Thông Tin Nhanh Về Cầu Răng Sứ
| Tiêu chí | Thông tin |
| Tuổi thọ trung bình | 7-10 năm (có thể lên đến 15 năm) |
| Tỷ lệ thành công sau 5 năm | 90-95% |
| Thời gian thực hiện | 2-3 lần hẹn (7-10 ngày) |
| Số răng tối thiểu | 3 răng (2 trụ + 1 thân) |
| Chi phí ước tính | 2.500.000đ – 10.500.000đ/răng |
Bắc Cầu Răng Sứ Có Bền Không?

Mô hình cầu răng sứ gồm ba mão sứ
Cầu răng sứ có độ bền trung bình từ 7-10 năm, có thể kéo dài đến 15 năm nếu chăm sóc đúng cách. Nghiên cứu lâm sàng cho thấy tỷ lệ tồn tại cao 90-95% sau 5 năm. Tuổi thọ phụ thuộc vào chất liệu, vị trí răng, tay nghề bác sĩ và cách chăm sóc hàng ngày.
Cầu răng sứ là giải pháp phục hình răng mất phổ biến, được áp dụng rộng rãi tại các nha khoa trên toàn thế giới. Độ bền của cầu răng sứ được đánh giá dựa trên nhiều nghiên cứu khoa học và kinh nghiệm lâm sàng thực tế.
Tuổi thọ phổ biến trong nghiên cứu và thực tế
Theo nghiên cứu được công bố trên các tạp chí nha khoa uy tín, cầu răng sứ có tuổi thọ dao động đáng kể tùy thuộc vào loại chất liệu và điều kiện sử dụng. Các số liệu cụ thể cho thấy:
- Cầu răng sứ kim loại (PFM – Porcelain Fused to Metal): Đây là loại cầu răng phổ biến nhất với độ bền được kiểm chứng qua thời gian. Nghiên cứu dài hạn chỉ ra rằng loại cầu này có tỷ lệ sống sót cao trong vòng 10 năm đầu sử dụng. Cấu trúc kết hợp giữa khung kim loại bền chắc và lớp sứ thẩm mỹ bên ngoài tạo nên sự cân bằng giữa độ bền và tính thẩm mỹ.
- Cầu răng toàn sứ (All-ceramic): Loại cầu răng này ngày càng được ưa chuộng nhờ tính thẩm mỹ vượt trội. Nghiên cứu lâm sàng cho thấy cầu răng toàn sứ có độ bền tốt, đặc biệt khi được áp dụng cho vùng răng trước. Với sự phát triển của công nghệ sứ Zirconia, độ bền của cầu răng toàn sứ đã được cải thiện đáng kể, có thể sử dụng cả cho vùng răng hàm chịu lực cao.
Theo dữ liệu từ American Dental Association, tuổi thọ trung bình của cầu răng sứ dao động từ 5 đến 15 năm, với mức trung bình phổ biến là 10 năm. Tuy nhiên, nhiều trường hợp được ghi nhận có thể sử dụng cầu răng sứ lâu hơn thời gian này nếu tuân thủ chế độ chăm sóc đúng cách.
Thực tế lâm sàng tại Việt Nam: Dựa trên kinh nghiệm điều trị tại các nha khoa uy tín, cầu răng sứ chất lượng cao thường duy trì tốt trong khoảng 7-10 năm. Một số trường hợp đặc biệt với chăm sóc tốt và điều kiện thuận lợi có thể kéo dài đến 12-15 năm mà không cần thay thế.
So sánh với phương pháp cấy ghép Implant
Khi so sánh với cấy ghép Implant – được coi là “tiêu chuẩn vàng” trong phục hình răng mất, cầu răng sứ có tuổi thọ thấp hơn. Implant có thể tồn tại suốt đời nếu được chăm sóc đúng cách, trong khi cầu răng sứ thường cần thay thế sau 10-15 năm. Tuy nhiên, cầu răng sứ vẫn là lựa chọn hợp lý cho nhiều trường hợp do chi phí thấp hơn và thời gian thực hiện nhanh chóng.
Dấu Hiệu Cầu Răng Sứ Hết Hạn
Cầu răng sứ cần thay khi xuất hiện các dấu hiệu: cầu bị lung lay hoặc tuột khỏi trụ răng, đau nhức kéo dài vùng trụ răng, viền nướu sưng đỏ hoặc tụt xuống, xuất hiện khe hở giữa cầu và nướu, răng sứ bị mẻ vỡ hoặc đổi màu nghiêm trọng.
Nhận biết đúng thời điểm cầu răng sứ cần được thay thế là vô cùng quan trọng để tránh các biến chứng nghiêm trọng cho sức khỏe răng miệng. Dưới đây là các dấu hiệu cụ thể mà bạn cần lưu ý:
Cầu răng bị lỏng hoặc lung lay
Đây là dấu hiệu cảnh báo quan trọng nhất. Khi cầu răng sứ bị lỏng, bạn có thể cảm nhận được sự di động bất thường khi ăn nhai hoặc chạm vào. Nguyên nhân có thể do xi măng nha khoa bị hỏng theo thời gian, trụ răng bị yếu hoặc bị sâu răng phía dưới cầu sứ. Nếu không xử lý kịp thời, cầu răng có thể tuột ra hoàn toàn, gây khó khăn trong ăn uống và làm tổn thương các răng lân cận.
Đau nhức hoặc nhạy cảm vùng trụ răng
Cảm giác đau nhức dai dẳng, nhất là khi ăn nóng lạnh hoặc đồ ngọt, có thể là dấu hiệu của sâu răng thứ phát ở các răng trụ. Điều này xảy ra khi vi khuẩn xâm nhập vào khe hở giữa cầu răng và răng thật, gây ra tình trạng sâu răng bên dưới. Nếu bỏ qua, răng trụ có thể bị tổn thương nghiêm trọng, thậm chí phải nhổ bỏ.
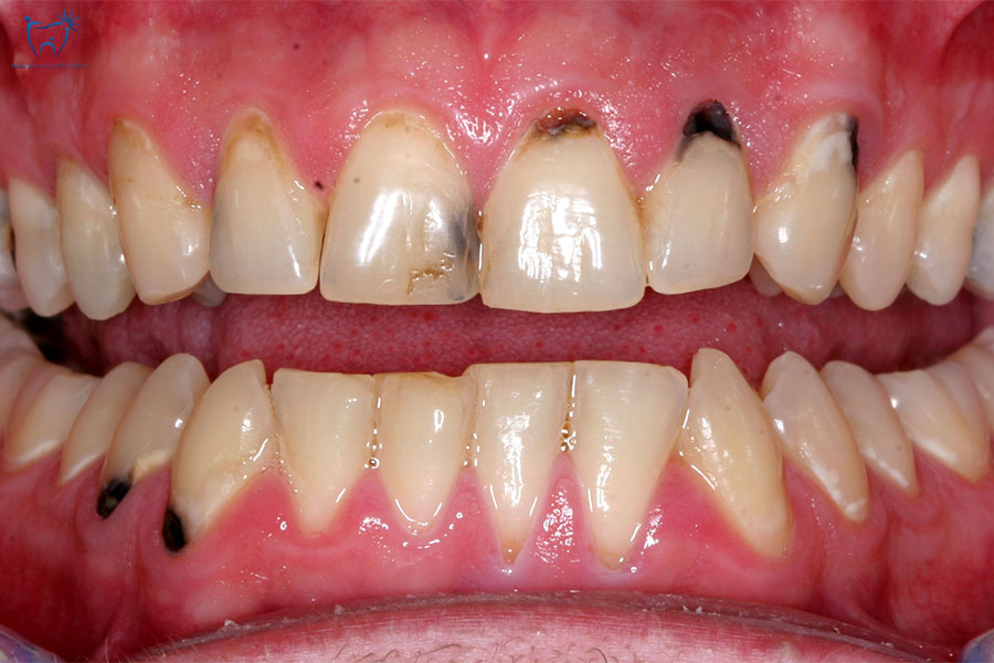
Viền nướu bị sưng, đỏ hoặc tụt lợi

Cận cảnh tình trạng viền nướu bị sưng đỏ và tụt lợi
Khi vệ sinh không đúng cách hoặc cầu răng không còn khít với nướu, vi khuẩn tích tụ gây viêm nướu. Dấu hiệu bao gồm nướu sưng đỏ, chảy máu khi chải răng, hoặc tụt nướu để lộ phần chân răng hoặc viền kim loại của cầu răng sứ kim loại. Tình trạng viêm nướu kéo dài có thể dẫn đến viêm nha chu, ảnh hưởng đến xương hàm và độ vững chắc của trụ răng.
Xuất hiện khe hở hoặc thức ăn mắc kẹt thường xuyên
Khe hở giữa cầu răng và nướu là nơi lý tưởng cho vi khuẩn phát triển. Nếu bạn nhận thấy thức ăn thường xuyên bị kẹt ở vị trí cầu răng, hoặc có mùi hôi khó chịu phát ra từ khu vực này dù đã vệ sinh sạch sẽ, đây có thể là dấu hiệu cầu răng không còn khít hoặc bị hư hỏng.
Răng sứ bị mẻ, vỡ hoặc nứt
Các vết nứt nhỏ ban đầu có thể lan rộng theo thời gian, đặc biệt khi bạn ăn thức ăn cứng hoặc nghiến răng vào ban đêm. Răng sứ bị mẻ vỡ không chỉ ảnh hưởng đến thẩm mỹ mà còn tạo ra các cạnh sắc có thể làm tổn thương lưỡi và má.
Đổi màu hoặc xuất hiện viền đen

Hiện tượng đen viền nướu và oxy hóa cầu răng sứ
Đối với cầu răng sứ kim loại, sau một thời gian sử dụng có thể xuất hiện viền đen ở ranh giới giữa sứ và nướu do kim loại bị oxy hóa. Ngoài ra, cầu răng có thể bị đổi màu, xỉn màu do thấm nước bọt, chất màu từ thực phẩm hoặc do chất lượng sứ kém.
Làm Cầu Răng Sứ Có Tốt Không?
Cầu răng sứ là giải pháp tốt cho trường hợp mất 1-2 răng liền kề, giúp phục hồi thẩm mỹ và chức năng ăn nhai hiệu quả. Chi phí thấp hơn Implant, thời gian thực hiện nhanh. Tuy nhiên, cần mài 2 răng khỏe mạnh làm trụ và không ngăn được tiêu xương hàm.
Ưu điểm của cầu răng sứ
- Khôi phục thẩm mỹ nhanh chóng: Cầu răng sứ có màu sắc tự nhiên, được thiết kế sao cho phù hợp với màu sắc và hình dáng của răng thật xung quanh. Đặc biệt với công nghệ sứ hiện đại như Emax, Cercon hay Katana, cầu răng sứ có thể tái tạo độ trong mờ và độ bóng tự nhiên giống răng thật, mang lại nụ cười tự tin cho người sử dụng.
- Phục hồi chức năng ăn nhai: Cầu răng sứ giúp phân bổ lại lực cắn nhai đồng đều, cho phép bạn ăn uống thoải mái hơn so với tình trạng thiếu răng. Khả năng chịu lực của cầu răng sứ khá tốt, đủ để xử lý hầu hết các loại thực phẩm thông thường.
- Thời gian điều trị ngắn: Chỉ cần 2-3 lần hẹn trong khoảng 7-10 ngày là bạn có thể hoàn tất quá trình làm cầu răng sứ. Điều này nhanh hơn rất nhiều so với cấy ghép Implant thường mất 3-6 tháng.
- Chi phí hợp lý hơn Implant: Cầu răng sứ có giá thành thấp hơn đáng kể so với cấy ghép Implant, phù hợp với nhiều đối tượng người bệnh có điều kiện kinh tế hạn chế nhưng vẫn mong muốn có được răng cố định thẩm mỹ.
- Không cần phẫu thuật: Khác với Implant đòi hỏi phẫu thuật cấy trụ titan vào xương hàm, cầu răng sứ chỉ cần mài răng và gắn cố định, phù hợp với những người sợ phẫu thuật hoặc có vấn đề sức khỏe không cho phép phẫu thuật.
Nhược điểm cần cân nhắc
- Phải mài răng thật khỏe mạnh: Đây là nhược điểm lớn nhất của phương pháp này. Để làm cầu răng sứ, bác sĩ phải mài 2 răng khỏe mạnh kế bên để làm trụ đỡ. Việc mài răng làm giảm lớp men răng tự nhiên, khiến răng trụ trở nên yếu hơn và nhạy cảm hơn. Trong một số trường hợp, răng trụ có thể cần phải lấy tủy nếu mài quá sâu.
- Không ngăn được tiêu xương hàm: Sau khi mất răng, xương hàm ở vị trí đó sẽ dần bị tiêu biến do không còn lực kích thích từ chân răng. Cầu răng sứ chỉ thay thế phần thân răng bên trên nướu, không có chân răng đi sâu vào xương như Implant, do đó không thể ngăn chặn quá trình tiêu xương này. Theo thời gian, xương hàm tại vị trí mất răng sẽ tiếp tục tiêu, có thể gây lún nướu và tạo khe hở giữa cầu răng và nướu.
- Tuổi thọ hạn chế: Như đã đề cập, cầu răng sứ thường chỉ bền từ 7-15 năm, trong khi Implant có thể tồn tại suốt đời. Điều này có nghĩa bạn sẽ cần phải thay thế cầu răng sau một thời gian, tốn thêm chi phí và thời gian.
- Khó vệ sinh: Vùng dưới thân cầu răng (pontic) tiếp giáp với nướu rất khó làm sạch bằng bàn chải răng thông thường. Bạn cần sử dụng các dụng cụ chuyên dụng như chỉ nha khoa siêu mịn, tăm nước hoặc bàn chải kẽ răng để vệ sinh khu vực này, nếu không vi khuẩn tích tụ gây viêm nướu và hôi miệng.
- Nguy cơ ảnh hưởng đến răng trụ: Nếu cầu răng không được làm đúng kỹ thuật hoặc vệ sinh không tốt, các răng trụ có nguy cơ bị sâu răng thứ phát, viêm tủy hoặc yếu đi theo thời gian. Trong trường hợp xấu nhất, khi răng trụ bị hỏng nghiêm trọng, bạn có thể mất luôn cả răng trụ, dẫn đến tình trạng mất thêm răng.
Khi nào nên chọn cầu răng sứ?
Cầu răng sứ phù hợp với các trường hợp:
- Mất 1-2 răng liền kề, có 2 răng kế bên khỏe mạnh để làm trụ
- Xương hàm không đủ điều kiện để cấy Implant hoặc không muốn phẫu thuật
- Ngân sách hạn chế, không đủ chi phí cho Implant
- Cần phục hồi răng nhanh chóng trong thời gian ngắn
- Hai răng kế bên đã được bọc sứ hoặc có độn trám lớn, việc mài để làm trụ cầu không ảnh hưởng nhiều
Cầu Răng Sứ Sử Dụng Được Bao Lâu Cần Thay Mới?

Bác sĩ kiểm tra định kỳ cầu răng sứ
Cầu răng sứ cần được kiểm tra định kỳ 6 tháng/lần và thay mới khi xuất hiện dấu hiệu hư hỏng như lỏng, đau nhức, viêm nướu hoặc sau 10-15 năm sử dụng. Thời điểm thay phụ thuộc vào chất lượng cầu răng, chăm sóc và tình trạng răng trụ.
Thời điểm khuyến nghị thay cầu răng sứ
- Sau 7-10 năm sử dụng: Đây là mốc thời gian trung bình mà hầu hết các cầu răng sứ bắt đầu có dấu hiệu xuống cấp. Ngay cả khi cầu răng vẫn còn ổn định, bạn nên đến nha khoa để bác sĩ kiểm tra kỹ lưỡng tình trạng của cầu răng và răng trụ bên dưới bằng phim X-quang.
- Khi xuất hiện bất kỳ dấu hiệu bất thường nào: Đừng chờ đợi đến khi cầu răng tuột ra hoàn toàn. Nếu bạn cảm thấy bất kỳ triệu chứng nào như đã liệt kê ở phần “Dấu hiệu cầu răng sứ hết hạn”, hãy đến nha khoa ngay lập tức để được kiểm tra và xử lý kịp thời.
- Trước khi có kế hoạch làm răng vùng lân cận: Nếu bạn có kế hoạch điều trị các răng ở vùng lân cận hoặc thay đổi cấu trúc răng miệng, nên xem xét việc thay cầu răng sứ để đảm bảo sự hài hòa về màu sắc và hình dáng.
Quy trình thay cầu răng sứ mới
Khi đến thời điểm cần thay cầu răng sứ, bác sĩ sẽ thực hiện các bước sau:
- Kiểm tra toàn diện: Chụp phim X-quang để đánh giá tình trạng răng trụ, xương hàm và các cấu trúc xung quanh.
- Tháo cầu răng cũ: Bác sĩ sẽ cắt và tháo bỏ cầu răng cũ một cách cẩn thận để không làm tổn thương răng trụ.
- Đánh giá răng trụ: Kiểm tra xem các răng trụ còn đủ khỏe để tiếp tục làm cầu mới hay không. Nếu răng trụ bị sâu hoặc yếu, cần điều trị trước.
- Làm cầu mới: Quy trình tương tự như lần đầu tiên, bao gồm lấy dấu, chế tạo cầu mới và gắn cố định.
- Theo dõi và điều chỉnh: Hẹn tái khám để kiểm tra độ khít, khớp cắn và sức khỏe răng miệng sau khi gắn cầu mới.
Có thể kéo dài tuổi thọ cầu răng sứ không?
CÓ. Với chế độ chăm sóc đúng cách, nhiều trường hợp cầu răng sứ có thể sử dụng lên đến 15 năm hoặc hơn. Điều quan trọng là:
- Vệ sinh răng miệng đúng cách và đầy đủ mỗi ngày
- Khám răng định kỳ 6 tháng/lần để phát hiện sớm các vấn đề
- Tránh các thói quen có hại như nghiến răng, cắn đồ cứng
- Điều trị kịp thời các bệnh lý răng miệng như sâu răng, viêm nướu
So Sánh Tuổi Thọ Cầu Răng Sứ Và Các Phương Pháp Khác
Implant có tuổi thọ cao nhất (25+ năm đến suốt đời), cầu răng sứ trung bình 7-15 năm, hàm giả tháo lắp 5-8 năm. Mỗi phương pháp có ưu nhược điểm riêng về chi phí, thẩm mỹ và độ bền, phù hợp với nhu cầu khác nhau.
| Phương pháp | Tuổi thọ | Ưu điểm | Nhược điểm | Chi phí |
| Cấy ghép Implant | 25+ năm đến suốt đời | Độ bền cao nhất, ngăn tiêu xương, không mài răng thật | Chi phí cao, thời gian lâu, cần phẫu thuật | 20-40 triệu/răng |
| Cầu răng sứ | 7-15 năm | Chi phí hợp lý, nhanh chóng, không phẫu thuật | Phải mài răng thật, không ngăn tiêu xương | 2,5-10,5 triệu/răng |
| Hàm giả tháo lắp | 5-8 năm | Chi phí thấp nhất, không xâm lấn | Kém thẩm mỹ, ăn nhai khó khăn, không ngăn tiêu xương | 3-15 triệu/hàm |
| Cầu răng trên Implant | 15-25 năm | Kết hợp ưu điểm Implant và cầu, không mài răng | Chi phí cao, cần phẫu thuật | 30-60 triệu/đơn vị |
So sánh chi tiết
- Cầu răng sứ và Implant: Nghiên cứu từ Clinical Oral Implants Research cho thấy implant có tỷ lệ sống sót 10 năm là 93-98%, vượt trội hơn cầu răng sứ (72-87%). Tuy nhiên, chi phí ban đầu của implant cao gấp 2-3 lần.
- Cầu răng sứ và Hàm tháo lắp: Cầu răng cố định mang lại cảm giác tự nhiên và khả năng ăn nhai tốt hơn nhiều so với hàm tháo lắp. Hàm tháo lắp có tuổi thọ ngắn (3-5 năm) và cần điều chỉnh thường xuyên do tiêu xương.
- Chi phí dài hạn: Dù implant đắt hơn ban đầu, nếu tính cả chi phí thay cầu răng 2-3 lần trong đời, implant có thể tiết kiệm hơn về lâu dài.
Yếu Tố Ảnh Hưởng Đến Tuổi Thọ Cầu Răng Sứ

Kiểm tra định kỳ để tăng tuổi thọ cầu răng sứ
Vị Trí Răng Cần Phục Hình
- Răng cửa (răng trước): Tuổi thọ thường dài hơn vì chịu lực nhai nhỏ, chủ yếu cắn nhẹ. Cầu răng ở vị trí này có thể đạt 10-15 năm.
- Răng hàm (răng sau): Chịu lực nhai lớn (lực nhai có thể lên đến 70-80kg ở răng hàm), mòn nhanh hơn, tuổi thọ trung bình 7-10 năm.
Nghiên cứu cho thấy cầu răng ở vùng hàm có nguy cơ mẻ sứ cao hơn 2-3 lần so với vùng răng cửa.
Chất Lượng Răng Trụ
Răng trụ khỏe mạnh là yếu tố quan trọng nhất. Răng cần đáp ứng:
- Không bị sâu hoặc đã điều trị sâu răng triệt để
- Chân răng vững chắc, không bị viêm nha chu
- Đủ chiều cao và độ dày để chịu lực sau khi mài
- Không bị lung lay từ trước
Răng trụ yếu (sâu sâu, viêm tủy, mất xương nhiều) không thể chịu áp lực từ cầu răng, dẫn đến thất bại sớm.
Chất Liệu Mão Sứ
Răng sứ kim loại (PFM):

Cấu trúc răng sứ kim loại
- Độ bền cao, chịu lực tốt
- Phù hợp răng hàm
- Nhược điểm: Có thể bị đen viền nướu, không trong như răng thật
- Tuổi thọ: 7-10 năm
Răng toàn sứ Zirconia:

Phôi sứ VITAPLUS Zirconia đa lớp từ Hàn Quốc
- Cực kỳ bền, chống mài mòn tốt
- Màu sắc tự nhiên, không đổi màu
- Phù hợp mọi vị trí
- Tuổi thọ: 10-15 năm
Răng toàn sứ Emax:
- Thẩm mỹ đỉnh cao, trong mờ như răng thật
- Độ bền tốt nhưng kém hơn Zirconia
- Phù hợp răng cửa
- Tuổi thọ: 7-10 năm
Răng sứ cao cấp (Lava, Cercon HT):
- Kết hợp thẩm mỹ và độ bền cao
- Công nghệ CAD/CAM chính xác
- Tuổi thọ: 10-15 năm
Tay Nghề Bác Sĩ Thực Hiện

Bác sĩ thực hiện dán Veneer tại Nha Khoa Quốc Tế SG
Bác sĩ giỏi đảm bảo:
- Mài răng đúng tỷ lệ (thường 1.5-2mm), không quá nhiều gây yếu răng
- Thiết kế cầu răng sát khít, không có khe hở cho vi khuẩn xâm nhập
- Lựa chọn vật liệu phù hợp với từng trường hợp
- Kiểm tra khớp cắn chính xác, tránh quá tải một bên
Bác sĩ kém có thể:
- Mài răng quá nhiều làm yếu hoặc viêm tủy
- Cầu răng không khít, dễ bong, thức ăn vào làm sâu răng trụ
- Chọn sai vật liệu, dẫn đến vỡ sớm
Nghiên cứu trên BMC Oral Health cho thấy kinh nghiệm của bác sĩ là yếu tố ảnh hưởng đáng kể đến tỷ lệ biến chứng.
Chế Độ Chăm Sóc Sau Phục Hình

Dụng cụ chăm sóc răng sứ
Vệ sinh răng miệng tốt:
- Đánh răng 2 lần/ngày bằng bàn chải lông mềm
- Dùng chỉ nha khoa hoặc tăm nước mỗi ngày
- Súc miệng nước muối hoặc nước súc miệng kháng khuẩn
- Tái khám định kỳ 6 tháng/lần
Chế độ ăn uống:
- Tránh thức ăn quá cứng (đá, xương, kẹo cứng)
- Hạn chế thức ăn dính (kẹo dẻo, bánh nếp)
- Không dùng răng mở nắp chai, cắn chỉ
- Chia nhỏ thức ăn trước khi nhai
Thói quen sinh hoạt:
- Bỏ thuốc lá (làm tăng nguy cơ viêm nha chu)
- Đeo hàm night guard nếu nghiến răng ban đêm
- Tránh tai nạn va chạm mạnh vào vùng hàm mặt
Một nghiên cứu 30 năm so sánh xi măng nha khoa cho thấy vệ sinh răng miệng đúng cách làm tăng tỷ lệ thành công từ 43.5% lên 55.4%.
Tốc Độ Tiêu Xương Hàm
Mỗi người có tốc độ tiêu xương khác nhau do:
- Di truyền: Một số người có cấu trúc xương chắc khỏe hơn
- Tuổi tác: Người cao tuổi tiêu xương nhanh hơn
- Bệnh lý toàn thân: Tiểu đường, loãng xương làm tăng tốc độ tiêu xương
- Thời gian mất răng: Mất răng càng lâu, tiêu xương càng nhiều
Khi xương hàm tiêu nhiều, răng trụ mất điểm tựa, cầu răng sẽ bị lỏng và tuổi thọ giảm đáng kể.
Nha khoa bắc cầu răng sứ uy tín Quận 10

Cơ sở vật chất tại Nha Khoa Quốc Tế SG
Nếu bạn đang tìm kiếm một địa chỉ tin cậy, minh bạch về thông tin và tuân thủ các quy chuẩn vô trùng khắt khe, Nha Khoa Quốc Tế SG là điểm đến uy tín tại TP.HCM.
- Minh bạch phác đồ: Bác sĩ sẽ chụp CT ConeBeam để đánh giá xương và răng trụ, thông báo rõ ràng tỷ lệ thành công và tuổi thọ dự kiến của cầu răng trước khi thực hiện.
- Vật liệu chính hãng: Cam kết sử dụng sứ có nguồn gốc rõ ràng (thẻ bảo hành IDPI chính hãng).
- Kỹ thuật xâm lấn tối thiểu: Ứng dụng công nghệ mài răng hiện đại, bảo tồn tối đa mô răng thật, hạn chế ê buốt.
- Bảo hành rõ ràng: Chế độ bảo hành dài hạn cho các dòng răng toàn sứ.
Nếu bạn muốn biết thêm thông tin về tình trạng cá nhân để bắc cầu răng sứ, hãy liên hệ 0902 759 406 – 0396 877 518 ngay để được nhận tư vấn miễn phí ngay nhé.
Tài liệu tham khảo
- Cleveland Clinic. (2023). Dental Bridges: Procedure, Types, Risks & Recovery. Truy cập tại: my.clevelandclinic.org
- American Dental Association (ADA). Bridges. MouthHealthy.org.
- Pjetursson, B. E., et al. (2007). A systematic review of the survival and complication rates of fixed partial dentures (FPDs) after an observation period of at least 5 years. Clinical Oral Implants Research.
- The International Team for Implantology (ITI). Treatment Guide regarding Bridge vs Implant.
