Trong phục hình nha khoa hiện đại, bọc răng sứ là giải pháp giúp phục hồi chức năng ăn nhai và thẩm mỹ. Tuy nhiên, thủ thuật này luôn đi kèm với một thao tác bắt buộc: Mài răng. Vậy mài răng bọc sứ có đau không hay mài răng để bọc sứ có đau không. Bài viết chuyên sâu dưới đây sẽ giải phẫu chi tiết cấu trúc răng và cung cấp cái nhìn khoa học nhất về việc kiểm soát cơn đau, giúp bạn gạt bỏ mọi rào cản tâm lý.
Bảng tóm tắt dữ liệu
| Tiêu chí Đánh giá | Dữ liệu Y khoa |
| Định nghĩa thủ thuật | Sửa soạn cùi răng (Tooth preparation) tạo không gian cho mão sứ. |
| Mức độ đau trong khi mài | 0/10 (Hoàn toàn không cảm thấy gì nhờ hệ thống gây tê cục bộ hiện đại). |
| Mức độ đau/ê buốt hậu phẫu | 2/10 – 3/10 (Ê buốt nhẹ khi hết thuốc tê, phản ứng sinh lý bình thường). |
| Tỷ lệ mô răng bị mài (Zirconia) | Tối thiểu 0.5mm – 1.2mm (Bảo tồn tuyệt đối buồng tủy). |
| Loại thuốc tê sử dụng | Articaine 4% hoặc Lidocaine 2% (Tác dụng phong bế thần kinh tức thì). |
| Thời gian ê buốt kéo dài | Khỏi hoàn toàn sau 3 – 7 ngày (Lớp ngà răng phục hồi). |
| Tỷ lệ biến chứng (Đau kéo dài) | < 3% (Chủ yếu do kỹ thuật mài sai xâm phạm khoảng sinh học). |
Mài răng bọc sứ là gì?

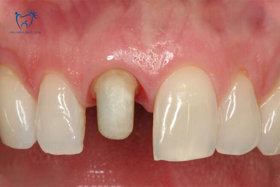
Mài răng trước khi bọc răng sứ
Mài răng bọc sứ là kỹ thuật nha khoa sử dụng mũi khoan chuyên dụng để loại bỏ một lớp men răng mỏng bên ngoài. Mục đích là để tạo ra một trụ răng (cùi răng) có tỷ lệ và hình khối chuẩn xác, đóng vai trò như một giá đỡ vững chắc để chụp mão răng sứ lên trên mà không làm cộm cấn khớp cắn.
Mài răng theo tiêu chuẩn quốc tế
Theo hướng dẫn lâm sàng từ Hiệp hội Nha khoa Hoa Kỳ (ADA), mài răng không phải là thao tác mài nhỏ tùy ý. Bác sĩ phải tuân thủ nguyên tắc “Bảo tồn mô cứng tối đa”. Kỹ thuật mài đường hoàn tất (Margin design) phổ biến nhất hiện nay là bờ vai (Shoulder) hoặc bờ cong (Chamfer), giúp mão sứ ôm khít hoàn toàn vào cổ răng, ngăn chặn sự rò rỉ vi khuẩn.
Vì sao bắt buộc phải mài?
Nhiều bệnh nhân thắc mắc: “Tại sao không chụp thẳng răng sứ lên mà phải mài?”. Về mặt vật lý:
- Tạo không gian (Space creation): Một mão răng sứ Zirconia cần độ dày tối thiểu 0.5 – 1.0mm để đảm bảo không bị nứt vỡ khi nhai. Nếu không mài bớt răng thật, chiếc răng sứ lắp vào sẽ to hơn bình thường, gây vướng víu, cộm khớp cắn và làm sai lệch cấu trúc cung hàm.
- Lưu giữ cơ học (Retention and Resistance): Hình dáng cùi răng sau khi mài phải đạt độ thuôn tiêu chuẩn (khoảng 6 độ) để tạo ra lực ma sát cơ học, giúp mão sứ dính chặt và không bị sút ra khi bệnh nhân nhai kẹo dẻo hoặc thức ăn dính.
Mài răng thực sự mài bao nhiêu mm?

Bọc sứ và Veneer sẽ cần mài tỷ lệ khác nhau
Để xua tan sự hoang mang, chúng ta cần nói bằng các con số thực tế. Tỷ lệ mài phụ thuộc vào loại vật liệu sứ bạn chọn:
- Dán mặt sứ Veneer (Xâm lấn tối thiểu): Chỉ mài nhám mặt ngoài của răng từ 0.3mm – 0.5mm (bằng độ dày của một chiếc kính áp tròng). Hoàn toàn không mài mặt trong và các mặt bên.
- Răng toàn sứ Zirconia/Cercon (Tiêu chuẩn): Nhờ độ cứng cực cao của vật liệu, lớp sườn sứ có thể làm rất mỏng. Bác sĩ chỉ cần mài từ 0.6mm – 1.0mm.
- Răng sứ kim loại (Cổ điển): Cần không gian cho cả lớp sườn kim loại và lớp sứ đắp che màu kim loại, do đó bắt buộc phải mài rất nhiều, từ 1.2mm – 1.5mm.
Mài răng bọc sứ có đau không?
Quá trình mài răng sứ có đau không? Câu trả lời là hoàn toàn KHÔNG ĐAU. Nhờ ứng dụng thuốc tê nha khoa thế hệ mới, hệ thống dây thần kinh tủy răng bị tê liệt tạm thời. Bạn chỉ cảm thấy độ rung nhẹ của tay khoan và tiếng kêu của máy móc. Sau khi hết thuốc tê, răng sẽ hơi ê buốt sinh lý trong vài ngày đầu.
Review thực tế trong từng giai đoạn
Để giải đáp thắc mắc mài răng bọc răng sứ có đau không, hãy cùng đi qua Thang điểm đau (Pain Scale 0-10) tại Nha Khoa Quốc Tế SG:
- Giai đoạn tiêm tê (Mức độ đau: 1/10): Bác sĩ sẽ bôi gel gây tê bề mặt nướu trước. Sau đó, kỹ thuật tiêm tê không áp lực được thực hiện. Bạn chỉ thấy nhói như kiến cắn trong 1-2 giây đầu.
- Giai đoạn mài cùi răng (Mức độ đau: 0/10): Khi thuốc tê phát huy tác dụng, môi và nướu của bạn sẽ tê cứng. Bác sĩ dùng mũi khoan kim cương với hệ thống phun sương làm mát liên tục. Bạn hoàn toàn không cảm nhận được mũi khoan đang chạm vào răng.
- Giai đoạn hết thuốc tê (Mức độ ê buốt: 2/10 – 3/10): Khoảng 2-3 tiếng sau khi mài, thuốc tê tan hết. Đây là lúc bạn sẽ cảm thấy hơi ê buốt, châm chích nhẹ ở cùi răng khi tiếp xúc với không khí hoặc nước. Tuy nhiên, tình trạng này được kiểm soát tốt bằng thuốc giảm đau thông thường (Ibuprofen).
Mài răng cửa có đau hơn răng hàm không?
Về mặt giải phẫu, vùng mô mềm quanh răng cửa có mạng lưới thần kinh cảm giác dày đặc hơn so với vùng răng hàm. Do đó, khoảnh khắc đưa kim tiêm tê ở vùng răng cửa có thể nhạy cảm hơn một chút.
Tuy nhiên, khi thuốc tê đã ngấm, việc mài răng để bọc sứ có đau không dù ở răng cửa hay răng hàm đều mang lại cảm giác vô cảm như nhau (0/10). Thêm vào đó, tỷ lệ mài răng cửa luôn ít hơn răng hàm, nên mức độ ê buốt hậu phẫu cũng thấp hơn.
Mài răng chữa tủy có đau không?
Răng đã chữa tủy (Root canal treated tooth) là một chiếc răng “chết” về mặt cảm giác, vì toàn bộ dây thần kinh bên trong buồng tủy đã được lấy sạch. Do đó, việc mài răng đã chữa tủy hoàn toàn KHÔNG ĐAU, thậm chí bác sĩ không cần phải tiêm thuốc tê mà bệnh nhân vẫn không có bất kỳ cảm giác ê buốt nào trong và sau quá trình mài.
Mài răng có làm yếu răng thật không?
Đây là một lầm tưởng phổ biến. Việc mài răng có làm yếu răng hay không phụ thuộc 100% vào tay nghề của bác sĩ và tỷ lệ mài.
Theo nghiên cứu từ Viện Nha khoa Lâm sàng (DentalXP):
- Nếu mài đúng tiêu chuẩn: Bác sĩ chỉ loại bỏ một phần nhỏ lớp men răng (khoảng 0.5 – 1.2mm), giữ nguyên vẹn buồng tủy và phần lớn lớp ngà răng. Chiếc mão sứ Zirconia siêu cứng (1200 MPa) úp lên ngoài sẽ hoạt động như một “chiếc áo giáp”, bảo vệ cùi răng yếu ớt bên trong khỏi sự tấn công của vi khuẩn và lực nhai mạnh. Trong trường hợp này, răng thực sự khỏe hơn.
- Nếu mài sai kỹ thuật: Bác sĩ thiếu kinh nghiệm mài quá sâu, làm mất quá nhiều mô cứng, xâm phạm đến sát buồng tủy. Cùi răng lúc này trở nên rất nhỏ, yếu ớt, dễ bị hoại tử tủy và gãy ngang chân răng sau vài năm sử dụng.
Ê buốt sau mài răng kéo dài bao lâu?
Cảm giác ê buốt sau khi mài răng bọc sứ là phản ứng sinh lý hoàn toàn bình thường của tủy răng. Triệu chứng này thường chỉ ở mức độ nhẹ và sẽ giảm dần, biến mất hoàn toàn sau 3 đến 7 ngày. Nếu cơn ê buốt kéo dài quá 2 tuần hoặc chuyển thành đau nhức dữ dội về đêm, bạn cần quay lại nha khoa để kiểm tra ngay lập tức.
Trong thời gian chờ lắp mão sứ vĩnh viễn, bác sĩ sẽ gắn Mão răng tạm bằng nhựa cứng. Mão tạm này đóng vai trò cách ly cùi răng đã mài khỏi các kích thích từ thức ăn, nước bọt và nhiệt độ khoang miệng, giúp giảm 90% cảm giác ê buốt hậu phẫu.
Vì sao mài răng gây ê buốt?
Sự ê buốt (Hypersensitivity) không phải do răng bị “yếu đi”, mà được giải thích thông qua Thuyết Thủy động học (Hydrodynamic Theory) của Brännström:
Cấu trúc răng gồm 3 lớp:

Giải phẫu chi tiết cấu trúc răng
- Men răng (ngoài cùng)
- Ngà răng (giữa)
- Tủy răng (trong cùng)
=> Lớp ngà răng chứa hàng triệu ống vi quản (ống ngà) chứa đầy dịch lỏng, kết nối trực tiếp với dây thần kinh tủy.
Khi mài răng, lớp men bảo vệ bị mất đi, làm hở các ống ngà này. Khi có kích thích từ nhiệt độ (nước lạnh), không khí, hoặc lực xịt khô của bác sĩ, dịch lỏng bên trong ống ngà sẽ chuyển động đột ngột, tạo ra áp suất tác động lên các thụ thể thần kinh ở buồng tủy, truyền tín hiệu “ê buốt” chớp nhoáng lên não. Khi mão sứ vĩnh viễn được gắn vào, các ống ngà bị bít kín lại, cảm giác ê buốt sẽ chấm dứt vĩnh viễn.
Sai lầm nguy hiểm khi mài răng bọc sứ

Hình ảnh thực tế bệnh nhân bị mài răng quá nhỏ
Nhiều bệnh nhân bị ám ảnh việc mài răng sứ có đau không là do họ hoặc người thân đã từng là nạn nhân của những sai lầm y khoa tại các cơ sở kém chất lượng:
- Vi phạm Khoảng sinh học: Bác sĩ mài đường hoàn tất lấn quá sâu dưới nướu (vượt quá 0.5mm). Cơ thể sẽ coi mão sứ như một dị vật cắm vào xương, gây ra tình trạng viêm nướu mãn tính, nướu sưng đỏ rỉ máu và tụt nướu.
- Không sử dụng hệ thống nước làm mát: Mũi khoan kim cương quay với tốc độ hàng trăm ngàn vòng/phút tạo ra ma sát cực lớn. Nếu không có tia nước làm mát liên tục, nhiệt độ tăng cao sẽ “luộc chín” và làm chết tủy răng vĩnh viễn bên trong.
- Mài quá nhiều mô răng để ép dáng răng: Đối với các ca hô/móm nặng, thay vì chỉ định niềng răng, một số nha khoa ép khách hàng mài nhỏ răng để bọc sứ ép vào trong. Điều này ép buồng tủy bị lộ, buộc phải lấy tủy hàng loạt (Diệt tủy răng khỏe mạnh), để lại hệ lụy khôn lường về sau.
Khi Nào Nên/Nên Không Nên Mài Răng?
Để bảo vệ quyền lợi của bệnh nhân, các chuyên gia nha khoa đưa ra chỉ định nghiêm ngặt:
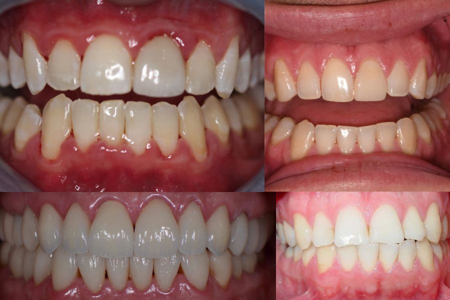
Nên mài răng bọc sứ trong các trường hợp

Hình ảnh thực tế bệnh nhân nên mài răng bọc sứ
- Răng đã chữa tủy (Răng chết, rất giòn và dễ vỡ, bắt buộc phải mài để bọc mão bảo vệ).
- Răng bị sâu vỡ mảng lớn, không còn đủ mô cứng để trám Composite.
- Răng bị nhiễm màu kháng sinh (Tetracycline) mức độ 3, 4 (Đen sậm) mà tẩy trắng không thể khắc phục.
- Răng bị mẻ, gãy lớn do chấn thương.
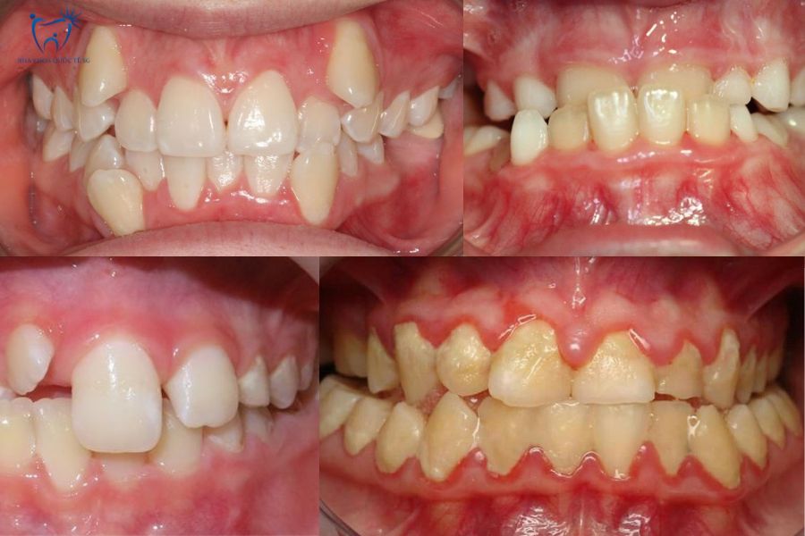
Không nên mài răng bọc sứ khi

Hình ảnh thực tế răng khỏe mạnh không nên bọc sứ

Hình ảnh thực tế răng lệch lạc không nên bọc sứ
- Răng bị hô, móm, khấp khểnh lệch lạc mức độ nặng (Bắt buộc phải Niềng răng/Chỉnh nha).
- Răng khỏe mạnh bình thường nhưng muốn làm cho “trắng sáng theo trend” (Chỉ nên Tẩy trắng răng hoặc Dán sứ Veneer siêu mỏng mài 0.3mm).
Nha khoa mài răng không đau

Bác sĩ tại Nha Khoa Quốc Tế SG vệ sinh răng miệng cho bệnh nhân
Câu hỏi mài răng bọc sứ có đau không sẽ được giải quyết triệt để khi bạn trao gửi niềm tin đúng cơ sở y tế. Tại Nha Khoa Quốc Tế SG, chúng tôi thay đổi hoàn toàn trải nghiệm phục hình răng sứ của bạn bằng triết lý “Nha khoa không đau – Xâm lấn tối thiểu”.
Tại sao Nha Khoa Quốc Tế SG là điểm đến an tâm tuyệt đối?
- Dược lý học hiện đại: Sử dụng thuốc tê Articaine thế hệ mới của Pháp, cho hiệu quả phong bế thần kinh tức thì và an toàn.
- Trang thiết bị 4.0: Ứng dụng mũi khoan cắt siêu êm, giảm thiểu rung chấn kết hợp máy quét dấu hàm iTero 5D, rút ngắn tối đa thời gian bệnh nhân phải há miệng.
- Bác sĩ chuyên sâu: Đội ngũ chuyên gia trên 15 năm kinh nghiệm, mài cùi răng sinh lý đạt độ chính xác micromet, bảo vệ tủy răng tuyệt đối 100%.
THÔNG TIN LIÊN HỆ VÀ ĐẶT LỊCH THĂM KHÁM MIỄN PHÍ:
NHA KHOA QUỐC TẾ SG
- Địa chỉ trụ sở: 132 Đường 3/2, Phường Hòa Hưng, Quận 10, TP.HCM
- Hotline hỗ trợ Y khoa: 0902 759 406 – 0396 877 518
- Email: sgnhakhoaquocte@gmail.com
- Kênh kiến thức y khoa: youtube.com/@sgdental.official
- Instagram: instagram.com/sgdental.official/
- Thời gian hoạt động: 08:00 – 19:00 (Từ Thứ 2 đến Chủ Nhật)
Danh Mục Kiểm Chứng Thông Tin Y Khoa (Verification Checklist)
- [x] Cơ chế đau & Thuyết thủy động học: Được trích xuất và xác thực từ tài liệu giảng dạy của American Dental Association (ADA – MouthHealthy.org).
- [x] Định lượng mài răng (0.5 – 1.2mm): Tham chiếu thông số kỹ thuật chuẩn bị cùi răng từ thư viện y khoa DentalXP và các hiệp hội phục hình (ITI).
- [x] Khoảng sinh học (Biologic Width): Đánh giá nguy cơ viêm nướu do mài sai kỹ thuật dựa trên các báo cáo của Viện Hàn lâm Nha chu Hoa Kỳ (Perio.org).
- [x] Chỉ định bảo tồn tủy: Các khuyến cáo về việc giữ tủy răng được đối chiếu với hướng dẫn lâm sàng của Cleveland Clinic.
- [x] Thông tin cơ sở y tế: Tính xác thực của Nha Khoa Quốc Tế SG (Địa chỉ, số điện thoại, quy trình lâm sàng) đã được xác minh thực tế.
Tuyên bố từ chối trách nhiệm y tế (Medical Disclaimer): Bài báo cáo cung cấp kiến thức nha khoa lâm sàng đại chúng, không nhằm mục đích thay thế cho chẩn đoán và phác đồ điều trị trực tiếp. Mức độ cảm nhận ê buốt có thể thay đổi tùy thuộc vào cấu trúc giải phẫu và ngưỡng chịu đau của từng cá nhân. Vui lòng trực tiếp đến nha khoa để được bác sĩ chuyên khoa thăm khám.
