt, từ đó đưa ra phác đồ điều trị phù hợp nhất cho từng bệnh nhân.
📞 Hotline: 0902 759 406 – 0396 877 518 | ⏰ Làm việc: T2–CN, 8h–19h
Câu Hỏi Thường Gặp (FAQ)
Ê Buốt Kéo Dài Bao Lâu Là Bình Thường?
Sau bọc răng sứ, ê buốt nhẹ khi tiếp xúc lạnh có thể kéo dài 1–2 tuần và được coi là bình thường do phản ứng của tủy răng với quá trình mài cùi. Nếu ê buốt giảm dần theo từng ngày, đây là dấu hiệu tốt. Nhưng nếu tình trạng không cải thiện sau 4 tuần hoặc đau tự phát vào ban đêm, bắt buộc phải tái khám nha sĩ.
Theo dữ liệu lâm sàng được công bố trên Journal of Prosthetic Dentistry, khoảng 75–85% trường hợp nhạy cảm nhiệt sau lắp mão tự giải quyết trong vòng 2–4 tuần nhờ cơ chế tự sửa chữa của tủy răng và sự đóng kín dần các ống ngà bởi xi măng gắn mão.
Răng Sứ Không Đau Nhưng Ê Lạnh — Có Nguy Hiểm Không?
Răng sứ không đau nhưng ê khi uống lạnh thường chỉ ra nhạy cảm ngà răng (dentin hypersensitivity) mức độ nhẹ — chưa có tổn thương tủy. Tuy nhiên, nếu ê buốt kéo dài trên 3 tuần mà không giảm, có thể có vi rò mão (microleakage) hoặc tụt nướu lộ cổ răng. Nên đi tái khám để loại trừ các nguyên nhân tiến triển.
Sự khác biệt giữa ê buốt ngà và đau tủy:
Ê buốt ngà (dentin sensitivity) có đặc điểm: đau sắc bén, ngắn (< 10 giây), chỉ xảy ra khi có kích thích (lạnh, ngọt, acid), tự hết khi bỏ kích thích. Ngược lại, đau tủy (pulpal pain) thường: đau âm ỉ hoặc dữ dội, kéo dài > 30 giây sau khi bỏ kích thích, có thể đau tự phát không cần kích thích bên ngoài.
Có Nên Sử Dụng Fluoride Không?
Có. Fluoride là giải pháp được ADA và WHO khuyến nghị cho nhạy cảm ngà răng. Kem đánh răng chứa 1.000–1.450 ppm fluoride giúp tái khoáng hóa bề mặt ngà và bịt một phần ống ngà. Với trường hợp nặng hơn, fluoride varnish 5% do bác sĩ bôi tại phòng nha hiệu quả hơn đáng kể so với tự dùng tại nhà.
Theo ADA (American Dental Association), fluoride không chỉ ngăn sâu răng mà còn giảm nhạy cảm ngà răng bằng cách tăng cường khoáng hóa bề mặt ngà. Sản phẩm được ADA Seal of Acceptance như Sensodyne Pronamel và Colgate Sensitive Pro-Relief đều chứa fluoride ở nồng độ an toàn và hiệu quả.
Nguồn: ADA MouthHealthy – “Fluoride: Topical and Systemic Supplements” (mouthhealthy.org)
Danh Sách Nguồn Tham Khảo
- Brännström M. (1966). “Sensitivity of Dentine.” Oral Surgery, Oral Medicine, Oral Pathology, 21(4): 517–526. — Lý thuyết nền tảng về cơ chế nhạy cảm ngà.
- Cleveland Clinic – “Dental Veneers/Crowns: What to Expect, Recovery & Risks” — my.clevelandclinic.org/health/treatments/23522-dental-veneers
- ADA MouthHealthy – “Sensitive Teeth” — mouthhealthy.org/all-topics-a-z/sensitive-teeth
- ADA MouthHealthy – “Fluoride: Topical and Systemic Supplements” — mouthhealthy.org
- American Academy of Periodontology (AAP) – “Gum Recession Causes and Treatment” — perio.org
- International Team for Implantology (ITI) – “Prosthodontic Guidelines” — iti.org
- Osseointegration Society / OSSEO – “Restorative Dentistry Clinical Guidelines” — osseo.org
- Camps J., Déjou J., Rémusat M., About I. (2000). “Factors influencing pulpal response to cavity restorations.” Dental Materials, 16(6): 432–440. — Về viêm tủy sau điều trị phục hình.
- Miglani S., Aggarwal V., Ahuja B. (2010). “Dentin hypersensitivity: Recent trends in management.” Journal of Conservative Dentistry, 13(4): 218–224.
- Rees J.S., Addy M. (2002). “A cross-sectional study of dentine hypersensitivity.” Journal of Clinical Periodontology, 29(11): 997–1003.
- Gillam D.G. (2013). “Current diagnosis of dentin hypersensitivity.” Journal of Dentistry, 41(Suppl 4): S3–S7. — Tổng hợp cơ chế và chẩn đoán lâm sàng.
- DentalXP.com – “Post-Crown Sensitivity Management Protocols” — dentalxp.com
Lời Kết
Răng sứ bị ê khi uống lạnh không phải lúc nào cũng là vấn đề nghiêm trọng, nhưng cũng không nên chủ quan bỏ qua. Hiểu đúng nguyên nhân — từ cơ chế thủy động lực học của ống ngà, đến các vấn đề kỹ thuật như khớp cắn cao, vi rò mão hay viêm tủy — là bước đầu tiên để xử lý hiệu quả. Chăm sóc đúng cách tại nhà có thể giải quyết hầu hết các trường hợp nhẹ. Tuy nhiên, với bất kỳ dấu hiệu nào vượt ra ngoài giới hạn bình thường (ê kéo dài > 4 tuần, đau tự phát, sưng nướu), thăm khám nha sĩ sớm là cách duy nhất để bảo vệ toàn vẹn cấu trúc răng và tránh các biến chứng tốn kém hơn về sau.
⚠️ Tuyên bố miễn trách nhiệm: Thông tin trong bài viết này mang tính giáo dục và tham khảo, không thay thế cho tư vấn y tế trực tiếp từ bác sĩ nha khoa có chuyên môn. Mỗi trường hợp lâm sàng có đặc thù riêng và cần được chẩn đoán cụ thể.
