“Bọc răng sứ titan có bị đen không?” Đây chắc chắn là câu hỏi lớn nhất khiến nhiều người băn khoăn khi cân nhắc giải pháp phục hình răng này. Với chi phí hợp lý, răng sứ Titan từng là lựa chọn phổ biến. Tuy nhiên, nỗi lo về việc viền nướu bị thâm đen sau một thời gian sử dụng là hoàn toàn có cơ sở.
Bọc răng sứ Titan có bị đen viền nướu không?

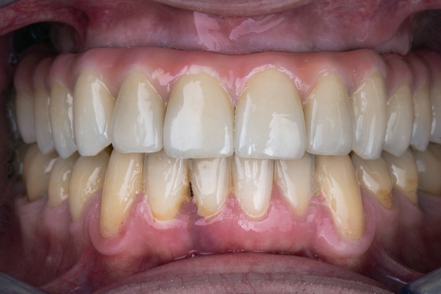
Răng sau khi bọc răng sứ Titan
Theo ThS. BS Lê Quang Tuấn: “Câu trả lời thẳng thắn là CÓ.
Về bản chất, răng sứ Titan có cấu tạo gồm 2 lớp: lớp sườn bên trong làm từ hợp kim Titan (chứa từ 4-6% Titan, còn lại là Niken, Crom…) và lớp sứ phủ bên ngoài. Chính sự hiện diện của khung kim loại này là nguyên nhân cốt lõi. Dưới tác động của axit trong nước bọt và thực phẩm, khung kim loại sẽ bị oxy hóa, các ion kim loại dần giải phóng và làm nhiễm màu vùng nướu chân răng, gây ra vệt đen thiếu thẩm mỹ mà chúng ta thường thấy.”
Nguyên nhân khiến răng sứ Titan bị đen
Hiểu rõ nguyên nhân sẽ giúp bạn biết tại sao đây là vấn đề thường xuyên xảy ra của dòng sứ này và tại sao thay thế là giải pháp duy nhất.
Quá trình Oxy hóa khung sườn kim loại
Đây là nguyên nhân không thể tránh khỏi. Môi trường khoang miệng luôn có tính axit (từ thức ăn, nước bọt).
Theo một nghiên cứu trên tạp chí Journal of Dental Materials, các hợp kim như Niken-Crom có xu hướng bị ăn mòn và giải phóng ion kim loại khi tiếp xúc với môi trường axit kéo dài. Hợp kim của răng sứ Titan cũng không ngoại lệ.
Axit trong miệng → Phản ứng oxy hóa-khử → Ăn mòn khung kim loại → Giải phóng ion kim loại → Nhiễm màu mô nướu → Viền nướu thâm đen.
Kỹ thuật phục hình của bác sĩ không chuẩn xác
Tay nghề của bác sĩ ảnh hưởng trực tiếp đến tuổi thọ và thẩm mỹ của răng sứ.
- Mài cùi răng không đúng tỷ lệ: Khiến mão sứ không ôm khít, tạo ra khe hở cho vi khuẩn và thức ăn tích tụ, đẩy nhanh quá trình oxy hóa.
- Lắp mão sứ dưới nướu quá sâu: Gây kích ứng, viêm nướu, tụt nướu, làm lộ phần viền kim loại ra ngoài.
- Sử dụng chất gắn kém chất lượng: Theo thời gian, chất gắn có thể bị hòa tan, tạo vi kẽ hở giữa cùi răng và mão sứ.
Chăm sóc răng miệng sai cách và do cơ địa

Đánh răng đúng cách sau khi bọc răng sứ Titan
Mặc dù không phải nguyên nhân chính, yếu tố này có thể đẩy nhanh quá trình đen viền nướu.
- Vệ sinh kém: Mảng bám tích tụ quanh viền nướu làm tăng nồng độ axit, thúc đẩy quá trình ăn mòn kim loại.
- Bệnh lý răng miệng: Viêm nướu, viêm nha chu gây tụt lợi, làm lộ bờ viền mão sứ.
- Cơ địa dị ứng kim loại: Một số người có cơ địa nhạy cảm với kim loại Niken (thành phần có trong hợp kim Titan) có thể gây viêm, kích ứng và làm thâm vùng nướu.
Bọc răng sứ Titan bao lâu thì bị đen?
Không có con số cụ thể vì thời gian xuất hiện đen viền phụ thuộc vào từng cơ địa, chất lượng vật liệu, kỹ thuật thực hiện và việc chăm sóc răng. Tuy nhiên, dựa trên các phân tích và chia sẻ thực tế:
- Nhiều nha khoa cho rằng thường giữa 5 – 7 năm sau khi lắp răng sứ Titan là thời điểm dễ xuất hiện dấu hiệu viền đen.
- Trong thực tế, có trường hợp sớm hơn (3–4 năm) nếu kỹ thuật và quy trình bọc răng sứ Titan không tốt hoặc lộ hở lớn, hoặc muộn hơn (8–10 năm) nếu chế tác rất tốt và bảo dưỡng nghiêm ngặt.
Tóm lại: nếu bạn làm răng sứ Titan ở một nha khoa uy tín, kỹ thuật tốt và chăm sóc đúng cách, độ bền răng sứ Titan có thể kéo dài 7 năm trở lên mới thấy dấu hiệu viền đen; nếu không, có thể xuất hiện sớm hơn.
Dấu hiệu nhận biết răng sứ Titan bị đen viền

Mô hình răng sứ Titan thực tế tại nha khoa
Khi sử dụng răng sứ Titan, bạn cần tự quan sát hoặc kiểm tra nha sĩ nếu thấy những dấu hiệu sau:
- Viền nướu sát cổ răng xuất hiện đường màu xám/đen (nhất là khi soi gương dưới ánh sáng mạnh). Ánh sáng chiếu qua mão sứ thấy bóng kim loại hoặc vùng tối bên trong.
- Phần cổ răng sát nướu có màu đục, xỉn hơn phần mặt răng phía ngoài.
- Răng có cảm giác “bóng kim loại” khi soi đèn chiếu ngang.
- Màu răng thay đổi cục bộ (không đều) — vùng sát nướu sẫm hơn so với phần ngoài.
- Nướu có dấu hiệu viêm nhẹ hoặc tụt nếu có viêm, hoặc bị hóp nếu phần viền răng bị hở.
Nếu bạn phát hiện bất kỳ dấu hiệu nào kể trên, nên thăm nha sĩ để kiểm tra độ khít, tình trạng mão sứ & nướu, chụp X-quang nếu cần.
>>>Khám phá ngay: Hướng Dẫn Chi Tiết Cách Chăm Sóc Răng Sứ Titan
Giải pháp khắc phục bọc sứ Titan bị đen

Thay thế răng sứ mới khi bọc răng sứ Titan bị đen
Hiện tại, giải pháp duy nhất và hiệu quả nhất được bác sĩ Lê Quang Tuấn tại Nha Khoa Quốc Tế SG khuyến nghị là thay thế răng sứ Titan bằng răng toàn sứ cao cấp.
Bởi vì răng toàn sứ có tính thẩm mỹ cao, không gây đen viền nướu do hoàn toàn không chứa kim loại.
Bên cạnh đó, để kéo dài tuổi thọ răng sứ và hạn chế đen viền, khách hàng cần lưu ý:
- Vệ sinh răng miệng đúng cách, sử dụng chỉ nha khoa và nước súc miệng kháng khuẩn
- Kiểm tra răng định kỳ 6 tháng/lần để phát hiện và xử lý kịp thời viêm nướu
- Hạn chế hút thuốc, ăn các thực phẩm gây màu
- Tránh cắn vật cứng gây hở miệng răng
Có nên chọn răng sứ Titan hay không?

Tùy nhu cầu sử dụng để chọn loại răng sứ phù hợp
Răng sứ Titan có tốt không? Mặc dù được ưa chuộng do có chi phí thấp, trọng lượng nhẹ và độ bền khá tốt. Tuy nhiên, nó cũng thường gây ra các vấn đề như:
- Nguy cơ đen viền nướu sau thời gian sử dụng
- Không hoàn toàn phù hợp với khách hàng nhạy cảm với kim loại hoặc nha chu yếu
- Tính thẩm mỹ không bằng răng toàn sứ trong các trường hợp cần màu sắc trắng sáng tự nhiên
Do vậy, răng sứ Titan phù hợp với khách hàng cần giải pháp kinh tế, không quá quan tâm đến tính thẩm mỹ lâu dài. Nếu ưu tiên vẻ đẹp thẩm mỹ và hạn chế tác động viền nướu, bác sĩ Lê Quang Tuấn khuyên nên chọn răng toàn sứ.
Nha Khoa Quốc Tế SG – Địa chỉ bọc răng sứ uy tín tại Quận 10

Bác sĩ gắn răng sứ tại Nha Khoa Quốc Tế SG
HÃY ĐỂ CHUYÊN GIA GIẢI ĐÁP MỌI THẮC MẮC CỦA BẠN VỀ NHA KHOA QUỐC TẾ SG
Tư vấn Hoàn toàn Miễn phí - Giải đáp tức thì Hỗ trợ tận tâm Chính xác

Lựa chọn một nha khoa uy tín với đội ngũ bác sĩ chuyên môn cao là yếu tố quyết định 80% sự thành công của một ca bọc răng sứ thẩm mỹ. Nha Khoa Quốc Tế SG tự hào là địa chỉ đáng tin cậy, giúp bạn sở hữu nụ cười tự tin và bền đẹp.
Tại sao nên chọn chúng tôi?
- Chuyên gia hàng đầu: Được trực tiếp thăm khám và điều trị bởi ThS. BS Lê Quang Tuấn với hơn 15 năm kinh nghiệm.
- Vật liệu chính hãng: Cam kết 100% sứ được nhập khẩu từ Đức, Mỹ, có thẻ bảo hành và mã code để kiểm tra nguồn gốc.
- Công nghệ hiện đại: Hệ thống chẩn đoán hình ảnh CT Cone Beam, công nghệ thiết kế nụ cười Digital Smile Design, chế tác răng sứ CAD/CAM.
- Minh bạch chi phí: Tư vấn rõ ràng về chi phí, không phát sinh trong quá trình điều trị.
- Chính sách bảo hành: Bảo hành chính hãng lâu dài, đồng hành cùng nụ cười của bạn.
Hãy liên hệ ngay để được tư vấn giải pháp phù hợp nhất:
Nha Khoa Quốc Tế SG – Địa điểm Nha Khoa Uy Tín Quận 10, HCM
- Địa chỉ: 132 Đường 3/2, Phường 12, Quận 10, TP.HCM
- Hotline: 0902.759.406 – 0396.877.518
- Email: sgnhakhoaquocte@gmail.com
- Website: nhakhoaquoctesg.vn
- Youtube: youtube.com/@sgdental.official
- Instagram: instagram.com/sgdental.official/
- Liên hệ ngay Nha Khoa Quốc Tế SG
- Cảm nhận khách hàng tại Nha Khoa Quốc Tế SG
Nguồn Tham Khảo và Trích Dẫn
- Wataha, J. C. (2002). “Corrosion of dental alloys”. Journal of Dental Materials
https://pubmed.ncbi.nlm.nih.gov/11750017/
- Schmalz, G., & Garhammer, P. (2002). “Biological interactions of dental cast alloys with oral tissues”. Dental Materials
https://www.sciencedirect.com/science/article/abs/pii/S010956410100054X
- American Dental Association (ADA). “Dental Materials – Patient Resources”
https://www.ada.org/resources/topics/dental-materials
>>>Khám phá ngay các bài viết liên quan:
