Răng sứ laminate là giải pháp thẩm mỹ nha khoa tiên tiến nhất hiện nay, giúp bạn sở hữu nụ cười hoàn hảo với lớp sứ siêu mỏng chỉ 0.3 – 0.5mm. Được phát triển từ những năm 1980, công nghệ Laminate đã cách mạng hóa nha khoa thẩm mỹ với tỷ lệ thành công 95.5% sau 10 năm theo nghiên cứu khoa học.
Bảng Thông Tin Nhanh
| Tiêu chí | Thông tin |
| Độ mỏng | 0.3-0.5mm (mỏng hơn 50% so với bọc sứ truyền thống) |
| Tuổi thọ trung bình | 10-20 năm |
| Tỷ lệ thành công 10 năm | 95.5% |
| Giá tại Việt Nam | 6-15 triệu VNĐ/răng (tùy loại sứ) |
| Thời gian hoàn thành | 7-14 ngày (2-3 lần khám) |
| Mài răng | Tối thiểu hoặc không cần mài |
Dán Răng Sứ Laminate Là Gì?

Cận cảnh mặt dán sứ Laminate Veneer siêu mỏng có độ trong tự nhiên
Dán răng sứ Laminate là kỹ thuật nha khoa thẩm mỹ sử dụng mặt dán sứ siêu mỏng (khoảng 0.3mm – 0.5mm) gắn lên bề mặt ngoài của răng thật. Phương pháp này giúp che đi khuyết điểm màu sắc và hình dáng mà chỉ cần mài răng rất ít hoặc không cần mài, bảo tồn tối đa men răng tự nhiên.
Lịch Sử Phát Triển Công Nghệ Laminate
Công nghệ laminate trải qua hành trình phát triển đáng kinh ngạc:
1928-1930s: Khởi nguồn tại Hollywood
- Nha sĩ Charles Pincus (California) phát minh veneer acrylic đầu tiên năm 1928 cho các diễn viên Hollywood (Wikipedia, 2025)
- Ban đầu chỉ giữ được vài giờ, dùng keo dán răng sứ tạm thời
- Năm 1938, Dr. Pincus công bố nghiên cứu “Building Mouth Personality” trên Journal of the California Dental Association
1959: Bước ngoặt kỹ thuật
- Dr. Michael Buonocore phát minh kỹ thuật ăn mòn acid (acid etching), tạo bề mặt gắn kết tốt hơn cho răng
- Đây là nền tảng cho mọi kỹ thuật dán sứ hiện đại
1982-1985: Cách mạng Laminate hiện đại
- R.J. Simonsen và J.R. Calamia kết hợp nghiên cứu của Buonocore và Pincus phát hiện có thể ăn mòn sứ bằng hydrofluoric acid để tạo liên kết vĩnh viễn
- Calamia công bố kỹ thuật chế tác và gắn laminate etched porcelain (Hindawi, 2016)
2010-nay: Kỷ nguyên Lithium Disilicate
- IPS e.max (Ivoclar Vivadent) ra đời với độ bền gấp 3-4 lần sứ truyền thống
- Công nghệ no-prep/minimal-prep: Không cần hoặc mài răng tối thiểu
- Zirconia laminate cho độ bền cao nhất
Cấu Trúc Của Răng Sứ Laminate

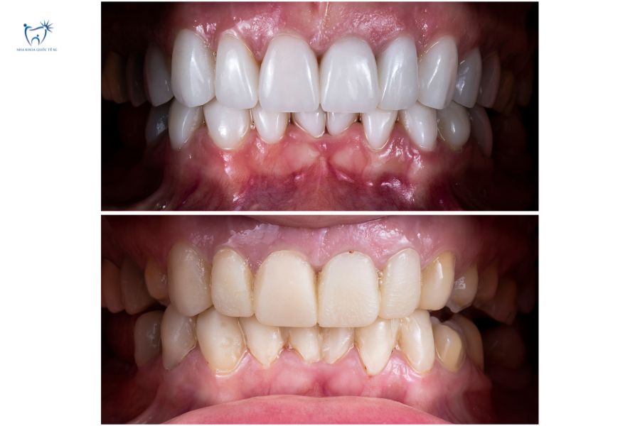
Hình ảnh trước và sau khi dán Laminate
Răng sứ laminate hoạt động như một hệ thống 3 lớp phối hợp:
Lớp Sứ Ceramic Bên Ngoài
Chức năng:
- Tạo màu sắc và hình dạng thẩm mỹ
- Chống mài mòn và ố màu
- Phản xạ ánh sáng tự nhiên như men răng thật
Vật liệu phổ biến:
- Feldspathic porcelain: Độ trong cao nhất, thẩm mỹ tuyệt đỉnh
- Lithium disilicate (Emax): Cân bằng giữa thẩm mỹ và độ bền (360-400 MPa flexural strength)
- Zirconia: Độ bền cao nhất, che phủ màu tốt
Lớp Kết Dính
Thành phần:
- Keo composite dạng lỏng hoặc dạng bột được đặt giữa sứ và bề mặt răng
- Đòi hỏi kỹ thuật gắn keo chính xác để đạt độ bền cao nhất
- Được chiếu ánh sáng xanh (photopolymerization) để đông cứng
Vai trò quan trọng:
- Tạo liên kết vĩnh viễn giữa sứ và men răng
- Lấp đầy vi khe, tăng độ bền kéo và chống gãy
- Điều chỉnh sắc thái màu cuối cùng
Theo Cleveland Clinic, lớp kết dính chính là yếu tố quyết định tuổi thọ laminate.
Lớp Men Răng Tự Nhiên
Chuẩn bị bề mặt:
- Làm sạch bằng pumice không chứa fluoride
- Ăn mòn men răng bằng phosphoric acid 37% trong 15-30 giây
- Tạo bề mặt vi nhám tăng diện tích tiếp xúc
Tầm quan trọng:
- Duy trì độ ẩm tự nhiên của răng
- Bảo tồn cấu trúc răng lâu dài
Răng Sứ Laminate Có Tốt Không?
Răng sứ laminate RẤT TỐT với tỷ lệ thành công 95.5% sau 10 năm theo nghiên cứu trên 6,500 ca. Ưu điểm: thẩm mỹ tự nhiên, bảo tồn răng thật, độ bền cao 10-20 năm, không ố vàng. Nhược điểm: chi phí cao 6-15 triệu/răng, không thể tẩy trắng sau này, cần chăm sóc cẩn thận.
Ưu Điểm Vượt Trội
Độ tự nhiên cao giống với răng thật

Dán sứ Laminate tự nhiên giống răng thật
- Sứ laminate có độ trong tương tự men răng tự nhiên
- Phản xạ ánh sáng giống răng thật 98%
- Không có đường viền kim loại xám như sứ kim loại
Bảo tồn răng thật tối đa
- Chỉ mài 0.3-0.5mm men răng (so với bọc sứ: 1.5-2mm)
- Giữ nguyên cấu trúc răng, tránh yếu răng lâu dài
- Kỹ thuật “no-prep” có thể không cần mài răng (American Dental Association)
Độ bền và tuổi thọ cao
- Tuổi thọ trung bình: 10-20 năm với chăm sóc đúng cách
- Tỷ lệ thành công sau 10 năm: 95.5%
- Tỷ lệ thành công sau 5 năm: 94.4-98%
Chống ố vàng và ố màu
- Sứ porcelain không hấp thụ màu như răng thật
- Không bị ố vàng từ cà phê, trà, rượu vang đỏ
- Giữ màu ổn định suốt nhiều năm
An toàn sinh học
- Không gây kích ứng nướu
- Không gây dị ứng (không chứa kim loại)
- Tương thích sinh học cao với mô nướu
Nhược Điểm Cần Lưu Ý
Chi phí cao
- Giá 6-15 triệu VNĐ/răng tại Việt Nam (tùy loại sứ)
- Đắt hơn 2-3 lần so với bọc sứ thông thường
- Không được bảo hiểm y tế chi trả (vì là thẩm mỹ)
Không phù hợp mọi trường hợp

Răng đã lấy tủy không nên dán sứ Laminate
- Không nên làm nếu:
- Nghiến răng, nghiến răng nghiêm trọng
- Răng đã lấy tủy/răng chết (tăng nguy cơ thất bại 7.7 lần)
- Sâu răng hoặc bệnh nha chu chưa điều trị
Có thể gãy, vỡ nếu chịu lực quá mức
- Tỷ lệ gãy: 44.83% trong số các trường hợp thất bại
- Cần tránh cắn đồ cứng, đá lạnh, vỏ hạt
Không thể tẩy trắng răng sứ
- Sứ không phản ứng với chất tẩy trắng
- Nếu muốn trắng hơn, phải thay toàn bộ laminate
>>>Xem thêm: Ưu và Nhược điểm khi Dán răng sứ Veneer: Có nên làm không?
So Sánh Với Các Phương Pháp Khác
| Tiêu chí | Laminate | Bọc sứ | Implant |
| Độ mỏng | 0.3 – 0.5mm | 1.5-2mm | Không áp dụng |
| Mài răng | Tối thiểu | Nhiều | Không (cấy trụ) |
| Tuổi thọ | 10-20 năm | 10-15 năm | 20-25+ năm |
| Thẩm mỹ | Cao nhất | Cao | Rất cao |
| Giá (VN) | 6-15 triệu | 3-8 triệu | 20-40 triệu |
| Bảo tồn răng | Cao | Trung bình | Không (thay răng) |
| Chỉ định | Răng còn tốt | Răng yếu/sâu nhiều | Mất răng |
Răng Sứ Laminate Giá Bao Nhiêu?
Bảng Giá Laminate Tại Việt Nam 2025
Loại sứ Laminate | Giá/răng (VNĐ) | Xuất xứ | Ưu điểm chính |
| Feldspathic Porcelain | 6 – 9 triệu | Đức, Mỹ | Thẩm mỹ cực cao, độ trong tự nhiên |
| Lithium Disilicate (Emax) | 10 – 15 triệu | Thụy Sĩ (Ivoclar Vivadent) | Cân bằng thẩm mỹ-độ bền |
| Zirconia Laminate | 12 – 18 triệu | Đức, Nhật | Độ bền cao nhất, che màu tốt |
| Lava Esthetic (3M) | 13 -1 6 triệu | Mỹ | Công nghệ cao, màu sắc tự nhiên |
Lưu ý: Giá trên là ước tính trung bình tại TP.HCM, có thể biến động ±20% tùy phòng khám
So Sánh Giá Việt Nam Với Các Nước Khác
| Quốc gia | Giá/răng | Ghi chú |
| Việt Nam | $400 – 600 (10-15 triệu) | Chất lượng tốt, giá cạnh tranh |
| Thái Lan | $300 – 500 | Phổ biến với khách du lịch nha khoa |
| Mỹ | $1,200 – 2,000 (Schwimmer Dental, 2025) | Đắt nhất, bảo hiểm thường không chi trả |
| Úc | $1,000 – 1,800 | Cao do chi phí sinh hoạt |
| Thổ Nhĩ Kỳ | $250 – 400 | Rẻ nhất, nhiều phòng khám quốc tế |
Chi Phí Ẩn Cần Lưu Ý
Khi làm laminate, bạn cần tính thêm các chi phí sau:
Phí Thiết Kế 3D: 500k – 2 triệu VNĐ
- Scan 3D kỹ thuật số (intraoral scanner)
- Thiết kế nụ cười với phần mềm DSD (Digital Smile Design)
- Mô phỏng kết quả trước khi làm
Phí Thử Răng: Miễn phí – 1 triệu VNĐ
- Dùng try-in paste kiểm tra màu sắc
- Làm răng tạm (temporary veneers) trong thời gian chờ
- Một số phòng khám miễn phí, một số tính thêm
Phí Tái Khám: Thường miễn phí
- Hầu hết phòng khám bao gồm 2-3 lần tái khám sau gắn
- Theo dõi, điều chỉnh cắn khớp
Phí Sửa Chữa Nếu Vỡ: 30-50% giá gốc
- Nếu laminate bị vỡ/gãy, phải làm lại hoàn toàn
- Chi phí thường 3-7.5 triệu VNĐ/răng (30-50% giá ban đầu)
- Kiểm tra bảo hành của phòng khám trước khi làm
Các Gói Ưu Đãi Phổ Biến
Nhiều nha khoa tại Việt Nam cung cấp gói giảm giá khi làm nhiều răng:
Gói 4 răng (4 răng cửa trên):
- Giảm 10-15%
- Giá: 32-48 triệu (thay vì 40-60 triệu)
Gói 6-8 răng (Smile line – vùng cười):
- Giảm 15-20%
- Giá: 68-108 triệu (thay vì 80-120 triệu)
Gói Full hàm (16-20 răng):
- Giảm 20-25%
- Giá: 120-180 triệu (thay vì 160-240 triệu)
- Bao gồm thiết kế DSD và răng tạm
Khuyến mãi theo mùa:
- Tháng khuyến mãi (thường 6-8/năm)
- Sinh nhật, 20/10, Tết
- Ưu đãi giới thiệu bạn bè: 5-10%
Răng Sứ Laminate Có Bền Không?
Độ bền của laminate đã được chứng minh qua nhiều nghiên cứu lâm sàng quy mô lớn:
Nghiên cứu của Alenezi et al. (2021) trên 6,500 răng laminate từ 25 nghiên cứu lâm sàng cho kết quả:
- Tỷ lệ tồn tại sau 5 năm: 94.4-98%
- Tỷ lệ tồn tại sau 10 năm: 95.5% (MDPI, 2021)
- Tỷ lệ tồn tại sau 15 năm: 85-91%
- Tỷ lệ tồn tại sau 20 năm: 82.93-91% (Beier et al., 2012)
Nghiên Cứu Dài Hạn Khác
BMC Oral Health (2022) – Nghiên cứu 358 laminate Emax:
- Tỷ lệ sống sót sau 10 năm: ≥99.7% (Demirekin & Turkaslan, 2022)
- Chỉ 3 trường hợp thất bại trong 10 năm
Review 2024 (PMC):
- Laminate có tỷ lệ sống sót >90% sau 10 năm (Alghazzawi, 2024)
- Cao hơn composite veneer (85-88% sau 10 năm)
Yếu Tố Ảnh Hưởng Đến Độ Bền
Thói Quen Nghiến Răng (Bruxism)
Tác động nghiêm trọng:
- Tăng nguy cơ thất bại 7.7 lần (Beier et al., 2012)
- Gây vỡ, nứt laminate ở mép cắn
Giải pháp:
- Đeo khay bảo vệ răng khi ngủ
- Điều trị stress, căng thẳng
- Xem xét chọn Zirconia thay vì Feldspathic
Tình Trạng Răng
Răng đã chết/lấy tủy:
- Tăng nguy cơ thất bại đáng kể
- Răng yếu hơn, dễ gãy dưới áp lực
Khuyến nghị:
- Cân nhắc bọc sứ thay vì laminate cho răng đã lấy tủy
- Nếu vẫn muốn laminate, cần tăng cường độ dày
Kỹ Thuật Gắn Kết
Yếu tố quan trọng:
- Gắn trên men răng: Độ bền cao
- Gắn trên ngà răng (dentin): Độ bền giảm 70-80%
- Kỹ thuật ăn mòn sứ bằng hydrofluoric acid: Tăng độ bám dính
Loại Sứ Sử Dụng
Theo nghiên cứu (Alenezi et al., 2021):
- Non-feldspathic (Emax, Zirconia): Độ bền cao hơn
- Feldspathic porcelain: Thẩm mỹ cao nhất nhưng dễ vỡ hơn
Phủ Mép Cắn (Incisal Coverage)
Laminate phủ mép cắn:
- Giảm nguy cơ thất bại
- Phân bố lực cắn tốt hơn
Laminate không phủ mép:
- Tăng nguy cơ bong tróc ở viền
Chế Độ Chăm Sóc
Chăm sóc đúng cách kéo dài tuổi thọ:
- Vệ sinh răng miệng 2 lần/ngày
- Tái khám định kỳ 6 tháng/lần
- Tránh cắn đồ cứng (đá lạnh, xương, vỏ hạt)
- Không dùng răng làm công cụ (mở nắp chai, cắt băng keo)
So Sánh Độ Bền: Laminate, Bọc Sứ và Implant
| Phương pháp | Tuổi thọ trung bình | Tỷ lệ thành công 10 năm | Nguy cơ chính |
| Laminate | 10 – 20 năm | 95.5% | Gãy (44.83%), bong tróc |
| Bọc sứ | 10 – 15 năm | 92-94% | Sâu răng thứ phát, viêm nướu |
| Implant | 20 – 25+ năm | 95-97% | Mất xương, viêm quanh implant |
| Composite veneer | 4 – 7 năm | 85-88% | Ố màu, mẻ, mài mòn |
Kết luận: Laminate có độ bền tương đương implant trong 10 năm đầu, cao hơn bọc sứ và composite veneer.
So sánh răng Sứ Laminate và Veneer?
Giải Đáp Nhầm Lẫn Phổ Biến
Sự thật: Tại Việt Nam và nhiều nước, “laminate” và “dán sứ veneer” thường được dùng hoán đổi và ám chỉ cùng một công nghệ.
Tuy nhiên, về mặt kỹ thuật chuyên sâu trong nha khoa quốc tế:
Veneer Truyền Thống
Đặc điểm:
- Độ dày: 0.6-1.0mm
- Cần mài răng nhiều hơn: 0.5-1.5mm men răng
- Kỹ thuật cũ hơn (phổ biến từ 1980s-2000s)
- Thường phủ cả mép cắn
Laminate Hiện Đại
Đặc điểm:
- Độ dày: 0.3-0.5mm (mỏng hơn 40-50%)
- Kỹ thuật “No-prep” hoặc “Minimal prep”: Mài rất ít hoặc không cần mài
- Công nghệ mới hơn (phổ biến từ 2010s)
- Sứ lithium disilicate hoặc zirconia siêu mỏng
- Bảo tồn răng tối đa
Ví dụ thương hiệu:
- Lumineers®: Loại laminate siêu mỏng 0.2-0.3mm, không cần mài răng
- IPS e.max Ceram: Laminate Emax độ dày 0.3-0.5mm
- Vivaneers: No-prep laminate từ Ivoclar Vivadent
Bảng So Sánh Dán Sứ Laminate và Bọc Răng Sứ
| Tiêu chí | Dán sứ Laminate | Bọc răng sứ |
| Phạm vi phủ | Chỉ mặt trước răng | Bao phủ toàn bộ răng (360°) |
| Mài răng | 0.3 – 0.5mm (hoặc không mài) | 1.5 – 2mm toàn bộ xung quanh |
| Độ mỏng | 0.3 – 0.5mm | 1.5 – 2mm |
| Mục đích chính | Thẩm mỹ | Phục hồi chức năng + thẩm mỹ |
| Chỉ định | Răng còn khỏe, ố màu, sứt nhẹ | Răng yếu, sâu nhiều, gãy nặng |
| Giá (VN) | 6-15 triệu/răng | 3-8 triệu/răng |
| Tuổi thọ | 10-20 năm | 10-15 năm |
| Thẩm mỹ | Cao nhất, tự nhiên | Cao, nhưng có thể thấy viền |
| Bảo tồn răng | Cao (giữ 95-100% cấu trúc) | Thấp (mất 70-80% cấu trúc) |
| Thời gian | 7-14 ngày | 7-10 ngày |
| Khả năng đảo ngược | Không (nếu đã mài) | Không |
| Khi nào nên chọn? | Răng khỏe, muốn cải thiện thẩm mỹ | Răng yếu, cần tăng cường độ bền |
Loại Vật Liệu Sứ Dùng Cho Laminate Veneer Hiện Nay

Có nhiều loại vật liệu dán Laminate tự nhiên như răng thật
Lithium Disilicate (Emax, Lisi Press)
Thông số kỹ thuật:
- Độ bền uốn (flexural strength): 360-400 MPa
- Độ trong (translucency): Cao, gần giống men răng tự nhiên
- Xuất xứ: IPS e.max® từ Ivoclar Vivadent (Thụy Sĩ)
Ưu điểm:
- Cân bằng hoàn hảo giữa thẩm mỹ và độ bền
- Độ trong tự nhiên, phản xạ ánh sáng như răng thật
- Tỷ lệ thành công 10 năm: ≥99.7%
- Kháng mài mòn tốt
- Liên kết tốt với xi măng nhựa
Nhược điểm:
- Giá cao: 10-15 triệu VNĐ/răng
- Độ bền thấp hơn Zirconia
- Có thể gãy nếu chịu lực quá mức
Chỉ định:
- Răng cửa, răng nanh (răng trước)
- Người không nghiến răng
- Ưu tiên thẩm mỹ cao
Feldspathic Porcelain
Thông số kỹ thuật:
- Độ bền uốn: 60-110 MPa (thấp nhất)
- Độ trong: Cao nhất trong tất cả loại sứ
- Kỹ thuật: Đắp tay từng lớp bởi kỹ thuật viên lành nghề
Ưu điểm:
- Thẩm mỹ đỉnh cao nhất – Như răng thật 100%
- Tùy chỉnh màu sắc, độ trong cực kỳ chi tiết
- Phù hợp làm 1-2 răng cần sự hoàn hảo tuyệt đối
- Mỏng nhất: 0.3-0.4mm
Nhược điểm:
- Độ bền kém nhất – Dễ vỡ, gãy
- Tỷ lệ thất bại cao hơn 2-3 lần so với Emax
- Không phù hợp người nghiến răng
- Giá dán sứ Veneer cao do thủ công: 8-12 triệu VNĐ/răng
- Thời gian làm lâu hơn (7-14 ngày)
Chỉ định:
- Răng cửa giữa (central incisor) cần thẩm mỹ tuyệt đối
- Làm 1-2 răng điểm nhấn
- Người cắn khớp tốt, không nghiến răng
Zirconia (ZirCAD Prime, Lava Esthetic)
Thông số kỹ thuật:
- Độ bền uốn: 900-1,200 MPa (cao nhất, gấp 3 lần Emax)
- Độ trong: Thấp hơn Emax và Feldspathic (nhưng đang cải thiện)
- Công nghệ: CAD/CAM, phay CNC
Ưu điểm:
- Độ bền cao nhất – Chống gãy vỡ tốt nhất
- Phù hợp người nghiến răng
- Che màu tốt – Tốt cho răng ố vàng đậm, răng tứ hoàn
- Kháng mài mòn xuất sắc
- Tỷ lệ tồn tại cao
Nhược điểm:
- Thẩm mỹ kém hơn Emax (độ trong thấp)
- Có thể trông “đục” hơn nếu kỹ thuật xử lý bề mặt không tốt
- Giá cao: 12-18 triệu VNĐ/răng
- Cần kỹ thuật gắn kết đặc biệt (không thể ăn mòn acid như Emax)
Chỉ định:
- Người nghiến răng, cắn mạnh
- Răng nanh, răng hàm nhỏ (premolar)
- Răng ố vàng đậm cần che phủ tốt
- Ưu tiên độ bền hơn thẩm mỹ
So Sánh Loại Sứ Laminate
| Tiêu chí | Feldspathic | Emax (Lithium Disilicate) | Zirconia |
| Độ bền (MPa) | 60-110 | 360-400 | 900-1,200 |
| Thẩm mỹ | ⭐⭐⭐⭐⭐ | ⭐⭐⭐⭐ | ⭐⭐⭐ |
| Độ trong | Cao nhất | Cao | Trung bình |
| Giá (VN) | 8-12 triệu | 10-15 triệu | 12-18 triệu |
| Tuổi thọ | 7-12 năm | 10-20 năm | 15-25 năm |
| Nghiến răng | Không phù hợp | Cẩn thận | Phù hợp |
| Che màu | Kém | Trung bình | Tốt nhất |
| Kỹ thuật | Thủ công | Ép nhiệt | CAD/CAM |
Các Thương Hiệu Sứ Uy Tín
Lithium Disilicate:
- IPS e.max® (Ivoclar Vivadent, Thụy Sĩ): Tiêu chuẩn vàng
- GC Initial LiSi (GC Corporation, Nhật): Chất lượng cao
- Obsidian (Glidewell, Mỹ): Tương đương Emax, giá thấp hơn
Feldspathic:
- Noritake EX-3 (Nhật): Cao cấp
- Ivoclar IPS d.Sign (Thụy Sĩ): Chuyên nghiệp
- Vita VM (Đức): Thẩm mỹ cao
Zirconia:
- Lava Esthetic (3M ESPE, Mỹ): Độ trong cải thiện
- ZirCAD Prime (Ivoclar Vivadent): Thế hệ mới
- Katana Zirconia (Kuraray Noritake, Nhật): Đa tầng màu
Khám phá: Dán răng sứ loại nào tốt nhất hiện nay?
Quy Trình Thực Hiện Dán Sứ Laminate

Bác sĩ chuẩn bị dán sứ Laminate tại nha khoa uy tín
Quy Trình 7 Bước Chuẩn (2-3 Lần Khám)
Tổng thời gian: 7-14 ngày
Lần Khám 1: Thăm Khám và Thiết Kế (60-90 phút)
Bước 1: Thăm khám và tư vấn
- Bác sĩ kiểm tra tình trạng răng, nướu
- X-quang panoramic (toàn cảnh) để đánh giá xương hàm
- Chụp ảnh răng từ nhiều góc độ
- Tư vấn phương án phù hợp
Bước 2: Thiết kế nụ cười số hóa (Digital Smile Design – DSD)
- Scan 3D răng bằng máy quét nội nha (intraoral scanner)
- Thiết kế trên phần mềm 3D: hình dạng, kích thước, màu sắc
- Mô phỏng kết quả cuối cùng cho bệnh nhân xem
- Chỉnh sửa theo mong muốn của bệnh nhân
Bước 3: Lấy dấu răng (nếu không dùng scan 3D)
- Lấy dấu bằng silicone hoặc polyether
- Gửi mẫu răng tới phòng lab
Bước 4: Chuẩn bị răng
- Gây tê tại chỗ (nếu cần)
- Mài răng tối thiểu: 0.3-0.5mm lớp men (hoặc không mài với no-prep)
- Tạo đường hoàn tất (finish line) ở lợi hoặc trên lợi
- Mài mặt gần-xa để tạo không gian nếu răng chen chúc
Bước 5: Làm răng tạm
- Gắn laminate tạm bằng nhựa composite
- Bảo vệ răng đã mài trong thời gian chờ
- Giúp bệnh nhân quen với hình dạng mới
Thời gian chờ lab: 5-10 ngày
Lần Khám 2: Thử Và Gắn Laminate (90-120 phút)
Bước 6: Thử laminate
- Tháo răng tạm
- Làm sạch bề mặt răng
- Dùng try-in paste (xi măng thử) để kiểm tra:
- Màu sắc có hài hòa không
- Hình dạng có tự nhiên không
- Kích thước có vừa vặn không
- Điều chỉnh nếu cần (gửi lại lab hoặc chỉnh tại chỗ)
Bước 7: Gắn vĩnh viễn
Chuẩn bị bề mặt sứ:
- Ăn mòn mặt trong sứ bằng hydrofluoric acid 5-10% (10-90 giây tùy loại sứ)
- Rửa sạch, phun khô
- Bôi silane coupling agent để tăng liên kết hóa học
Chuẩn bị bề mặt răng:
- Cô lập răng (rubber dam hoặc cotton rolls)
- Làm sạch bằng pumice không fluoride
- Ăn mòn men răng bằng phosphoric acid 37% (15-30 giây)
- Rửa sạch, phun khô nhẹ (giữ độ ẩm nhẹ)
- Bôi bonding agent
Gắn laminate:
- Bôi xi măng nhựa (resin cement) lên mặt trong sứ
- Đặt cẩn thận lên răng
- Loại bỏ xi măng thừa ở viền
- Chiếu đèn quang trùng hợp: 40-60 giây mỗi mặt (mặt môi, mặt trong, 2 bên)
- Loại bỏ hoàn toàn xi măng thừa
Hoàn tất:
- Kiểm tra cắn khớp, mài điều chỉnh
- Đánh bóng viền laminate
- Hướng dẫn chăm sóc
Lần Khám 3: Tái Khám – 15-30 Phút
- Kiểm tra viền lợi, màu sắc
- Điều chỉnh cắn khớp nếu còn khó chịu
- Đánh bóng lại nếu cần
- Giải đáp thắc mắc
Lưu Ý Quan Trọng Trong Quy Trình
Gắn sứ là bước quan trọng nhất:
- Quyết định 80% tuổi thọ của laminate
- Cần bác sĩ có kinh nghiệm dán sứ Veneer, kỹ thuật tốt
- Môi trường khô, cô lập tốt là bắt buộc
Không nên làm laminate nếu:
- Sâu răng chưa điều trị
- Viêm nha chu đang hoạt động
- Cắn chéo nặng (cần niềng răng trước)
- Mất răng nhiều (cần implant/cầu răng trước)
Rủi Ro và Biến Chứng Thường Gặp Khi Làm Laminate
Gãy, Vỡ Laminate – 44.83%
Nguyên nhân:
- Tỷ lệ: 44.83% trong số các trường hợp thất bại
- Cắn phải đồ cứng: xương, đá lạnh, vỏ hạt
- Nghiến răng ban đêm
- Tai nạn, chấn thương
Dấu hiệu:
- Vỡ rõ ràng, thấy mảnh sứ gãy
- Răng nhạy cảm đột ngột
- Sờ thấy mép sắc, nhấp nhô
Xử lý:
- Vỡ nhỏ (<2mm): Đánh bóng lại, bổ sung composite
- Vỡ lớn: Phải làm lại laminate hoàn toàn (3-7.5 triệu VNĐ)
Bong Tróc (Debonding) – 28.3%
Nguyên nhân:
- Tỷ lệ: 28.3% trong số thất bại
- Kỹ thuật gắn kết kém (bề mặt bị nhiễm bẩn, ẩm ướt)
- Gắn trên ngà răng thay vì men răng
- Không ăn mòn sứ đúng cách
Dấu hiệu:
- Laminate lung lay
- Nghe thấy tiếng “lạch cạch” khi chạm
- Thức ăn mắc kẹt dưới laminate
- Có thể rơi ra hoàn toàn
Xử lý:
- Nếu laminate còn nguyên: Làm sạch, gắn lại (1-2 triệu VNĐ)
- Nếu laminate vỡ: Làm mới (giá gốc)
Răng bị nhạy cảm (Sensitivity) – 20-30%
Nguyên nhân:
- Mài răng quá sâu, chạm ngà răng (dentin)
- Kích thích trong quá trình gắn
- Rò rỉ vi khuẩn ở viền
Dấu hiệu:
- Nhức nhối khi ăn/uống lạnh, nóng
- Thường xảy ra ngay sau gắn
- Giảm dần sau 1-4 tuần
Xử lý:
- Nhẹ: Dùng kem đánh răng cho răng nhạy cảm (Sensodyne)
- Trung bình: Bôi fluoride varnish tại nha khoa
- Nặng: Có thể cần lấy tủy nếu không giảm
Viêm Nướu – 10-15%
Nguyên nhân:
- Viền laminate chế tác quá dày, chèn ép nướu
- Xi măng thừa không loại bỏ hết, tích tụ vi khuẩn
- Vệ sinh răng miệng kém
Dấu hiệu:
- Nướu đỏ, sưng ở viền laminate
- Chảy máu khi đánh răng
- Hơi thở có mùi
Xử lý:
- Làm sạch xi măng thừa bằng scaler
- Cạo vôi răng chuyên sâu
- Súc miệng chlorhexidine 0.12%
- Nặng: Cần tháo laminate, làm lại
Sai Màu, Không Hài Hòa – 5-10%
Nguyên nhân:
- Chọn màu sứ không đúng ánh sáng
- Lab chế tác sai màu
- Xi măng gắn không phù hợp
Dấu hiệu:
- Laminate quá trắng hoặc quá vàng so với răng khác
- Không hài hòa trong nụ cười
- Thường chỉ phát hiện khi nhìn trong ánh sáng tự nhiên
Xử lý:
- Thử xi măng màu khác (try-in paste)
- Nếu không cải thiện: Làm lại laminate (thường do lab chịu chi phí nếu lỗi kỹ thuật)
Sâu Răng Thứ Phát – 3-8%
Nguyên nhân:
- Rò rỉ vi khuẩn ở viền
- Vệ sinh răng miệng kém
- Thời gian dài (>10 năm)
Dấu hiệu:
- Đau răng âm ỉ
- Thấy vết đen ở viền laminate
- Hơi thở hôi
Xử lý:
- Tháo laminate
- Điều trị sâu răng (trám hoặc lấy tủy)
- Làm lại laminate mới
Cách Phòng Ngừa Biến Chứng
✅ Chọn nha sĩ có kinh nghiệm (>5 năm làm laminate)
✅ Đeo night guard nếu nghiến răng
✅ Vệ sinh răng miệng 2 lần/ngày bằng bàn chải mềm
✅ Tránh cắn đồ cứng: đá lạnh, xương, vỏ hạt
✅ Tái khám định kỳ 6 tháng/lần
✅ Không dùng răng làm công cụ (mở nắp chai, cắt chỉ)
Nha Khoa Quốc Tế SG dán sứ uy tín quận 10

Tư vấn khách hàng tại Nha Khoa Quốc Tế SG
Giữa ma trận nha khoa tại TP.HCM, Nha Khoa Quốc Tế SG định vị là trung tâm chuyên sâu về phục hình thẩm mỹ xâm lấn tối thiểu:
- Đội ngũ bác sĩ giàu kinh nghiệm: Đào tạo bài bản về thẩm mỹ nha khoa
- Công Nghệ Hiện Đại: Máy scan 3D intraoral, phần mềm DSD (Digital Smile Design), máy X-quang kỹ thuật số
- Vật Liệu Sứ Chính Hãng: Có tem chứng nhận, đầy đủ giấy tờ xuất xứ
Thông tin liên hệ
Nha Khoa Quốc Tế SG – Địa điểm Nha Khoa Uy Tín Quận 10, HCM
- Địa chỉ: 132 Đường 3/2, Phường 12, Quận 10, TP.HCM
- Hotline: 0902.759.406 – 0396.877.518
- Email: sgnhakhoaquocte@gmail.com
- Website: nhakhoaquoctesg.vn
- Youtube: youtube.com/@sgdental.official
- Instagram: instagram.com/sgdental.official/
- Liên hệ ngay Nha Khoa Quốc Tế SG
Xem thêm trải nghiệm khách hàng tại Nha Khoa Quốc Tế SG
Câu Hỏi Thường Gặp
Làm Răng Sứ Laminate Có Cần Lấy Tủy Không?
Không – Trong hầu hết trường hợp, làm laminate không cần lấy tủy.
Giải thích:
- Laminate chỉ mài 0.3-0.5mm lớp men răng bên ngoài
- Không chạm đến tủy răng (nằm sâu bên trong)
- Răng vẫn “sống”, còn cảm giác bình thường
Khi nào CẦN lấy tủy:
- Răng đã chết/nhiễm trùng tủy từ trước
- Răng đổi màu nặng do chấn thương
- Răng bị sâu sâu đến tủy
Lưu ý: Làm laminate trên răng đã lấy tủy tăng nguy cơ thất bại 7.7 lần (Beier et al., 2012). Nên cân nhắc bọc sứ thay vì laminate trong trường hợp này.
Răng Sứ Laminate Có Bị Ố Vàng Theo Thời Gian Không?
Không – Sứ porcelain không bị ố vàng như răng thật.
Lý do:
- Sứ ceramic có bề mặt không xốp (non-porous)
- Không hấp thụ màu từ thức ăn, nước uống
- Kháng ố màu vượt trội so với răng tự nhiên và composite
Nghiên cứu:
- Sứ Emax giữ màu ổn định >95% sau 10 năm (Demirekin & Turkaslan, 2022)
- Feldspathic porcelain không đổi màu sau 15 năm
Nhưng:
- Xi măng gắn có thể đổi màu nhẹ sau nhiều năm (thấy ở viền)
- Răng thật bên cạnh có thể vàng hơn, tạo sự chênh lệch màu
- Giải pháp: Tẩy trắng răng thật trước khi làm laminate
Có Thể Tẩy Trắng Răng Sứ Laminate Không?
Không – Răng sứ laminate không thể tẩy trắng.
Lý do:
- Sứ porcelain không phản ứng với chất tẩy trắng (hydrogen peroxide, carbamide peroxide)
- Màu sắc của sứ được tạo ra từ quá trình nung, không thay đổi được
Hệ quả:
- Nếu muốn trắng hơn, phải thay hoàn toàn laminate (chi phí cao)
- Nên tẩy trắng răng thật TRƯỚC khi làm laminate 2 tuần để chọn màu sứ phù hợp
Khuyến nghị:
- Chọn màu sứ trắng hơn 1-2 tone so với răng thật hiện tại
- Có dự định sẽ duy trì màu răng như vậy lâu dài
- Nếu muốn thay đổi màu sau này, cân nhắc composite veneer (có thể đánh bóa lại)
Răng Sứ Laminate Có Niềng Được Không?
Có thể niềng răng có laminate, nhưng:
Rủi ro:
- Dễ bong tróc khi dán mắc cài (bracket) lên sứ
- Mắc cài có thể làm trầy xước bề mặt sứ
- Tăng nguy cơ vỡ, nứt khi tháo mắc cài
- Sứ không chịu lực tốt bằng men răng tự nhiên
Giải pháp an toàn nhất:
- Niềng răng trước → Hoàn thành niềng → Đợi 6 tháng ổn định → Làm laminate
- Nếu bắt buộc phải niềng sau laminate:
- Chọn niềng trong suốt (Invisalign) thay vì mắc cài kim loại
- Nha sĩ cần kỹ thuật cao để dán mắc cài không làm hỏng sứ
- Chuẩn bị tinh thần có thể phải làm lại laminate sau niềng
Khuyến nghị Cleveland Clinic: Luôn hoàn thành chỉnh nha trước khi thực hiện bất kỳ phục hồi thẩm mỹ nào (Cleveland Clinic, 2022).
Làm Laminate Có Ảnh Hưởng Đến Nướu Không?
Không nếu làm đúng kỹ thuật – Laminate an toàn cho nướu khi chế tác và gắn đúng cách.
Tích cực:
- Sứ ceramic tương thích sinh học cao, không gây kích ứng nướu
- Không gây dị ứng (không chứa kim loại như sứ kim loại)
- Bề mặt nhẵn, ít tích tụ mảng bám hơn răng tự nhiên
Tiêu cực (nếu làm sai kỹ thuật):
- Viền laminate quá dày: Chèn ép nướu → viêm nướu (10-15% ca)
- Xi măng thừa không loại sạch: Tích tụ vi khuẩn → viêm lợi
- Đường hoàn tất (finish line) dưới lợi quá sâu: Gây tổn thương nướu khi mài răng
Dấu hiệu nướu bị ảnh hưởng:
- Nướu đỏ, sưng ở viền laminate
- Chảy máu khi đánh răng
- Nướu tụt dần, lộ viền laminate
Phòng ngừa:
- Chọn nha sĩ giàu kinh nghiệm
- Đường hoàn tất nên trên lợi (supragingival) hoặc ngang lợi
- Vệ sinh răng miệng kỹ: đánh răng + chỉ nha khoa
- Tái khám định kỳ để bác sĩ kiểm tra
Có Thể Làm Laminate Cho 1 Răng Không?
Có – Hoàn toàn có thể làm laminate cho 1 răng duy nhất.
Khi nào nên làm 1 răng:
- Răng cửa bị sứt mẻ, gãy do tai nạn
- 1 răng đổi màu (do chấn thương, uống tetracycline)
- Răng cửa quá nhỏ (peg lateral incisor)
- Khoảng trống giữa 2 răng cửa (diastema)
Thách thức:
- Khó khớp màu với răng bên cạnh (đặc biệt ánh sáng tự nhiên)
- 1 răng đơn lẻ có thể trông “khác biệt” nhẹ
- Yêu cầu kỹ năng cao của nha sĩ và kỹ thuật viên lab
Khuyến nghị:
- Làm 2 răng cửa giữa (central incisors) cho cân đối
- Hoặc làm 4 răng (2 răng cửa + 2 răng cửa bên) cho thẩm mỹ cao nhất
- Nếu bắt buộc làm 1 răng: Chọn sứ Feldspathic (tùy chỉnh màu tốt nhất)
Chi phí:
- Làm 1 răng: 6-15 triệu VNĐ (không giảm giá)
- Làm 2-4 răng: Có thể giảm 10-15%
Thời Gian Làm Laminate Mất Bao Lâu?
Câu trả lời ngắn gọn: 7-14 ngày (2-3 lần khám)
Chi tiết từng bước:
| Giai đoạn | Thời gian | Nội dung |
| Lần khám 1 | 60-90 phút | Thăm khám, thiết kế 3D, mài răng, lấy dấu, làm răng tạm |
| Chờ lab | 5-10 ngày | Lab chế tác laminate sứ |
| Lần khám 2 | 90-120 phút | Thử laminate, điều chỉnh, gắn vĩnh viễn |
| Lần khám 3 | 15-30 phút | Tái khám sau 1-2 tuần, kiểm tra, đánh bóa |
| Tổng thời gian | 7-14 ngày | Từ bắt đầu đến hoàn thành |
Yếu tố ảnh hưởng đến thời gian:
- Số lượng răng: Làm 2 răng nhanh hơn làm full hàm
- Công nghệ: CAD/CAM nhanh hơn thủ công
- Lab: Lab trong nha khoa nhanh hơn gửi lab ngoài
- Cần chỉnh sửa: Nếu màu không đúng, phải làm lại (+5-7 ngày)
So sánh với phương pháp khác:
- Composite veneer: 1-2 giờ (làm ngay trong 1 lần khám)
- Bọc sứ: 7-10 ngày (tương tự laminate)
- Implant: 3-6 tháng (dài nhất)
Có Đau Khi Gắn Răng Sứ Laminate Không?
Không đau hoặc đau rất nhẹ – Quy trình gắn laminate thường không gây đau.
Trong quá trình làm:
- Mài răng: Gây tê tại chỗ → Không đau
- Chỉ mài 0.3-0.5mm men răng (không chạm tủy)
- Cảm giác rung nhẹ từ máy mài
- Gắn laminate: Không đau
- Không cần gây tê (trừ khi răng nhạy cảm)
- Cảm giác áp lực nhẹ khi bác sĩ ép laminate
Sau khi gắn (24-72 giờ đầu):
- 20-30% người có nhạy cảm nhẹ:
- Nhức nhối khi ăn/uống lạnh, nóng
- Cảm giác “kì kì” ở răng
- Thường giảm sau 1-2 tuần
- Nguyên nhân: Kích thích nhẹ trong quá trình mài, gắn
Cách giảm đau/khó chịu:
- Uống thuốc giảm đau nhẹ (paracetamol) nếu cần
- Dùng kem đánh răng cho răng nhạy cảm (Sensodyne)
- Tránh đồ quá lạnh/nóng trong 1 tuần đầu
- Ăn mềm trong 2-3 ngày đầu
Khi nào cần lo lắng:
- Đau nhiều, không giảm sau 2 tuần
- Đau âm ỉ, kéo dài
- → Liên hệ nha sĩ ngay để kiểm tra
Sự Khác Biệt Giữa Lumineers và Laminate Thường?
Lumineers® là gì?
- Thương hiệu laminate siêu mỏng được cấp bằng sáng chế của DenMat (Mỹ)
- Độ mỏng: 0.2-0.3mm (mỏng bằng thấu kính contact)
- Đặc điểm nổi bật: No-prep – Không cần mài răng
Bảng so sánh chi tiết:
| Tiêu chí | Lumineers | Laminate thường (Emax) |
| Độ dày | 0.2 – 0.3mm | 0.3 – 0.5mm |
| Mài răng | Không cần (no-prep) | Cần mài 0.3 – 0.5mm |
| Vật liệu | Cerinate® porcelain độc quyền | Lithium disilicate, Feldspathic |
| Độ bền | Trung bình (mỏng → dễ vỡ hơn) | Cao hơn |
| Thẩm mỹ | Tốt, nhưng có thể hơi “phồng” | Tự nhiên hơn |
| Che màu | Kém (quá mỏng) | Tốt hơn |
| Giá (Mỹ) | $800 – 2,000/răng | $1,200 – 2,000/răng |
| Giá (VN) | 10 – 18 triệu/răng (hiếm) | 10 – 15 triệu/răng |
| Đảo ngược | Có (không mài răng) | Không (đã mài) |
| Phù hợp | Răng đều, màu nhạt | Mọi trường hợp |
Ưu điểm Lumineers:
✅ Không mài răng – Bảo tồn hoàn toàn cấu trúc răng
✅ Đảo ngược được – Có thể tháo ra nếu không thích
✅ Không nhạy cảm – Không chạm đến men răng
✅ Nhanh hơn – Quy trình đơn giản hơn
Nhược điểm Lumineers:
❌ Che màu kém – Không phù hợp răng ố vàng đậm, răng tứ hoàn
❌ Có thể trông “phồng” – Do không mài răng, laminate nằm chồng lên
❌ Độ bền thấp hơn – Mỏng hơn → dễ vỡ hơn
❌ Khó tìm tại VN – Chỉ nha khoa cao cấp có Lumineers chính hãng
Khi nào nên chọn Lumineers:
- Răng đều, không chen chúc
- Màu răng nhạt (trắng/vàng nhạt)
- Muốn bảo tồn răng 100%
- Sợ mài răng, sợ đau
Khi nào nên chọn Laminate thường:
- Răng ố vàng đậm, tứ hoàn
- Răng chen chúc, lệch nhẹ
- Ưu tiên thẩm mỹ và độ bền
- Ngân sách hợp lý hơn tại VN
Verification Checklist – Kiểm Chứng Thông Tin
Để đảm bảo tính chính xác của bài viết, dưới đây là danh sách các thông tin chính và nguồn tham khảo:
- Cleveland Clinic – Dental Veneers Guide
- Alenezi et al. (2021) – “Success of Porcelain Laminate Veneers”
Journal: MDPI – Journal of Clinical Medicine - Demirekin & Turkaslan (2022) – “Survival of IPS e.max Press Laminate Veneers”
- Journal: BMC Oral Health
- https://bmcoralhealth.biomedcentral.com/articles/10.1186/s12903-022-02079-4
- Beier et al. (2012) – “Clinical Performance of Porcelain Laminate Veneers”
- Journal: International Journal of Prosthodontics
- https://pubmed.ncbi.nlm.nih.gov/22259802/
- Alghazzawi (2024) – “Materials for All-Ceramic Restorations”
- Journal: PMC – Materials
- https://pmc.ncbi.nlm.nih.gov/articles/PMC11122289/
- Schwimmer Dental (2025) – “E-max Veneers: Pros, Cons, and What to Expect”
- Wikipedia – Dental Veneer History
- Hindawi (2016) – “Evolution of Porcelain Laminate Veneers”
>>>Xem thêm các bài viết liên quan:
