Viêm lợi sau làm cầu răng sứ là tình trạng thường gặp nhưng hoàn toàn có thể phòng ngừa và điều trị nếu phát hiện sớm. Nha Khoa Quốc Tế SG cung cấp hướng dẫn chi tiết từ các chuyên gia nha khoa, giúp bạn hiểu rõ nguyên nhân, nhận biết dấu hiệu và thực hiện các giải pháp điều trị đúng cách.
Thông Tin Quan Trọng
| Yếu Tố | Chi Tiết |
| Tỷ lệ gặp viêm lợi | 15 – 30% trường hợp làm cầu răng sứ |
| Thời gian xuất hiện triệu chứng | 3 – 6 tháng sau làm cầu (có thể sớm hơn) |
| Khoảng sinh học chuẩn | 2 – 3mm từ xương ổ răng đến mép mão sứ |
| Tỷ lệ dị ứng kim loại Niken | 10 – 20% dân số (cao hơn ở nữ giới) |
| Thời gian điều trị | 1 – 3 tuần (viêm nhẹ) đến 2-3 tháng (viêm nặng) |
| Chi phí xử lý ước tính | 2 – 15 triệu VNĐ tùy mức độ |
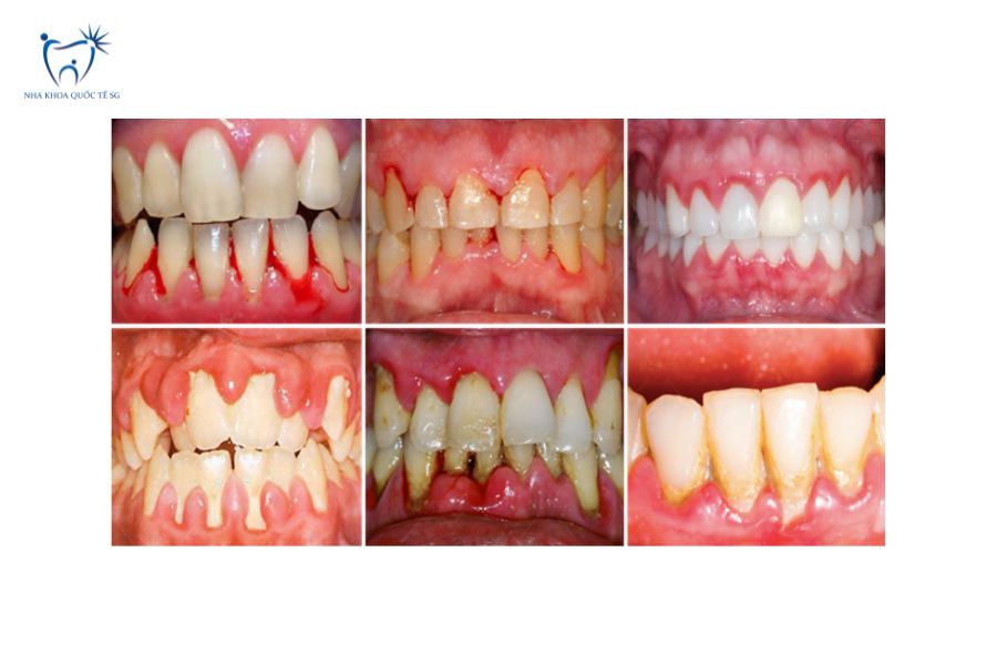
Viêm Lợi Sau Làm Cầu Răng Sứ Là Gì?

Tình trạng lợi bị viêm nhiễm và lợi khỏe mạnh
Viêm lợi sau làm cầu răng sứ là tình trạng viêm nhiễm, sưng đỏ và đau đớn xảy ra ở vùng nướu xung quanh cầu răng sứ. Đây là biến chứng phổ biến khi kỹ thuật phục hình không đúng chuẩn hoặc vệ sinh răng miệng không đúng cách sau phục hình. Theo nghiên cứu từ American Academy of Periodontology, khoảng 15-30% bệnh nhân làm cầu răng sứ có thể gặp tình trạng viêm lợi ở các mức độ khác nhau.
Dấu Hiệu Làm Cầu Răng Sứ Bị Viêm Lợi
Nhận biết sớm các dấu hiệu viêm lợi sau làm cầu răng sứ là chìa khóa để điều trị hiệu quả và tránh các biến chứng nghiêm trọng. Dưới đây là những triệu chứng cảnh báo bạn cần lưu ý:
Các Triệu Chứng Viêm Lợi Phổ Biến

Chân răng chảy máu do cầu răng sứ bị viêm
- Sưng đỏ vùng nướu: Nướu xung quanh cầu răng sứ sẽ có màu đỏ sậm thay vì hồng khỏe mạnh, cảm giác căng phồng và nhạy cảm khi chạm vào. Đây là dấu hiệu viêm nhiễm ban đầu do vi khuẩn tích tụ hoặc do kích ứng từ mão sứ.
- Chảy máu khi đánh răng hoặc dùng chỉ nha khoa: Theo nghiên cứu của Hiệp hội Nha chu Hoa Kỳ (American Academy of Periodontology), chảy máu nướu là dấu hiệu cảnh báo viêm nha chu giai đoạn đầu. Nếu bạn thấy máu khi đánh răng vùng cầu sứ, đây là tín hiệu cần khám ngay.
- Đau nhức âm ỉ hoặc đau khi ăn nhai: Cảm giác đau có thể xuất hiện khi ăn thức ăn cứng hoặc khi nhai ở vùng cầu răng. Đau nhức kéo dài cho thấy tình trạng viêm đã ảnh hưởng đến mô sâu hơn.
- Hơi thở có mùi khó chịu: Mùi hôi miệng dai dẳng ngay cả sau khi vệ sinh răng miệng kỹ càng có thể do vi khuẩn phân hủy mảng bám và thức ăn tích tụ dưới cầu răng hoặc ở khe hở giữa mão sứ và nướu.
- Tụt nướu, lộ chân răng hoặc mép mão sứ: Khi viêm lợi kéo dài không được điều trị, nướu sẽ bị tụt dần, để lộ phần chân răng hoặc đường viền kim loại của mão sứ (nếu sử dụng sứ kim loại). Điều này không chỉ ảnh hưởng thẩm mỹ mà còn là dấu hiệu của viêm nha chu nghiêm trọng.
- Có mủ hoặc dịch tiết ra từ nướu: Đây là dấu hiệu nhiễm trùng nặng. Mủ thường xuất hiện khi vi khuẩn xâm nhập sâu vào túi nha chu và gây nhiễm trùng cấp tính. Bạn cần điều trị khẩn cấp trong trường hợp này.
- Cầu răng lung lay hoặc cảm giác lỏng lẻo: Khi viêm lợi tiến triển thành viêm nha chu và ảnh hưởng đến xương ổ răng, các răng trụ đỡ cầu có thể bị lung lay. Đây là giai đoạn nguy hiểm có thể dẫn đến mất răng trụ.
Làm sao biết cầu răng sứ bị viêm lợi?
Dấu hiệu cầu răng sứ bị viêm lợi bao gồm nướu sưng đỏ, chảy máu khi đánh răng, đau nhức khi ăn nhai, hơi thở hôi, tụt nướu lộ chân răng, có mủ tiết ra, và cầu răng lung lay. Nếu xuất hiện từ 2 triệu chứng trở lên, bạn nên đến nha sĩ kiểm tra ngay.
Nguyên Nhân Cầu Răng Sứ Bị Viêm Lợi
Hiểu rõ nguyên nhân giúp bạn phòng tránh và xử lý hiệu quả. Viêm lợi sau làm cầu răng sứ có thể đến từ nhiều yếu tố khác nhau, được chia thành hai nhóm chính:
Nhóm Nguyên Nhân Do Kỹ Thuật và Vật Liệu

Mô hình cầu răng sứ không khít sát với cùi răng
- Mão sứ không khít sát với cùi răng: Đây là nguyên nhân hàng đầu gây viêm lợi. Khi có khe hở giữa mão sứ và cùi răng, vi khuẩn và thức ăn sẽ dễ dàng xâm nhập vào, tạo môi trường lý tưởng cho vi khuẩn sinh sôi. Nghiên cứu trên tạp chí Journal of Prosthetic Dentistry cho thấy mão sứ không khít là nguyên nhân của hơn 40% trường hợp viêm lợi sau phục hình.
- Vi phạm khoảng sinh học (Biological Width Violation): Khoảng sinh học là khoảng cách tự nhiên từ đỉnh xương ổ răng đến rãnh nướu, thường dao động từ 2-3mm. Theo nghiên cứu công bố trên National Center for Biotechnology Information (NCBI), khi mão sứ lấn sâu xuống dưới nướu quá mức cho phép, nó sẽ xâm phạm vào khoảng sinh học này, gây kích ứng mãn tính và viêm nhiễm. Cơ thể sẽ phản ứng bằng cách tạo viêm để đẩy vật lạ ra ngoài hoặc làm tiêu xương ổ răng để tránh xa mão sứ.
- Vật liệu sứ kim loại gây kích ứng: Sứ kim loại thường có chứa các kim loại như Niken, Crom, Coban. Theo Trung tâm Kiểm soát và Phòng ngừa Dịch bệnh Hoa Kỳ (CDC), khoảng 10-20% dân số bị dị ứng với Niken. Nghiên cứu trên PubMed cho thấy phụ nữ có tỷ lệ dị ứng kim loại cao gấp 4-10 lần nam giới. Khi cơ thể dị ứng với kim loại trong mão sứ, phản ứng viêm mạn tính sẽ xảy ra liên tục ở vùng nướu tiếp xúc.
- Xi măng gắn (keo dán) dư thừa: Trong quá trình gắn cầu răng sứ, nếu bác sĩ không làm sạch hoàn toàn lượng xi măng dư thừa ở dưới nướu, chúng sẽ trở thành “ổ” vi khuẩn lý tưởng. Nghiên cứu trên Clinical Oral Implants Research chỉ ra rằng xi măng dư thừa là yếu tố nguy cơ chính gây viêm nha chu xung quanh phục hình. Bề mặt nhám của xi măng giúp vi khuẩn bám dính dễ dàng và khó vệ sinh.
Nhóm Nguyên Nhân Từ Tình Trạng Răng Miệng

Bệnh lý răng miệng cần điều trị trước khi gắn cầu răng sứ
- Bệnh lý răng miệng chưa được điều trị triệt để: Nếu bạn đã có viêm nướu hoặc viêm nha chu trước khi làm cầu răng sứ nhưng chưa được điều trị dứt điểm, tình trạng này sẽ tiếp tục tiến triển và trở nên nghiêm trọng hơn sau khi có cầu sứ. Cầu răng sứ sẽ làm cho việc vệ sinh khó khăn hơn, tạo điều kiện cho vi khuẩn phát triển mạnh.
- Vệ sinh răng miệng không đúng cách: Cầu răng sứ có cấu trúc phức tạp với nhiều kẽ hở khó vệ sinh, đặc biệt là vùng bên dưới nhịp cầu (phần răng giả nối giữa hai răng trụ). Theo Hiệp hội Nha khoa Hoa Kỳ (American Dental Association), nếu không sử dụng chỉ nha khoa đặc biệt hoặc máy tăm nước để làm sạch vùng này, mảng bám và vi khuẩn sẽ tích tụ dày đặc, dẫn đến viêm lợi và viêm nha chu.
- Răng trụ bị quá tải lực ăn nhai: Khi mất răng và làm cầu, toàn bộ lực nhai từ ba răng (hoặc nhiều hơn) sẽ tập trung vào hai răng trụ. Nếu thiết kế cầu không hợp lý hoặc bạn có thói quen nghiến răng, nghiến răng, lực quá mức này có thể gây chấn thương cho mô nha chu, dẫn đến viêm nhiễm.
- Phản ứng tự nhiên của cơ thể – cơ địa nhạy cảm: Một số người có cơ địa nhạy cảm hơn với vật liệu phục hình hoặc có hệ miễn dịch phản ứng mạnh hơn với vi khuẩn trong miệng. Những người này dễ bị viêm lợi hơn ngay cả khi vệ sinh răng miệng tốt.
Tại sao làm cầu răng sứ lại bị viêm lợi?
Nguyên nhân viêm lợi sau làm cầu răng sứ bao gồm: mão sứ không khít tạo khe hở cho vi khuẩn, vi phạm khoảng sinh học 2-3mm gây kích ứng, dị ứng kim loại Niken/Crom (10-20% dân số), xi măng dư thừa, vệ sinh kém và bệnh nha chu có sẵn chưa điều trị.
Hậu Quả Nếu Không Điều Trị Viêm Lợi Kịp Thời

Nguy cơ mất răng nếu không điều trị viêm lợi kịp thời
Viêm lợi không chỉ là vấn đề tạm thời mà có thể dẫn đến hàng loạt hậu quả nghiêm trọng nếu không được xử lý đúng cách và kịp thời:
- Tiến triển thành viêm nha chu: Viêm lợi là giai đoạn đầu của bệnh nha chu. Nếu không điều trị, viêm nhiễm sẽ lan sâu vào dây chằng nha chu và xương ổ răng, gây viêm nha chu (periodontitis). Theo Tổ chức Y tế Thế giới (WHO), viêm nha chu là nguyên nhân hàng đầu gây mất răng ở người trưởng thành.
- Tiêu xương ổ răng quanh răng trụ: Khi viêm nhiễm lan sâu, vi khuẩn và các chất độc từ chúng sẽ phá hủy xương ổ răng đỡ răng trụ. Chụp phim X-quang sẽ thấy rõ hiện tượng tiêu xương – xương bị mất đi xung quanh chân răng. Quá trình này diễn ra âm thầm nhưng gây hậu quả không thể đảo ngược.
- Răng trụ lung lay và nguy cơ mất răng: Khi xương ổ bị tiêu đi nhiều, răng trụ sẽ mất độ ổn định, bắt đầu lung lay. Ở giai đoạn này, không chỉ mất cầu răng sứ mà cả răng trụ cũng có nguy cơ phải nhổ bỏ. Điều này đồng nghĩa với việc bạn sẽ mất nhiều răng hơn và phải đầu tư chi phí cao hơn để phục hình lại.
- Nhiễm trùng lan rộng: Trong một số trường hợp nghiêm trọng, nhiễm trùng từ nướu có thể lan sang các mô mềm khác trong khoang miệng, thậm chí vào xương hàm gây áp xe. Nhiễm trùng nặng có thể ảnh hưởng đến sức khỏe toàn thân, đặc biệt nguy hiểm với người có bệnh lý nền như tiểu đường, tim mạch.
- Ảnh hưởng đến thẩm mỹ: Tụt nướu do viêm lợi mạn tính sẽ làm lộ chân răng, tạo ra “răng tam giác” với kẽ đen giữa các răng. Nếu sử dụng sứ kim loại, đường viền kim loại sẫm màu sẽ lộ rõ ở chân răng, ảnh hưởng nghiêm trọng đến thẩm mỹ nụ cười.
- Tăng chi phí điều trị: Càng để lâu, chi phí điều trị càng tăng cao. Từ chỉ cần cạo vôi răng đơn giản (1-2 triệu), bạn có thể phải tháo cầu, điều trị nha chu, thậm chí nhổ răng và cấy implant (20-50 triệu cho mỗi implant).
Cách Xử Lý Khi Cầu Răng Sứ Bị Viêm Lợi
Điều trị viêm lợi sau làm cầu răng sứ cần tuân theo quy trình làm cầu răng sứ chuyên nghiệp và phụ thuộc vào mức độ viêm nhiễm:
Bước 1: Thăm Khám và Xác Định Chính Xác Nguyên Nhân
Bác sĩ nha khoa sẽ thực hiện các bước sau để chẩn đoán chính xác:
- Khám lâm sàng tỉ mỉ: Bác sĩ sẽ kiểm tra độ khít sát của mão sứ bằng cách dùng đầu dò nha chu để đo độ sâu túi nha chu xung quanh cầu răng. Túi nha chu khỏe mạnh thường có độ sâu 1-3mm. Nếu túi sâu hơn 4mm, đây là dấu hiệu viêm nha chu. Bác sĩ cũng sẽ kiểm tra xem có chảy máu khi thăm dò không, có mủ tiết ra hay không.
- Chụp phim X-quang: Phim X-quang giúp đánh giá tình trạng xương ổ răng xung quanh răng trụ, phát hiện tiêu xương, sâu răng ở chân răng trụ hoặc các vấn đề khác không thể quan sát bằng mắt thường. Phim X-quang cũng giúp xác định xem có xi măng dư thừa bị mắc kẹt dưới nướu hay không.
- Đánh giá khoảng sinh học: Bác sĩ sẽ đo khoảng cách từ mép mão sứ đến đỉnh xương ổ răng (thông qua phim X-quang hoặc thăm dò) để xác định có vi phạm khoảng sinh học hay không. Nếu khoảng cách này nhỏ hơn 2mm, đây là nguyên nhân chính gây viêm lợi mãn tính.
- Test dị ứng (nếu cần): Nếu nghi ngờ dị ứng kim loại, bác sĩ có thể yêu cầu xét nghiệm máu để xác định. Bạn cũng có thể yêu cầu xem giấy chứng nhận Identalloy – giấy tờ từ phòng lab nha khoa ghi rõ thành phần kim loại trong mão sứ của bạn.
Bước 2: Lựa Chọn Phương Pháp Điều Trị Phù Hợp
Tùy vào mức độ viêm và nguyên nhân, bác sĩ sẽ đưa ra phương án điều trị thích hợp:
Trường Hợp Viêm Nhẹ Do Mảng Bám
Nếu viêm lợi ở giai đoạn đầu và nguyên nhân chính là do vệ sinh răng miệng kém, không có vấn đề về kỹ thuật phục hình:
- Cạo vôi răng và làm sạch chuyên sâu: Bác sĩ sẽ sử dụng máy siêu âm và dụng cụ nha khoa chuyên dụng để loại bỏ toàn bộ mảng bám, cao răng (tartar) tích tụ xung quanh cầu răng sứ và dưới đường viền nướu. Với trường hợp túi nha chu sâu, có thể cần cạo nạo nha chu (scaling and root planing) – làm sạch sâu dưới nướu và làm nhẵn bề mặt chân răng để vi khuẩn khó bám trở lại.
- Hướng dẫn vệ sinh đúng cách: Bác sĩ sẽ chỉ dạy kỹ thuật đánh răng đúng, sử dụng chỉ nha khoa – loại chỉ đặc biệt có đầu cứng luồn qua được dưới nhịp cầu, hoặc máy tăm nước (water flosser) để làm sạch hiệu quả vùng khó vệ sinh.
- Kê đơn thuốc hỗ trợ: Có thể kê kháng sinh uống (nếu có nhiễm trùng), thuốc súc miệng có chứa Chlorhexidine 0.12% để diệt khuẩn, và thuốc chống viêm giảm đau.
- Tái khám định kỳ: Sau 2-4 tuần, bạn cần quay lại để bác sĩ đánh giá lại tình trạng nướu. Nếu viêm đã giảm rõ rệt, chỉ cần duy trì vệ sinh cầu răng sứ tốt và tái khám định kỳ 3-6 tháng/lần.
Trường Hợp Do Kỹ Thuật Phục Hình Sai
Khi nguyên nhân là do mão sứ không khít, vi phạm khoảng sinh học, xi măng dư thừa hoặc dị ứng vật liệu, giải pháp duy nhất là:
- Tháo bỏ cầu răng sứ cũ: Đây là quyết định cần thiết để giải quyết triệt để vấn đề. Bác sĩ sẽ cẩn thận tháo cầu sứ ra khỏi răng trụ. Quá trình này cần kỹ thuật cao để tránh làm tổn thương răng trụ.
- Điều trị viêm lợi, viêm nha chu: Sau khi tháo cầu, bác sĩ sẽ tiến hành làm sạch toàn bộ vùng viêm nhiễm, loại bỏ xi măng dư thừa (nếu có), cạo nạo sâu túi nha chu. Trong trường hợp tiêu xương nhiều, có thể cần phẫu thuật nha chu như mổ vạt để tiếp cận và làm sạch sâu hơn, hoặc ghép xương tái tạo nha chu (nếu điều kiện cho phép).
- Sửa soạn lại cùi răng (nếu cần): Nếu răng trụ bị sâu hoặc cùi răng cũ không còn đảm bảo, bác sĩ sẽ điều trị lại, mài sửa lại cùi răng cho phù hợp. Đặc biệt lưu ý đến việc tôn trọng khoảng sinh học – mép cùi răng phải cách đỉnh xương ổ răng tối thiểu 2-3mm.
- Lấy dấu và làm cầu răng sứ mới: Sau khi nướu ổn định (thường sau 2-4 tuần), bác sĩ sẽ lấy dấu chính xác và gửi đến phòng lab để chế tạo cầu răng mới. Nên ưu tiên các dòng sứ toàn sứ cao cấp như sứ Zirconia, sứ Emax hoặc ít nhất là sứ kim loại quý (chứa vàng, bạch kim) thay vì sứ kim loại thường để tránh dị ứng và đảm bảo tính tương thích sinh học tốt nhất.
- Gắn tạm và theo dõi: Trước khi gắn cầu chính thức, bác sĩ có thể cho bạn đeo cầu tạm để kiểm tra độ vừa vặn, màu sắc, cảm giác khi ăn nhai. Khi mọi thứ đều ổn, mới tiến hành gắn cầu vĩnh viễn bằng xi măng chất lượng cao và loại bỏ cẩn thận xi măng thừa.
Case Study Thực Tế Tại Nha Khoa Quốc Tế SG

Bệnh nhân bị viêm lợi điều trị tại Nha Khoa Quốc Tế SG
Để minh họa rõ hơn về quy trình điều trị, chúng tôi xin chia sẻ một ca điển hình:
Thông tin bệnh nhân: Bệnh nhân N.V.A, 45 tuổi, đến phòng khám Nha Khoa Quốc Tế SG với triệu chứng đau nhức, sưng nướu nghiêm trọng ở vùng cầu răng hàm dưới bên trái và viêm nướu thêm vùng răng cửa. Cầu răng này đã làm được 7 năm tại một nha khoa khác.
Chẩn đoán: Qua thăm khám lâm sàng và chụp phim X-quang panorama, chúng tôi phát hiện:
- Viêm lợi nặng với mủ và chảy máu nhiều xung quanh cầu răng
- Cầu răng 3 đơn vị (thay thế răng số 6 bằng cách lấy răng 5 và 7 làm trụ)
- Răng trụ số 5 bị tiêu xương ổ răng nghiêm trọng (mất hơn 60% xương), lung lay độ 2-3
- Răng trụ số 7 còn tương đối ổn định nhưng cũng bị viêm nha chu
- Mão sứ không khít sát, có khe hở cho phép thăm dò bằng đầu dò nha khoa
- Xi măng dư thừa nằm sâu dưới nướu
Phương án điều trị:
- Tháo bỏ cầu răng sứ cũ
- Nhổ răng trụ số 5 vì không thể bảo tồn do tiêu xương quá nhiều
- Điều trị viêm nha chu cho răng số 7, cạo vôi, làm sạch túi nha chu
- Chờ 3 tháng để nướu và xương ổ ổn định
- Cấy 2 trụ Implant vị trí răng 5 và 6
- Làm 2 mão sứ Zirconia trên 2 implant và 1 mão sứ Zirconia trên răng trụ số 7
Kết quả: Sau 6 tháng hoàn thành điều trị, bệnh nhân hoàn toàn hết viêm lợi, ăn nhai tốt, thẩm mỹ đẹp tự nhiên. Bệnh nhân được hướng dẫn sử dụng chỉ nha khoa và máy tăm nước để vệ sinh, tái khám định kỳ 6 tháng/lần. Sau 2 năm theo dõi, tình trạng nha chu ổn định tốt, không tái phát viêm lợi.
Kinh nghiệm khi làm cầu răng sứ: Ca này cho thấy tầm quan trọng của việc chẩn đoán chính xác và lựa chọn phương án điều trị phù hợp. Mặc dù phải nhổ 1 răng trụ và chi phí cao hơn, nhưng giải pháp implant giúp bệnh nhân có được hệ thống răng độc lập, không phụ thuộc vào răng bên cạnh, vệ sinh dễ dàng hơn và ngăn chặn hoàn toàn tình trạng viêm lợi tái phát.
Xem thêm trải nghiệm khách hàng tại Nha Khoa Quốc Tế SG
Câu Trả Lời Nhanh: Cầu răng sứ bị viêm lợi phải làm sao?
Khi cầu răng sứ bị viêm lợi, cần thăm khám để xác định nguyên nhân. Viêm nhẹ do mảng bám: cạo vôi răng và hướng dẫn vệ sinh đúng. Viêm do kỹ thuật sai: bắt buộc tháo cầu cũ, điều trị nha chu, làm lại cầu mới đúng chuẩn với vật liệu tốt hơn.
Chi Phí và Thời Gian Điều Trị Viêm Lợi

Thời gian điều trị viêm lợi tùy vào tình trạng
Chi phí và thời gian điều trị phụ thuộc vào mức độ viêm nhiễm và phương pháp xử lý:
Chi Phí Điều Trị Ước Tính
Viêm lợi giai đoạn đầu – chỉ cần cạo vôi:
- Cạo vôi răng toàn hàm: 500.000 – 1.500.000 VNĐ
- Thuốc súc miệng, kháng sinh (nếu cần): 200.000 – 500.000 VNĐ
- Tổng: 700.000 – 2.000.000 VNĐ
Viêm lợi trung bình – cần cạo nạo nha chu sâu:
- Cạo nạo nha chu từng vùng: 1.000.000 – 3.000.000 VNĐ/vùng
- Kháng sinh, thuốc kháng viêm: 300.000 – 700.000 VNĐ
- Tổng: 2.000.000 – 5.000.000 VNĐ
Viêm lợi nặng – cần tháo cầu và làm lại:
- Tháo cầu răng cũ: 500.000 – 1.000.000 VNĐ
- Điều trị viêm nha chu, phẫu thuật nha chu (nếu cần): 2.000.000 – 5.000.000 VNĐ
- Làm cầu răng sứ mới (sứ toàn sứ Zirconia): 6.000.000 – 15.000.000 VNĐ cho cầu 3 đơn vị
- Tổng: 8.000.000 – 20.000.000 VNĐ
Trường hợp phải nhổ răng trụ và cấy implant:
- Nhổ răng: 300.000 – 1.000.000 VNĐ/răng
- Cấy implant: 15.000.000 – 35.000.000 VNĐ/implant (tùy hãng)
- Mão sứ Zirconia trên implant: 8.000.000 – 15.000.000 VNĐ/răng
- Tổng: 25.000.000 – 50.000.000 VNĐ/răng
Thời Gian Điều Trị
- Viêm lợi nhẹ: 1-2 tuần là có thể thấy cải thiện rõ rệt. Hoàn toàn ổn định sau 4-6 tuần với vệ sinh đúng cách.
- Viêm lợi trung bình: 3-4 tuần sau cạo nạo nha chu, cần tái khám để đánh giá. Thời gian điều trị hoàn chỉnh khoảng 2-3 tháng.
- Cần làm lại cầu răng: Tháo cầu và điều trị viêm nha chu mất 2-4 tuần. Chờ nướu ổn định 2-4 tuần nữa. Làm cầu mới mất 1-2 tuần (từ lấy dấu đến gắn cầu). Tổng cộng 6-10 tuần.
- Cần cấy implant: Sau nhổ răng, phải chờ 3-4 tháng để xương ổ lành. Cấy implant và chờ osseointegration (gắn kết xương) mất 3-6 tháng. Làm mão sứ mất 2-3 tuần. Tổng cộng 7-12 tháng.
Lưu ý: Đây là chi phí tham khảo tại các nha khoa uy tín ở TP.HCM năm 2025. Chi phí có thể thay đổi tùy theo từng địa phương, cơ sở nha khoa và chất lượng vật liệu sử dụng.
>>>Các vấn đề khi làm cầu răng sứ:
- Cầu răng sứ bị mẻ: Nguyên nhân và cách xử lý an toàn
- Cầu răng sứ bị hở: Nguyên nhân, hậu quả và cách khắc phục
Câu Hỏi Thường Gặp

Răng sau khi gắn cầu răng sứ
Cầu răng sứ viêm lợi nhẹ có tự hết không?
Viêm lợi nhẹ do mảng bám có thể GIẢM nếu bạn cải thiện vệ sinh răng miệng ngay lập tức – đánh răng đúng cách 2 lần/ngày, dùng chỉ nha khoa và súc miệng nước muối ấm. Tuy nhiên, nếu nguyên nhân là do kỹ thuật phục hình sai (mão sứ không khít, vi phạm khoảng sinh học, xi măng thừa), viêm lợi sẽ không tự khỏi mà còn tiến triển nặng hơn theo thời gian. Do đó, tốt nhất là nên đi khám để bác sĩ xác định chính xác nguyên nhân và xử lý kịp thời.
Nên Chọn Loại cầu răng Sứ Nào Để Hạn Chế Viêm Lợi?
- Sứ toàn sứ Zirconia là lựa chọn tốt nhất hiện nay. Zirconia là vật liệu sinh học tương thích cao nhất, không gây dị ứng, không kích ứng nướu. Bề mặt sứ Zirconia mịn màng, ít bám mảng bám hơn sứ kim loại. Độ bền cực cao, phù hợp cả răng trước và răng hàm. Chi phí cao hơn nhưng đáng đầu tư cho sức khỏe lâu dài.
- Sứ Emax (Lithium Disilicate) cũng là lựa chọn tốt cho răng trước, có độ trong mờ tự nhiên, tương thích sinh học tốt. Tuy nhiên, độ bền kém hơn Zirconia nên không khuyến khích cho răng hàm chịu lực nhai lớn.
- Tránh sứ kim loại thường (base metal) chứa Niken, Crom vì tỷ lệ gây dị ứng và viêm lợi cao.
>>>Khám phá ngay: Các loại cầu răng sứ phổ biến nhất hiện nay mới nhất 2026
Có Cần Tháo Cầu răng sứ Khi Bị Viêm Lợi?
Không phải lúc nào cũng cần tháo cầu. Nếu viêm lợi ở giai đoạn đầu, nguyên nhân chỉ do vệ sinh kém hoặc mảng bám tích tụ, bác sĩ có thể xử lý bằng cách cạo vôi răng, làm sạch chuyên sâu mà không cần tháo cầu. Tuy nhiên, nếu nguyên nhân là do mão sứ không khít, vi phạm khoảng sinh học, xi măng dư thừa sâu dưới nướu, hoặc dị ứng với vật liệu, việc tháo cầu là bắt buộc để điều trị triệt để. Bác sĩ sẽ chụp phim X-quang và thăm khám kỹ để quyết định có cần tháo cầu hay không.
Sau Khi Làm Lại Cầu răng sứ Có Bị Tái Phát Không?
Nếu cầu răng mới được làm đúng kỹ thuật – mão sứ khít sát, tôn trọng khoảng sinh học, sử dụng vật liệu tương thích sinh học tốt, và bạn duy trì vệ sinh răng miệng đúng cách, khả năng tái phát viêm lợi rất thấp. Tuy nhiên, nếu bạn vệ sinh kém, không tái khám định kỳ, hoặc có bệnh lý toàn thân (tiểu đường, suy giảm miễn dịch), nguy cơ tái phát vẫn có thể xảy ra. Chìa khóa thành công nằm ở sự kết hợp giữa kỹ thuật phục hình chất lượng cao và trách nhiệm chăm sóc của bệnh nhân.
Nên Chọn Cầu Sứ Hay Implant Để Hạn Chế Viêm Lợi?
| Tiêu Chí | Cầu Sứ | Implant |
| Nguy cơ viêm lợi | Cao (nếu không khít) | Thấp hơn |
| Tiêu xương | Không ngăn | Ngăn hoàn toàn |
| Tuổi thọ | 10-15 năm | 20-30 năm |
| Chi phí | Rẻ hơn | Đắt hơn |
| Thời gian | Nhanh | Lâu (4-6 tháng) |
| Vệ sinh | Khó hơn | Dễ hơn |
Implant có ưu thế vượt trội về mặt vệ sinh răng miệng và phòng ngừa viêm lợi:
- Mỗi răng implant độc lập, không có nhịp cầu khó vệ sinh
- Không cần mài răng thật bên cạnh
- Vệ sinh như răng thật, dùng chỉ nha khoa bình thường
- Tuổi thọ lâu dài (20-30 năm hoặc cả đời nếu chăm sóc tốt)
- Kích thích xương hàm, ngăn tiêu xương
Cầu răng sứ phù hợp khi:
- Chi phí hạn chế (cầu sứ rẻ hơn nhiều so với implant)
- Không đủ xương để cấy implant và không muốn ghép xương
- Hai răng bên cạnh cũng cần phục hình (làm cầu một công đôi việc)
- Có bệnh lý toàn thân chống chỉ định cấy implant
Theo khuyến cáo của Hiệp hội Implant Quốc tế (International Team for Implantology – ITI), nếu điều kiện cho phép, implant là lựa chọn ưu tiên hơn về mặt sinh học và lâu dài. Tuy nhiên, quyết định cuối cùng phụ thuộc vào tình trạng răng miệng, tình trạng xương, tài chính và mong muốn của bệnh nhân.
Phòng tránh Viêm Lợi Sau Làm Cầu Răng Sứ
Phòng bệnh hơn chữa bệnh – đây là nguyên tắc vàng trong nha khoa:
- Chọn nha khoa uy tín, bác sĩ có tay nghề cao: Đây là yếu tố quan trọng nhất. Bác sĩ giỏi sẽ làm mão sứ khít sát, tôn trọng khoảng sinh học, loại bỏ hết xi măng thừa, lựa chọn vật liệu phù hợp. Đừng tiếc thời gian tìm hiểu, đọc review và tham khảo nhiều nơi trước khi quyết định.
- Chọn vật liệu sứ chất lượng cao: Đầu tư cho vật liệu tốt là đầu tư cho sức khỏe lâu dài. Sứ toàn sứ Zirconia hoặc Emax tuy đắt hơn nhưng an toàn và bền vững hơn nhiều so với sứ kim loại thường.
- Điều trị dứt điểm các bệnh lý răng miệng trước khi phục hình: Nếu bạn có viêm nướu, viêm nha chu, sâu răng, phải điều trị hết trước khi làm cầu. Không nên làm phục hình trên nền móng bệnh lý.
Vệ sinh răng miệng đúng cách sau khi làm cầu:
- Đánh răng 2 lần/ngày với bàn chải lông mềm, kỹ thuật Bass
- Dùng chỉ nha khoa hoặc máy tăm nước để làm sạch dưới nhịp cầu hàng ngày
- Súc miệng bằng nước muối sinh lý hoặc nước súc miệng không cồn
- Tránh ăn thức ăn quá cứng, dai, dính
Tái khám định kỳ 6 tháng/lần: Cạo vôi răng định kỳ và để bác sĩ kiểm tra tình trạng cầu răng và nướu, phát hiện sớm các vấn đề.
Không hút thuốc: Hút thuốc lá làm giảm tuần hoàn máu ở nướu, tăng nguy cơ viêm lợi và viêm nha chu gấp 2-7 lần. Nếu bạn hút thuốc, hãy cân nhắc bỏ để bảo vệ răng miệng và sức khỏe toàn thân.
Kiểm soát đường huyết (với người tiểu đường): Đường huyết cao làm tăng nguy cơ nhiễm trùng và viêm nướu. Người tiểu đường cần kiểm soát đường huyết tốt và đi nha sĩ thường xuyên hơn.
Tài Liệu Tham Khảo và Nguồn Thông Tin
Bài viết này được biên soạn dựa trên các nguồn y khoa uy tín sau:
- American Academy of Periodontology (AAP) – Hiệp hội Nha chu Hoa Kỳ: Thông tin về viêm lợi, viêm nha chu và điều trị. https://www.perio.org/
American Dental Association (ADA) – Hiệp hội Nha khoa Hoa Kỳ: Hướng dẫn chăm sóc răng miệng và phục hình. https://www.mouthhealthy.org/ - ITI (International Team for Implantology) – https://www.iti.org/ – Tiêu chuẩn Implant quốc tế
- Dental Xp – Hướng dẫn kiểm soát viêm nha chu – https://www.dentalxp.com/
Thông tin liên hệ
Nha Khoa Quốc Tế SG – Địa điểm Nha Khoa Uy Tín Quận 10, HCM
- Địa chỉ: 132 Đường 3/2, Phường 12, Quận 10, TP.HCM
- Hotline: 0902.759.406 – 0396.877.518
- Email: sgnhakhoaquocte@gmail.com
- Website: nhakhoaquoctesg.vn
- Youtube: youtube.com/@sgdental.official
- Instagram: instagram.com/sgdental.official/
- Liên hệ ngay Nha Khoa Quốc Tế SG
>>>Khám phá ngay các bài viết liên quan:
- Bắc cầu răng sứ có bền không? So sánh các phương pháp khác
- Làm cầu răng sứ mất bao lâu? Giải đáp thời gian thực tế
- [BS giải đáp] Làm cầu răng sứ có đau không? Thông tin cần nắm
- Cầu Răng Sứ Nhảy Là Gì? Chi Phí Bao Nhiêu, Có Bền Không?
