Cầu răng sứ bị hở là tình trạng mão sứ tách khỏi chân răng trụ, để lại khoảng trống nguy hiểm. Dấu hiệu phổ biến bao gồm khe hở rõ ràng, vệt đen ở viền nướu, cảm giác ê buốt khi ăn nóng lạnh, thức ăn dễ kẹt và hôi miệng. Nếu không khắc phục, bạn có nguy cơ mất răng vĩnh viễn. Bài viết sau Nha Khoa Quốc Tế SG sẽ hướng dẫn dấu hiệu, nguyên nhân, giá khắc phục chi tiết.
Thông tin nhanh về cầu răng sứ bị hở
| Tiêu chí | Thông tin |
| Định nghĩa | Khe hở xuất hiện giữa cầu răng sứ và nướu/răng trụ |
| Dấu hiệu chính | Khe hở nhìn thấy, tụt nướu, ê buốt, thức ăn kẹt |
| Nguyên nhân phổ biến | Sai kỹ thuật (40%), chất liệu kém (30%), vệ sinh sai cách (20%), nguyên nhân khác (10%) |
| Biến chứng | Viêm nha chu, sâu răng, mất răng thật, ảnh hưởng tiêu hóa |
| Thời gian phát hiện | Thường 3-12 tháng sau làm răng sứ |
| Tỷ lệ xảy ra | 15-25% trường hợp bọc răng sứ không đúng kỹ thuật |
| Chi phí khắc phục | 3.000.000 – 40.000.000đ tùy mức độ |
Cầu răng sứ bị hở là gì?

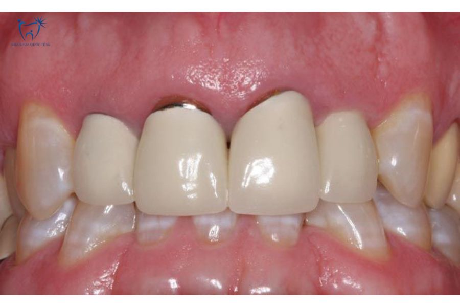
Hình ảnh thực tế cầu răng sứ bị hở
Cầu răng sứ bị hở là tình trạng xuất hiện khe hở giữa mão sứ và nướu hoặc răng trụ, gây đau nhức, ảnh hưởng thẩm mỹ và tăng nguy cơ nhiễm trùng.
Theo nghiên cứu của Hiệp hội Nha chu Hoa Kỳ (American Academy of Periodontology), khoảng 15 phần trăm đến 25 phần trăm trường hợp bọc răng sứ không đúng kỹ thuật dẫn đến các vấn đề về sự khớp nối giữa cầu răng và nướu.
Dấu hiệu nhận biết cầu răng sứ bị hở
Cầu răng sứ bị hở thể hiện qua khe hở nhìn thấy giữa răng sứ và nướu, nướu tụt lộ chân răng, xuất hiện vệt đen quanh viền nướu, ê buốt khi ăn nóng lạnh, thức ăn thường xuyên kẹt vào khe răng gây hôi miệng và cảm giác cộm khi nhai.
Xuất hiện khe hở giữa cầu răng sứ và nướu
Dấu hiệu điển hình và dễ nhận biết nhất của cầu răng sứ bị hở là sự xuất hiện khe hở tại vùng tiếp giáp giữa chân cầu răng sứ với nướu.
Bạn có thể quan sát thấy khe hở này bằng mắt thường khi nhìn vào gương hoặc cảm nhận bằng lưỡi. Theo nghiên cứu được công bố trên Journal of Prosthetic Dentistry, khe hở từ 0,5mm trở lên có thể tạo điều kiện cho vi khuẩn xâm nhập.
Khe hở này không chỉ là vấn đề thẩm mỹ mà còn tạo môi trường thuận lợi cho mảng bám, vi khuẩn tích tụ. Vi khuẩn từ khe hở có thể gây đau nhức, viêm nhiễm và làm tổn hại cùi răng thật bên trong. Điều này khiến răng trụ mất chức năng nâng đỡ cầu sứ, dẫn đến nguy cơ gãy hoặc rụng răng cao hơn.
Nướu tụt làm lộ phần chân răng bên trong
Khi cầu răng sứ được làm không đúng kỹ thuật, khe hở hình thành sẽ tạo điều kiện cho vi khuẩn xâm nhập, gây viêm nướu và dẫn đến tình trạng tụt nướu.
Khi nướu bị tụt, phần cùi răng hoặc chân cầu răng sứ bên trong sẽ bị lộ ra ngoài, ảnh hưởng đến thẩm mỹ và độ nhạy cảm của răng. Dấu hiệu này thường rõ ràng nhất ở những vị trí dễ quan sát như răng cửa hoặc răng nanh.
Theo số liệu từ nghiên cứu lâm sàng, khoảng 30 phần trăm trường hợp cầu răng sứ bị hở dẫn đến tụt nướu trong vòng 12 tháng nếu không được điều trị.
Xuất hiện vệt đen mờ quanh chân răng sứ

Cầu răng sứ bị đen viền nướu
Dấu hiệu này đặc biệt phổ biến ở những người sử dụng cầu răng sứ kim loại. Khi cầu răng sứ kim loại không ôm khít với viền nướu, phần kim loại bên trong sẽ bị oxy hóa do tiếp xúc với môi trường ẩm ướt trong miệng, gây xỉn màu tại viền nướu.
Theo tài liệu của International Team for Implantology (ITI), quá trình oxy hóa kim loại trong miệng có thể bắt đầu sau 6 tháng đến 1 năm sử dụng. Bạn có thể dễ dàng nhận biết bằng cách quan sát kỹ vùng chân răng sứ để thấy những vệt đen hoặc sẫm màu xuất hiện.
Cảm giác ê buốt, đau nhức và cộm khi ăn nhai
Khi cầu răng sứ bị hở, phần cùi răng trụ yếu bên trong sẽ dễ bị kích thích bởi thức ăn nóng, lạnh hoặc cứng, gây ra cảm giác ê buốt và đau nhức kéo dài.
Ngoài ra, nếu cầu răng sứ được lắp không chính xác về tỷ lệ hoặc độ cao khớp cắn, sẽ gây ra hiện tượng cộm, khó chịu khi nhai. Đây là dấu hiệu bạn có thể cảm nhận ngay mà không cần nhìn bằng mắt. Nhiều bệnh nhân mô tả cảm giác như “có thứ gì đó không đúng vị trí” hoặc “răng không khớp với nhau như trước”.
Thức ăn dễ giắt vào khe hở gây hôi miệng

Thức ăn kẹt trong miệng dẫn đến hôi miệng
Cầu răng sứ lắp sai tỉ lệ khiến khoảng cách giữa các kẽ răng bị thay đổi, trở nên quá hở hoặc quá khít. Điều này khiến vụn thức ăn như thớ thịt, rau, bã đồ ăn dễ dàng kẹt lại trong khe răng. Nếu không vệ sinh kỹ, khu vực này sẽ trở thành môi trường lý tưởng cho vi khuẩn phát triển.
Nguyên nhân dẫn đến cầu răng sứ bị hở
Cầu răng sứ bị hở do bác sĩ mài răng sai kỹ thuật, lấy dấu hàm không chính xác, sử dụng chất liệu răng sứ kém chất lượng, keo dán kém hiệu quả, hoặc vệ sinh răng miệng sai cách sau khi làm.
Kỹ thuật mài răng và làm cầu sứ không chuẩn xác
Quá trình mài răng trụ là bước quan trọng nhất trong việc làm cầu răng sứ. Nếu bác sĩ mài quá nhiều hoặc quá ít, không đúng tỷ lệ, sẽ ảnh hưởng trực tiếp đến độ khớp giữa cầu răng sứ và răng trụ. Theo nghiên cứu trên Journal of Prosthetic Dentistry, sai số trong quá trình mài răng từ 0,3mm trở lên có thể dẫn đến các vấn đề về độ khớp.
Bác sĩ không có kinh nghiệm làm cầu răng sứ hoặc tay nghề yếu dễ phán đoán sai tỷ lệ mài răng, khiến cấu trúc răng bị xâm lấn quá nhiều, làm tổn thương chân răng và dẫn tới tình trạng tụt nướu. Điều này tạo ra khe hở giữa cầu răng sứ và nướu.
Nha Khoa Quốc Tế SG sử dụng công nghệ CAD/CAM và máy quét 3D hiện đại để đảm bảo độ chính xác tuyệt đối trong quá trình mài răng và thiết kế cầu sứ, giảm thiểu tối đa rủi ro hở cầu răng.
Lấy dấu hàm không chính xác dẫn đến sai kích thước

Bác sĩ lấy dấu hàm để làm cầu răng sứ
Quá trình lấy dấu hàm đóng vai trò quyết định trong việc chế tác cầu răng sứ có kích thước và hình dáng phù hợp. Nếu bác sĩ thực hiện kỹ thuật lấy dấu hàm không chính xác hoặc sử dụng dụng cụ, vật liệu lấy dấu kém chất lượng, kết quả là mẫu hàm sẽ không phản ánh đúng vị trí và hình dạng của răng thật.
Chất lượng răng sứ và vật liệu kém
Chất liệu cầu răng sứ không đạt chuẩn hoặc kỹ thuật chế tác không đảm bảo có thể gây kích ứng và sưng tấy cho nướu, đồng thời tăng nguy cơ viêm nhiễm cùi răng. Theo tài liệu của Academy of Osseointegration, răng sứ kém chất lượng có thể chứa kim loại độc hại hoặc vật liệu không tương thích sinh học, gây phản ứng viêm.
Răng sứ kim loại đặc biệt dễ bị oxy hóa sau một thời gian sử dụng, khiến cầu răng sứ bị mài mòn và tuột khỏi răng trụ. Ngoài ra, răng sứ kém chất lượng có thể làm tăng nguy cơ thất bại cấu trúc và tổn thương răng thật, dẫn đến phải tháo bỏ và làm lại.
Các loại răng sứ chất lượng cao như sứ Zirconia, sứ Emax thường có độ tương thích sinh học tốt hơn và ít gây kích ứng nướu hơn so với sứ kim loại.
Keo dán sứ không đảm bảo chất lượng

Keo dán răng sứ RelyX
Keo dán sứ đóng vai trò quan trọng trong việc liên kết chắc chắn giữa cầu răng sứ và răng trụ. Khi không sử dụng keo dán chất lượng hoặc sử dụng không đúng liều lượng, có thể xảy ra nhiều vấn đề nghiêm trọng. Theo nghiên cứu trên, keo dán răng sứ cần đạt độ bám dính tối thiểu 20 MPa để đảm bảo độ ổn định lâu dài.
Keo dán kém chất lượng hoặc không đủ lượng sẽ dẫn đến tình trạng hở chân cầu răng sứ, làm tăng nguy cơ xuất hiện mảng bám và vi khuẩn. Ngoài ra, keo dán không tốt còn tăng nguy cơ nứt vỡ cầu răng sứ, đặc biệt khi cầu răng phải chịu áp lực ăn nhai hàng ngày. Trong trường hợp nghiêm trọng, keo dán kém có thể dẫn đến cầu răng sứ bị rơi ra khỏi vị trí.
Nha Khoa Quốc Tế SG chỉ sử dụng các loại keo dán răng sứ cao cấp được FDA và CE chứng nhận, đảm bảo độ bám dính tối ưu và an toàn cho sức khỏe.
Vệ sinh răng miệng không đúng cách

Vệ sinh răng không đúng cách dẫn đến cầu răng sứ bị hở
Những sai lầm trong việc chăm sóc răng miệng sau khi làm cầu răng sứ có thể khiến răng sứ bị hở chân. Chải răng quá mạnh với bàn chải cứng có thể làm mài mòn cầu răng sứ và răng thật, dẫn đến tình trạng hở chân răng và giảm độ bám chắc.
Theo hướng dẫn của American Dental Association, nên sử dụng bàn chải lông mềm và chải răng theo chuyển động tròn nhẹ nhàng. Chải răng không đúng kỹ thuật, không chú ý đến các khu vực quanh cầu răng sứ, có thể tạo điều kiện cho mảng bám và vi khuẩn phát triển, làm tăng nguy cơ hở chân răng.
Không sử dụng chỉ nha khoa cũng là một nguyên nhân quan trọng. Chỉ nha khoa giúp làm sạch những khu vực mà bàn chải khó tiếp cận, đặc biệt là kẽ giữa cầu răng sứ và răng tự nhiên bên cạnh. Nghiên cứu cho thấy việc sử dụng chỉ nha khoa đúng cách có thể giảm 40 phần trăm nguy cơ viêm nướu và hở cầu răng.
>>> Xem thêm: Hướng dẫn cách vệ sinh cầu răng sứ chuẩn y khoa
Hậu quả của cầu răng sứ bị hở

Mô hình cầu răng sứ trên Implant
Cầu răng sứ bị hở gây mất thẩm mỹ nụ cười, tăng nguy cơ sâu răng và viêm nha chu, đau nhức kéo dài, hôi miệng, nguy cơ mất răng trụ, và ảnh hưởng tiêu cực đến hệ tiêu hóa do khó nhai.
Ảnh hưởng nghiêm trọng đến thẩm mỹ
Cầu răng sứ bị hở làm lộ phần cùi răng bên trong, xuất hiện viền đen ở chân răng, khiến nụ cười trở nên kém tự nhiên và mất thẩm mỹ. Điều này ảnh hưởng lớn đến tâm lý và sự tự tin trong giao tiếp hàng ngày.
Đặc biệt với các vị trí răng trước như răng cửa và răng nanh, tình trạng hở cầu răng sứ càng rõ ràng và dễ bị người khác chú ý. Nhiều bệnh nhân chia sẻ họ cảm thấy ngại cười và hạn chế giao tiếp do vấn đề này.
Nguy cơ mắc bệnh lý răng miệng nghiêm trọng
Khe hở giữa cầu răng sứ và răng trụ tạo môi trường thuận lợi cho vi khuẩn và mảng bám tích tụ. Theo nghiên cứu của Academy of General Dentistry, khe hở từ 0,5mm có thể chứa hàng triệu vi khuẩn gây bệnh. Điều này làm tăng đáng kể nguy cơ mắc các bệnh lý như sâu răng, viêm tủy, viêm nướu, viêm nha chu và cao răng.
Viêm nha chu đặc biệt nguy hiểm vì có thể phá hủy xương hàm và mô liên kết, dẫn đến lung lay và mất răng. American Academy of Periodontology ước tính khoảng 47 phần trăm người trưởng thành trên 30 tuổi mắc viêm nha chu ở các mức độ khác nhau, và tỷ lệ này tăng cao hơn ở những người có cầu răng sứ bị hở.
Đau nhức dai dẳng và hôi miệng khó chịu

Dấu hiệu bệnh nhân bị vấn đề về cầu răng sứ
Cầu răng sứ bị hở tạo điều kiện cho thức ăn mắc vào kẽ, gây mùi hôi khó chịu và dai dẳng. Lượng lớn thức ăn và vi khuẩn bám vào và lắp đầy khe hở, từ đó khiến răng trụ bị đau nhức kéo dài, đặc biệt khi ăn nhai. Theo Cleveland Clinic, đau răng do nhiễm trùng từ khe hở có thể lan rộng sang các răng lân cận và xương hàm.
Mùi hôi miệng từ vi khuẩn phân hủy thức ăn trong khe hở không chỉ gây khó chịu cho bản thân mà còn ảnh hưởng đến người xung quanh. Nhiều bệnh nhân cho biết họ phải sử dụng kẹo cao su hoặc nước súc miệng liên tục nhưng vẫn không khắc phục được tình trạng này.
Nguy cơ mất răng trụ và xương hàm
Kỹ thuật làm cầu răng sứ yêu cầu mài cùi răng thật để làm trụ, do đó răng trụ sau khi mài sẽ yếu hơn và dễ chịu các tác động tiêu cực. Việc lắp cầu sứ không khớp khít sẽ tạo điều kiện cho vi khuẩn xâm nhập và gây nhiều bệnh lý răng miệng nghiêm trọng.
Nếu không điều trị kịp thời, cùi răng trụ bên trong sẽ dần bị hư tổn, suy yếu và làm tăng nguy cơ mất răng. Theo International Team for Implantology, mất răng trụ xảy ra ở khoảng 8 đến 12 phần trăm trường hợp cầu răng sứ bị hở không được xử lý sau 5 năm. Khi mất răng trụ, xương hàm cũng dần bị tiêu xương, gây khó khăn cho các phương án phục hình sau này.
Ảnh hưởng tiêu cực đến hệ tiêu hóa
Cầu răng sứ bị hở làm suy giảm chức năng ăn nhai do khách hàng thường xuyên cảm thấy ê buốt, đau nhức, đặc biệt khi ăn đồ nóng, lạnh hoặc cứng. Điều này dẫn đến cảm giác chán ăn, lười nhai và chỉ cố nuốt thức ăn mà không nghiền kỹ.
Khi thức ăn không được nghiền nhỏ đầy đủ, dạ dày phải hoạt động nhiều hơn để tiêu hóa. Theo American Gastroenterological Association, tình trạng này lâu ngày có thể dẫn đến các bệnh về đường tiêu hóa như trào ngược dạ dày – thực quản, táo bón, đau dạ dày, viêm loét đại tràng và hội chứng ruột kích thích.
Cách khắc phục và xử lý cầu răng sứ bị hở

