Răng sứ kim loại là gì? Các loại, chi phí và có nên làm không?

Răng sứ kim loại vẫn là lựa chọn của đông đảo khách hàng nhằm khắc phục các khuyết điểm về răng vì giữa chi phí hợp lý và độ bền vượt trội. Bài viết này không chỉ giải thích “răng sứ kim loại là gì” mà còn cung cấp một góc nhìn chuyên sâu, được xác thực bởi các nguồn uy tín và kinh nghiệm thực tế, giúp bạn đưa ra quyết định sáng suốt nhất.

Bảng Dữ Liệu Nhanh Về Răng Sứ Kim Loại

Thuộc tínhChi tiết
Định nghĩaMão răng giả có khung sườn bên trong làm bằng hợp kim kim loại và lớp sứ phủ bên ngoài.
Cấu tạoGồm 2 lớp: Lõi kim loại bên trong và lớp sứ thẩm mỹ bên ngoài.
Phân loại chínhSứ kim loại thường (Ni-Cr), Sứ kim loại Titan, Sứ kim loại Crom-Cobalt (Co-Cr).
Ưu điểmChi phí hợp lý, độ bền và chịu lực ăn nhai cao.
Nhược điểmThẩm mỹ hạn chế, có thể gây đen viền nướu, tiềm ẩn nguy cơ kích ứng.
Tuổi thọ trung bình5 – 10 năm, tùy thuộc vào cách chăm sóc và loại hợp kim.
Vị trí phù hợpCác răng hàm phía trong (răng cối), không yêu cầu thẩm mỹ cao.

Răng sứ kim loại là gì?

Răng sứ kim loại làm từ hợp kim từ kim loại

Răng sứ kim loại làm từ hợp kim từ kim loại

Răng sứ kim loại là một loại phục hình răng giả cố định, bao gồm một lớp sườn bên trong được chế tác từ hợp kim kim loại (như Niken-Crom, Titan hoặc Crom-Cobalt) và được bao phủ hoàn toàn bởi nhiều lớp sứ thẩm mỹ bên ngoài. Sự kết hợp này mang lại độ bền cao của kim loại và vẻ ngoài tương đối tự nhiên của sứ.

Loại răng này từ lâu đã trở thành một giải pháp phổ biến trong nha khoa phục hình nhờ khả năng chịu lực ăn nhai tốt và chi phí phải chăng.

Cấu tạo của răng sứ kim loại

Răng sứ kim loại gồm hai cấu trúc chính

Răng sứ kim loại gồm hai cấu trúc chính

Cấu trúc của răng sứ kim loại gồm hai thành phần chính, mỗi phần đóng một vai trò riêng biệt để tạo nên một phục hình hoàn chỉnh:

  • Khung sườn kim loại bên trong: Được đúc chính xác theo dấu răng đã mài của bệnh nhân. Lớp sườn này thường có độ dày khoảng 0.3mm – 0.5mm, được làm từ các loại hợp kim khác nhau. Chức năng chính của nó là thay thế răng thật, có độ bền và khả năng chịu lực vượt trội, đảm bảo mão răng không bị nứt vỡ khi ăn nhai.
  • Lớp sứ thẩm mỹ bên ngoài: Nhiều lớp bột sứ được đắp chồng lên khung kim loại và nung ở nhiệt độ cao trong lò chuyên dụng. Quá trình này giúp lớp sứ liên kết với bề mặt kim loại. Lớp sứ được tạo hình và đổ bóng để có màu sắc và hình dáng tương tự như răng thật, mang lại tính thẩm mỹ cao.

Các loại răng sứ kim loại hiện nay

Nụ cười rạng rỡ sau khi gắn răng sứ

Nụ cười rạng rỡ sau khi gắn răng sứ

Thị trường nha khoa hiện nay có nhiều loại răng sứ kim loại, chủ yếu được phân loại dựa trên hợp kim được sử dụng cho khung sườn bên trong.

Răng sứ kim loại thường (Hợp kim Niken-Crom – Ni-Cr)

Đây là loại cơ bản và tiết kiệm chi phí nhất. Hợp kim Niken-Crom có độ cứng cao, dễ chế tác. 

Tuy nhiên, răng sứ kim loại thường Ni-Cr có nhược điểm lớn nhất là kim loại Niken có thể gây kích ứng hoặc dị ứng với một số người có cơ địa nhạy cảm. Theo thời gian, quá trình oxy hóa kim loại cũng dễ gây ra tình trạng đen viền nướu.

Răng sứ kim loại Titan 

Đây là một lựa chọn nâng cấp hơn. Titan là vật liệu có tính tương hợp sinh học cao, được sử dụng rộng rãi trong y tế. 

Trồng răng sứ kim loại Titan giúp giảm đáng kể nguy cơ kích ứng nướu và ít bị oxy hóa hơn so với hợp kim Ni-Cr. Mão sứ Titan cũng nhẹ hơn, mang lại cảm giác thoải mái hơn cho người dùng 

Răng sứ kim loại Crom-Cobalt (Co-Cr)

Hợp kim Crom-Cobalt không chứa Niken, do đó hoàn toàn loại bỏ nguy cơ dị ứng liên quan đến kim loại này. Nó có độ cứng và độ bền cao, khả năng chống mài mòn tốt và ít bị biến dạng dưới lực nhai. 

Răng sứ Co-Cr là một lựa chọn an toàn, thường được các chuyên gia tại các tổ chức như Viện ITI (International Team for Implantology) khuyên dùng cho các phục hình cầu răng dài.

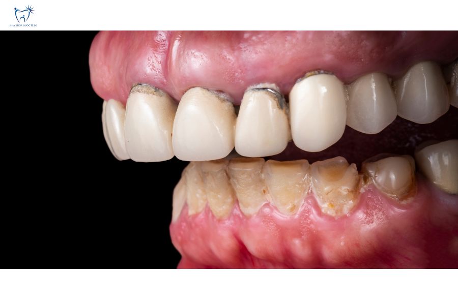
Ưu nhược điểm của răng sứ kim loại

Răng sứ kim loại có khả năng đen viền nướu

Răng sứ kim loại có khả năng đen viền nướu

Để đưa ra quyết định đúng đắn, bạn cần cân nhắc kỹ lưỡng các ưu và nhược điểm của phương pháp này.

Ưu điểm:

  • Chi phí hợp lý: So với răng toàn sứ, răng sứ kim loại có giá thành thấp hơn đáng kể, phù hợp với ngân sách của nhiều người.
  • Độ bền cao: Khung sườn kim loại cung cấp khả năng chịu lực ăn nhai rất tốt, đặc biệt phù hợp cho các răng hàm phía trong. Một nghiên cứu cho thấy tỷ lệ thành công của mão PFM sau 5 năm là trên 95%.
  • Bảo vệ mô răng tốt: Mão răng bao bọc hoàn toàn phần răng thật còn lại, bảo vệ nó khỏi sâu răng và các tác nhân gây hại khác.

Nhược điểm:

  • Thẩm mỹ hạn chế: Do có lớp sườn kim loại bên trong, mão răng sứ kim loại không có độ trong và màu sắc tự nhiên như răng toàn sứ. Ánh kim loại có thể bị lộ ra ở vùng viền nướu, đặc biệt dưới ánh sáng mạnh.
  • Gây đen viền nướu: Đây là nhược điểm phổ biến nhất. Sau một thời gian sử dụng, các ion kim loại từ khung sườn có thể bị oxy hóa và ngấm vào mô nướu, gây ra một đường viền sẫm màu kém thẩm mỹ.
  • Tiềm ẩn nguy cơ kích ứng: Hợp kim Ni-Cr có thể gây phản ứng dị ứng ở những bệnh nhân có cơ địa nhạy cảm với Niken..

Có nên bọc răng sứ kim loại không?

Bọc răng sứ kim loại là một giải pháp hiệu quả về mặt chi phí và chức năng, nhưng không phải lúc nào cũng là lựa chọn tối ưu. Việc này phụ thuộc vào vị trí răng cần phục hình, yêu cầu thẩm mỹ, tình trạng sức khỏe răng miệng và ngân sách của bạn.

Các trường hợp có thể cân nhắc bọc răng sứ kim loại:

  • Phục hình răng hàm: Các răng cối ở phía trong chịu trách nhiệm chính cho việc ăn nhai và không đòi hỏi thẩm mỹ cao. Độ bền của răng sứ kim loại là một lợi thế lớn ở vị trí này.
  • Ngân sách hạn chế: Khi chi phí là yếu tố quyết định hàng đầu, đây là một lựa chọn khả thi để phục hồi chức năng và bảo vệ răng.
  • Làm trụ cho cầu răng: Nhờ độ cứng cao, mão sứ kim loại thường được sử dụng làm trụ cho các cầu răng dài để phục hồi nhiều răng đã mất.

Các trường hợp không nên bọc răng sứ kim loại:

  • Phục hình răng cửa: Vùng răng trước đòi hỏi tính thẩm mỹ cao. Răng sứ kim loại dễ lộ viền đen và có màu sắc không trong tự nhiên, làm ảnh hưởng đến nụ cười. Răng toàn sứ (như Emax hay Zirconia) là lựa chọn ưu việt hơn.
  • Người có tiền sử dị ứng kim loại: Nếu bạn bị dị ứng với Niken hoặc các kim loại khác, nên tránh hoàn toàn răng sứ kim loại thường để phòng ngừa các phản ứng như viêm nướu, sưng tấy.
  • Nướu bị viêm, tình trạng nha chu tồi tệ: Nên điều trị bệnh răng miệng triệt để trước khi thực hiện thẩm mỹ.

Cách chăm sóc để tăng tuổi thọ cho răng sứ kim loại

Chăm sóc tốt giúp răng sứ kéo dài tuổi thọ

Chăm sóc tốt giúp răng sứ kéo dài tuổi thọ

Tuổi thọ của răng sứ kim loại có thể kéo dài từ 7-10 năm hoặc hơn nếu được chăm sóc đúng cách. Dưới đây là những hướng dẫn từ các chuyên gia nha khoa:

  • Vệ sinh răng miệng kỹ lưỡng: Chải răng ít nhất hai lần mỗi ngày bằng bàn chải lông mềm và kem đánh răng chứa flour. Đặc biệt chú ý làm sạch vùng viền nướu nơi tiếp xúc với mão răng.
  • Sử dụng chỉ nha khoa hoặc máy tăm nước: Làm sạch kẽ răng hàng ngày để loại bỏ mảng bám, ngăn ngừa viêm nướu và sâu răng ở chân răng thật bên trong.
  • Tránh thực phẩm quá cứng hoặc dai: Mặc dù răng sứ kim loại bền, việc cắn các vật quá cứng (nước đá, xương, càng cua) có thể làm mẻ lớp sứ bên ngoài.
  • Hạn chế thực phẩm và đồ uống sẫm màu: Cà phê, trà, rượu vang đỏ có thể làm lớp sứ bị nhiễm màu theo thời gian.
  • Thăm khám nha khoa định kỳ: Kiểm tra và cạo vôi răng mỗi 6 tháng một lần để nha sĩ đánh giá tình trạng của mão răng, nướu và đảm bảo khớp cắn vẫn ổn định.

Chi phí bọc răng sứ kim loại tham khảo

Chi phí bọc răng sứ kim loại thường là một trong những lựa chọn tiết kiệm nhất trong các loại phục hình sứ. Mức giá có thể dao động tùy thuộc vào loại hợp kim, tay nghề của bác sĩ và chính sách của từng nha khoa.

Loại Răng SứGiá Tham Khảo (VNĐ/Răng)Thời Gian Bảo Hành
Sứ kim loại thường (Cr-Co)1.000.000 – 2.500.0003 – 5 năm
Sứ kim loại Crom-Cobalt1.000.000 – 3.000.0003 – 5 năm
Sứ kim loại Titan2.500.000 – 3.500.0005 – 7 năm

Tuy nhiên, với sự phát triển của công nghệ, nhiều khách hàng hiện nay có xu hướng lựa chọn răng toàn sứ vì những ưu điểm vượt trội về thẩm mỹ và tính tương hợp sinh học, dù chi phí có cao hơn. Răng toàn sứ loại bỏ hoàn toàn các nhược điểm của răng sứ kim loại như đen viền nướu hay nguy cơ kích ứng.

Nha khoa bọc sứ uy tín tại TP.HCM

Bác sĩ thực hiện dán Veneer tại Nha Khoa Quốc Tế SG

Bác sĩ thực hiện dán Veneer tại Nha Khoa Quốc Tế SG

Việc lựa chọn một địa chỉ nha khoa uy tín là yếu tố quyết định đến sự thành công và an toàn của khi bọc răng sứ. Nha Khoa Quốc Tế SG tự hào là một trong những trung tâm nha khoa hàng đầu tại TP.HCM, đáp ứng đầy đủ các tiêu chí khắt khe nhất.

  • Đội ngũ bác sĩ chuyên môn cao: Các bác sĩ có nhiều năm kinh nghiệm, được đào tạo chuyên sâu về phục hình thẩm mỹ.
  • Công nghệ hiện đại: Hệ thống CAD/CAM, máy chụp phim CT Cone Beam 3D giúp quá trình chẩn đoán và chế tác răng sứ chính xác tuyệt đối.
  • Vật liệu chính hãng: Cam kết sử dụng các loại phôi sứ và hợp kim có nguồn gốc rõ ràng, đạt chứng nhận quốc tế.
  • Quy trình vô trùng tuyệt đối: Tuân thủ nghiêm ngặt các tiêu chuẩn của Bộ Y tế để đảm bảo an toàn cho khách hàng.
  • Chính sách bảo hành rõ ràng: Mọi dịch vụ răng sứ đều đi kèm với chính sách bảo hành lâu dài, mang lại sự yên tâm cho khách hàng.

Câu hỏi thường gặp (FAQ)

Răng sứ kim loại dùng được bao lâu?

Răng sứ kim loại có tuổi thọ trung bình từ 5 đến 10 năm. Tuy nhiên, thời gian sử dụng thực tế phụ thuộc rất nhiều vào các yếu tố như kỹ thuật của bác sĩ, chất lượng vật liệu, cơ địa của mỗi người và quan trọng nhất là chế độ chăm sóc răng miệng hàng ngày.

Làm răng sứ kim loại có bị hôi miệng không?

Bản thân vật liệu răng sứ kim loại không gây hôi miệng. Tình trạng hôi miệng nếu có thường xuất phát từ hai nguyên nhân chính: mão răng không được lắp khít với cùi răng thật tạo ra kẽ hở cho thức ăn và vi khuẩn tích tụ, hoặc do vệ sinh răng miệng không kỹ lưỡng, đặc biệt là ở vùng kẽ răng và viền nướu.

Khắc phục tình trạng đen viền nướu như thế nào? 

Tình trạng đen viền nướu do quá trình oxy hóa kim loại là không thể khắc phục. Giải pháp duy nhất là thay thế mão răng sứ kim loại cũ bằng mão răng toàn sứ. Răng toàn sứ không chứa kim loại nên sẽ hoàn toàn loại bỏ được hiện tượng này.

Răng sứ kim loại có gây kích ứng không?

Có khả năng, đặc biệt là răng sứ kim loại thường Ni-Cr. Niken là một trong những kim loại phổ biến gây dị ứng. Các triệu chứng có thể bao gồm nướu bị sưng đỏ, ngứa hoặc có cảm giác nóng rát. Để an toàn, những người có cơ địa nhạy cảm nên lựa chọn răng sứ kim loại Titan, Crom-Cobalt hoặc tốt nhất là răng toàn sứ.