Ảnh chụp CT cầu răng sứ bị hở cần điều trị
Khắc phục cầu răng sứ bị hở bằng cách trám composite tạm thời cho trường hợp nhẹ, tháo và làm lại cầu sứ mới cho trường hợp nặng, hoặc cấy ghép Implant nếu răng trụ đã hỏng.
Khi phát hiện dấu hiệu cầu răng sứ bị hở, bạn cần đến nha khoa uy tín càng sớm càng tốt để được kiểm tra và xử lý kịp thời. Tại Nha Khoa Quốc Tế SG, bác sĩ sẽ thăm khám toàn diện, chụp X-quang kỹ thuật số để đánh giá chính xác tình trạng răng trụ và mức độ hở của cầu răng, từ đó đưa ra phương án điều trị phù hợp nhất.
Trường hợp hở nhẹ: Trám composite tạm thời
Phù hợp cho: Khe hở dưới 1mm, răng trụ còn khỏe mạnh, chưa có dấu hiệu viêm nhiễm nghiêm trọng.
Đối với trường hợp cầu răng sứ bị hở nhẹ, khe hở nhỏ và răng trụ vẫn còn ổn định, bác sĩ có thể sử dụng vật liệu composite chuyên dụng để trám bít khe hở tạm thời. Đây là giải pháp nhanh chóng giúp ngăn chặn thức ăn và vi khuẩn xâm nhập vào khe hở, giảm thiểu nguy cơ nhiễm trùng trong thời gian ngắn.
Quy trình thực hiện:
- Làm sạch kỹ khe hở và vùng xung quanh
- Sử dụng vật liệu composite y khoa để lấp đầy khe hở
- Tạo hình và đánh bóng để đảm bảo tính thẩm mỹ
- Thời gian thực hiện: 30-45 phút
Lưu ý quan trọng: Theo hướng dẫn của American Dental Association, trám composite chỉ là giải pháp tạm thời và có thể duy trì từ 6 đến 12 tháng. Phương pháp này không khắc phục được nguyên nhân gốc rễ của vấn đề. Sau một thời gian, vật liệu composite có thể bị mài mòn hoặc bong tróc, cần phải tháo bỏ cầu răng sứ cũ và làm lại cầu mới để xử lý triệt để.
Chi phí: 500.000 – 1.500.000đ/răng (tùy mức độ và vật liệu sử dụng)
Thời gian duy trì: 6-12 tháng
Tại Nha Khoa Quốc Tế SG, chúng tôi luôn tư vấn thẳng thắn cho khách hàng về tính tạm thời của giải pháp này và khuyến nghị lên kế hoạch điều trị dài hạn để đảm bảo sức khỏe răng miệng tốt nhất.
Trường hợp hở nặng hoặc răng trụ bị tổn thương

Bác sĩ nha khoa uy tín TPHCM, tư vấn răng sứ an toàn
Phù hợp cho: Khe hở từ 1mm trở lên, cầu răng sứ bị lỏng lẻo, răng trụ có dấu hiệu sâu răng hoặc viêm nhiễm.
Đây là phương pháp điều trị triệt để và được khuyến nghị cho hầu hết các trường hợp cầu răng sứ bị hở. Theo Journal of Prosthetic Dentistry, tỷ lệ thành công của phương pháp làm lại cầu răng sứ đúng kỹ thuật lên tới 92-96% sau 5 năm.
Quy trình thực hiện chi tiết:
Bước 1: Tháo cầu răng sứ cũ
- Bác sĩ sử dụng dụng cụ chuyên dụng để tháo cầu răng sứ cẩn thận, tránh làm tổn thương răng trụ
- Thời gian: 15-30 phút
- Tại Nha Khoa Quốc Tế SG, quy trình tháo răng sứ được thực hiện rất nhẹ nhàng với công nghệ hiện đại, hầu như không gây đau
Bước 2: Kiểm tra và điều trị răng trụ (nếu cần)
- Làm sạch hoàn toàn mảng bám, vi khuẩn tích tụ
- Nếu phát hiện sâu răng: điều trị sâu và trám răng
- Nếu có viêm tủy: thực hiện điều trị tủy và đặt chốt răng để gia cố
- Nếu viêm nướu: điều trị nha chu, vệ sinh sâu
- Thời gian: 1-3 buổi tùy tình trạng răng trụ
Bước 3: Lấy dấu hàm chính xác
- Sử dụng công nghệ lấy dấu kỹ thuật số 3D hoặc vật liệu lấy dấu cao cấp
- Đảm bảo ghi nhận chính xác hình dạng, kích thước răng trụ và vị trí nướu
- Thời gian: 15-20 phút
Bước 4: Chế tác cầu răng sứ mới
- Gửi mẫu hàm đến phòng Lab uy tín có trang thiết bị hiện đại
- Chế tác cầu răng sứ với kích thước và hình dáng phù hợp hoàn toàn
- Kiểm tra chất lượng nghiêm ngặt trước khi gắn
- Thời gian: 5-7 ngày làm việc
Bước 5: Gắn cầu răng sứ mới
- Thử cầu răng sứ mới, kiểm tra độ khớp, màu sắc và khớp cắn
- Điều chỉnh nếu cần thiết để đảm bảo hoàn hảo
- Sử dụng keo dán răng sứ cao cấp để gắn cố định
- Kiểm tra lại lần cuối và hướng dẫn chăm sóc
- Thời gian: 30-60 phút
Lựa chọn loại răng sứ và chi phí:
Sứ kim loại thường:
- Chi phí: 1.500.000 – 2.500.000đ/răng
- Ưu điểm: Giá thành hợp lý, độ bền tốt
- Nhược điểm: Dễ bị oxy hóa, có thể gây viền đen nướu
- Thời gian bảo hành: 2-3 năm
Sứ toàn sứ Cercon/Lava:
- Chi phí: 4.000.000 – 6.000.000đ/răng
- Ưu điểm: Thẩm mỹ tốt, không oxy hóa, màu sắc tự nhiên
- Nhược điểm: Giá cao hơn sứ kim loại
- Thời gian bảo hành: 7-10 năm
Sứ Zirconia cao cấp:

Phôi răng sứ của hãng Dental Direkt DDBio – Zirconia

Phôi răng sứ Zirconia cao cấp nhập khẩu Đức
- Chi phí: 6.000.000 – 8.000.000đ/răng
- Ưu điểm: Độ bền cao nhất, thẩm mỹ xuất sắc, tương thích sinh học hoàn hảo, độ trong mờ giống răng thật
- Nhược điểm: Giá thành cao
- Thời gian bảo hành: 10-15 năm
Sứ Emax/Veneer:
- Chi phí: 7.000.000 – 10.000.000đ/răng
- Ưu điểm: Thẩm mỹ tuyệt đối, độ trong suốt cao nhất, màu sắc tự nhiên như răng thật
- Nhược điểm: Giá thành cao nhất
- Thời gian bảo hành: 15-20 năm
Tổng chi phí điều trị:
- Tháo cầu răng cũ: 300.000 – 500.000đ
- Điều trị răng trụ (nếu cần): 500.000 – 3.000.000đ/răng
- Làm cầu răng sứ mới: (giá trên x số răng trong cầu)
- Tổng cộng: 3.000.000 – 30.000.000đ tùy số răng và loại sứ lựa chọn
Xem thêm trải nghiệm khách hàng tại Nha Khoa Quốc Tế SG
Trường hợp răng trụ đã hỏng nặng không thể giữ lại
Phù hợp cho: Răng trụ bị viêm tủy nghiêm trọng không thể điều trị, răng trụ bị lung lay nặng, răng trụ bị gãy dưới nướu, xương hàm bị tiêu quá nhiều.
Khi răng trụ đã hư hỏng nghiêm trọng đến mức không thể bảo tồn, giải pháp tối ưu là nhổ bỏ răng trụ và tư vấn cấy ghép Implant để thay thế. Theo American Academy of Implant Dentistry, Implant có tỷ lệ thành công 95-98 phần trăm và có thể sử dụng suốt đời nếu được chăm sóc đúng cách.
Quy trình thực hiện:
Bước 1: Nhổ răng trụ hỏng
- Bác sĩ đánh giá tình trạng và lập kế hoạch nhổ răng
- Thực hiện nhổ răng nhẹ nhàng, bảo tồn xương hàm tối đa
- Nếu cần, đặt xương nhân tạo để duy trì khối lượng xương
- Thời gian: 30-60 phút/răng
Bước 2: Chờ lành thương
- Thời gian chờ: 2-4 tháng để xương và nướu lành hoàn toàn
- Trong thời gian này, bác sĩ có thể làm răng tạm để đảm bảo thẩm mỹ
- Theo dõi định kỳ để đảm bảo quá trình lành thương tốt
Bước 3: Cấy ghép Implant
- Chụp CT Cone Beam 3D để lập kế hoạch cấy ghép chính xác
- Phẫu thuật cấy trụ Implant vào xương hàm
- Thời gian: 30-90 phút/trụ Implant
- Chờ 3-6 tháng để Implant tích hợp với xương (osseointegration)
Bước 4: Lắp răng sứ trên Implant
- Lắp khớp nối (abutment) lên trụ Implant
- Lấy dấu và chế tác răng sứ trên Implant hoặc cầu răng sứ trên Implant
- Gắn răng sứ lên khớp nối
- Kiểm tra khớp cắn và thẩm mỹ
Ưu điểm vượt trội của Implant:
- Không cần mài răng thật bên cạnh
- Độ bền cao, có thể sử dụng suốt đời
- Ngăn chặn tiêu xương hàm
- Thẩm mỹ và chức năng giống răng thật 95-98 phần trăm
- Dễ dàng vệ sinh, chăm sóc
Chi phí cấy ghép Implant:
Implant hãng Hàn Quốc (Osstem, Dentium):

Trụ Osstem titanium Hàn Quốc bề mặt SA rãnh sâu tăng tích hợp xương 3–6 tháng
- Chi phí: 15.000.000 – 20.000.000đ/trụ (bao gồm trụ Implant, phẫu thuật, abutment và răng sứ)
- Ưu điểm: Giá cả hợp lý, chất lượng ổn định
- Bảo hành: 10 năm
Implant hãng Châu Âu (Straumann, Nobel Biocare):
- Chi phí: 25.000.000 – 35.000.000đ/trụ (bao gồm đầy đủ)
- Ưu điểm: Chất lượng cao cấp nhất, tỷ lệ thành công cao nhất, bề dày nghiên cứu khoa học lâu nhất
- Bảo hành: Trọn đời
Implant hãng Mỹ (3i, Hiossen):

Trụ Implant Hiossen là sản phẩm cao cấp đến từ Mỹ đạt tiêu chuẩn FDA và CE
- Chi phí: 20.000.000 – 30.000.000đ/trụ (bao gồm đầy đủ)
- Ưu điểm: Công nghệ tiên tiến, tích hợp xương nhanh
- Bảo hành: 15-20 năm
Các chi phí bổ sung (nếu cần):
- Ghép xương: 5.000.000 – 15.000.000đ
- Nâng xoang: 10.000.000 – 20.000.000đ
- Răng tạm thời: 1.000.000 – 3.000.000đ/răng
Tổng chi phí điều trị: 20.000.000 – 70.000.000đ tùy số lượng Implant, hệ thống và các can thiệp bổ sung
>>>Khám phá thêm:
Câu hỏi thường gặp

Nụ cười đẹp sau khi làm cầu răng sứ
Cầu răng sứ bị hở có tự đóng lại được không?
Không, cầu răng sứ bị hở không thể tự đóng lại mà cần can thiệp nha khoa. Khe hở sẽ ngày càng trở nên nghiêm trọng hơn theo thời gian nếu không được xử lý kịp thời. Theo American Dental Association, khe hở có xu hướng tăng kích thước từ 10 đến 20 phần trăm mỗi năm do tác động của lực nhai, vi khuẩn và viêm nướu.
Làm cầu sứ mới sau khi tháo có đau không?
Quy trình tháo cầu răng sứ cũ và quy trình làm cầu sứ mới được thực hiện dưới gây tê cục bộ nên bạn sẽ không cảm thấy đau trong quá trình điều trị. Theo Journal of Endodontics, các kỹ thuật gây tê hiện đại có hiệu quả ngay lập tức và duy trì trong 2-4 giờ.
>>>Khám phá: [BS giải đáp] Làm cầu răng sứ có đau không? Thông tin cần nắm
Sửa Hở Cầu Răng Có Ảnh Hưởng Đến Cùi Răng Không?
Có thể có ảnh hưởng nhẹ, nhưng nếu bác sĩ thực hiện chuẩn xác thì rủi ro tối thiểu.
Rủi ro và cách ngăn chặn:
| Rủi Ro | Nguyên Nhân | Cách Phòng Ngừa |
| Cùi bị mài xâm lấn | Bác sĩ mài quá sâu | Lựa chọn bác sĩ kinh nghiệm, chụp CT để đo |
| Cùi bị yếu, mục | Vi khuẩn xâm nhập | Rửa sạch, khử khuẩn, không để hở lâu |
| Cùi bị ê buốt | Kích thích thần kinh | Dùng kem chống ê buốt, tránh nóng/lạnh |
| Tủy bị viêm | Chỉ trị mà không cắt tủy | Lấy tủy nếu viêm nặng |
Làm Sao Biết Hở Cầu Răng Sứ Mức Độ Nào Cần Làm Lại?
Trả lời: Bác sĩ sẽ chẩn đoán dựa trên:
| Mức Độ | Kích Thước | Dấu Hiệu | Phương Pháp Khắc Phục |
| Nhẹ | ≤ 1mm | Cảm giác nhẹ, không đau | Trám composite |
| Trung bình | 1-3mm | Ê buốt, vệt đen, thức ăn kẹt | Tháo gắn lại hoặc trám hỗn hợp |
| Nặng | > 3mm | Đau nhức, tụt nướu rõ, hôi nặng | Làm lại cầu sứ mới |
| Rất nặng | > 5mm + viêm nha chu | Cùi mục, xương tiêu | Nhổ và cấy Implant |
Cách tự kiểm tra:
- Dùng lưỡi chạm vào chân răng → cảm nhận khe hở
- Nhìn qua gương → so sánh với các răng khác
- Chụp X-quang hoặc CT → bác sĩ đo chính xác từng mm
Nên Chọn Loại Sứ / Vật Liệu Nào Để Hạn Chế Hở Cầu Răng Sứ?
Trả lời: Để hạn chế tối đa nguy cơ hở, nên chọn các vật liệu:
| Vật Liệu | Ưu Điểm | Nhược Điểm | Giá | Khuyến Cáo |
| Sứ Kim Loại | Rẻ, bền | Dễ oxy hóa → hở | 1.2-2M | Không khuyến cáo (dễ hở) |
| Zirconia | Chắc, không oxy hóa, bám keo tốt | Thẩm mỹ không cao như Emax | 3-4.5M | Tốt, bền |
| Emax/E-max | Thẩm mỹ tuyệt vời, bám keo cực tốt | Dễ vỡ nếu lực nhai mạnh | 4-5.5M | Tốt cho răng cửa |
| Cercon HT | Siêu chắc, bám keo tốt, thẩm mỹ cao | Chi phí cao | 6-7M | Tốt nhất |
| Lava Plus | Chất lượng quốc tế (Mỹ), độ bám keo tối ưu | Rất đắt | 8.5-14M | Khuyến cáo cao nhất |
Lý Do Chọn Zirconia, Cercon, Lava Plus:
- Tính chất vật lý: Không bị oxy hóa → không co ngót → không hở
- Bám keo: Bề mặt thô → keo dán bám rất chắc (không tuột)
- Tuổi thọ: 15-25 năm (không cần redo sớm)
- Hạn chế biến chứng: Ít gây kích ứng nướu → ít tụt nướu
Kết luận: Nếu có điều kiện kinh tế, chọn Lava Plus (Mỹ) hoặc Cercon HT (Đức) để hạn chế tối đa nguy cơ hở
Tài Liệu Tham Khảo / Nguồn Uy Tín
- American Academy of Periodontology (AAP)
- American Dental Association (ADA)
- ITI Academy (International Team for Implantology)
- Cleveland Clinic – Dental Veneers
Nha Khoa Quốc Tế SG – Địa điểm Nha Khoa Uy Tín Quận 10, HCM
- Địa chỉ: 132 Đường 3/2, Phường 12, Quận 10, TP.HCM
- Hotline: 0902.759.406 – 0396.877.518
- Email: sgnhakhoaquocte@gmail.com
- Website: nhakhoaquoctesg.vn
- Youtube: youtube.com/@sgdental.official
- Instagram: instagram.com/sgdental.official/
- Liên hệ ngay Nha Khoa Quốc Tế SG
>>>Khám phá ngay các bài viết liên quan:
- Cầu răng sứ bị viêm lợi: Nguyên nhân và cách khắc phục
- Cầu răng sứ bị mẻ: Nguyên nhân và cách xử lý an toàn
- Bắc cầu răng sứ có bền không? So sánh các phương pháp khác
- Làm cầu răng sứ mất bao lâu? Giải đáp thời gian thực tế
